来源: 东南大学附属中大医院放射科
病例
-
性别:女 年龄:84岁 -
主诉:因“全腹痛 2 天”入院 -
自诉腹痛难以忍受,伴腹胀、有压痛、反跳痛,伴恶心,休息未缓解。患者排气、排便减少
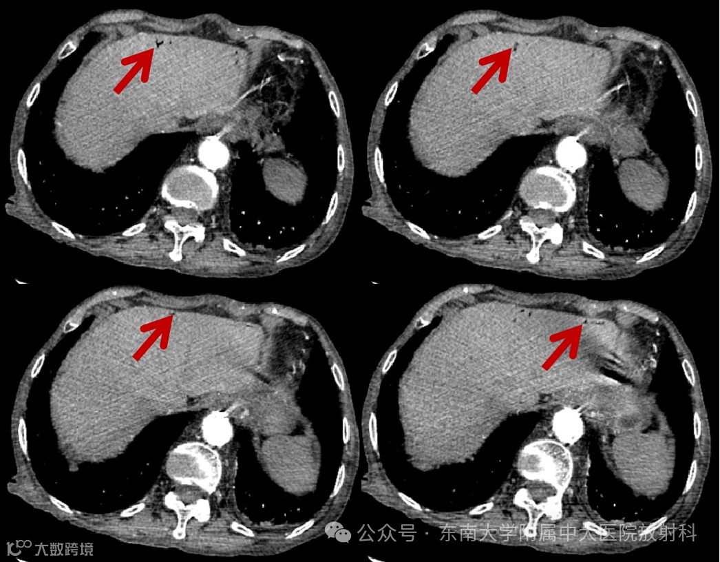
影像学表现
































·END·
精彩推荐:
力荐!医学影像专业必关注的8个公众号
全网最全的解剖图库,千万不要错过
300+神经、头颈系统超全影像文章汇总
全网最全头颅影像解剖学,不容错过(更新版)
全网最全大关节影像解剖,不容错过(更新版)
影像科急诊必备手册,必点收藏
脊柱、脊髓解剖及常见疾病汇总(41篇)
乳腺解剖及影像学检查详细汇总
心胸系统文章汇总(132篇)
全网最全全身X线高清图谱
更多精彩医学影像内容,尽在鼎湖影像
权威医学影像公众号,欢迎您的关注↓↓
↓↓ 欢迎进入鼎湖学堂





