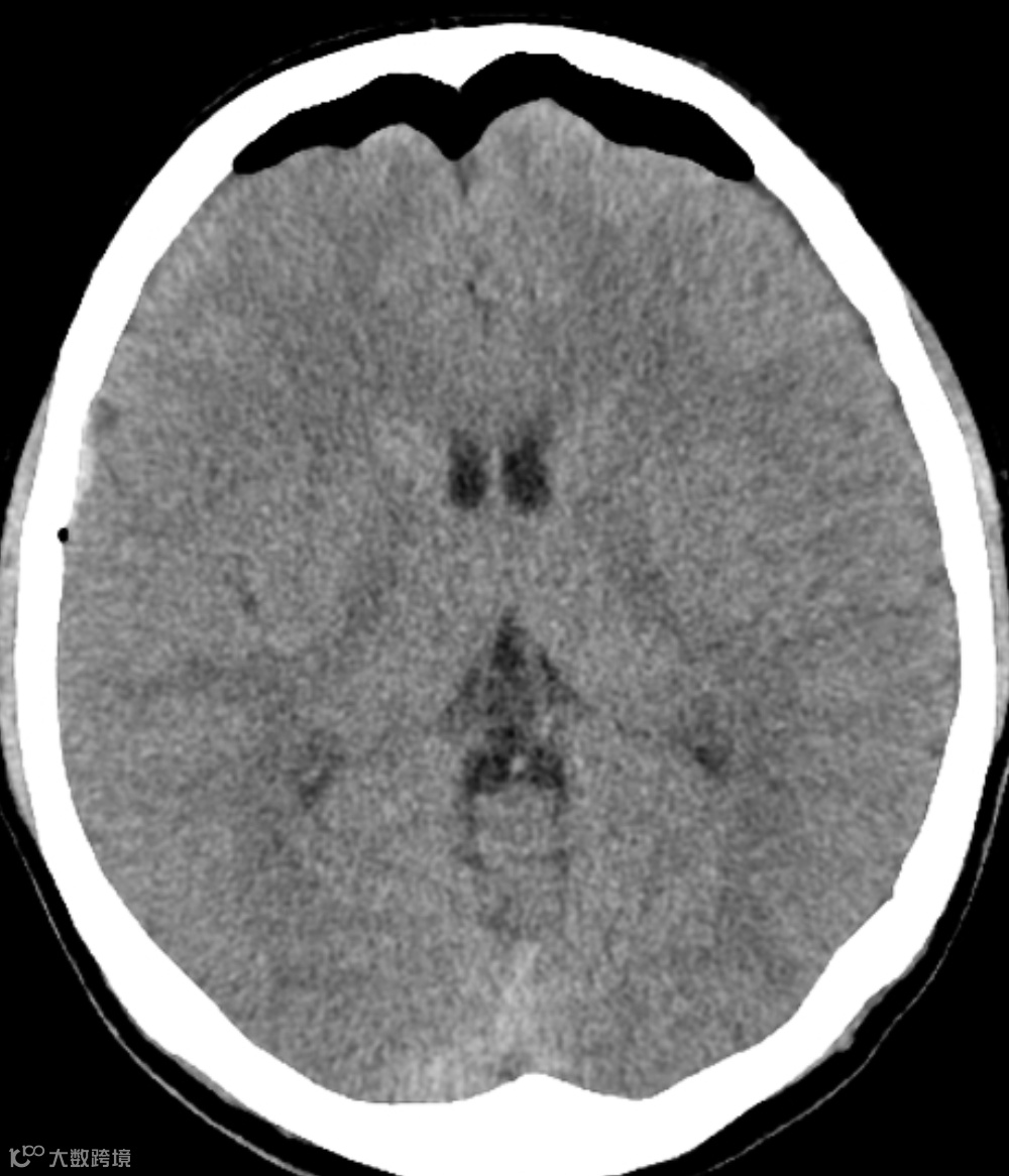
患者,男,30岁,头部受伤后昏迷。

头颅CT显示双侧额极硬膜下腔积气,呈富士山征。
张力性气颅
张力性气颅
张力性气颅是指颅内积气的压力较高,压迫邻近脑组织的一种临床急症。临床表现多样,可有严重烦躁不安、意识减退、局灶性神经功能缺损,甚至心脏停搏等。
张力性气颅病因很多,如:
创伤伴有脑脊液漏
近期接受过神经外科手术,最常见的为慢性硬膜下血肿清除术,亦可见于颅底、鼻窦及后颅窝等部位的手术、脑室外引流术等
鼻旁窦肿瘤
感染,如细菌性脑膜炎、耳源性脑膜炎等
无论病因为何,当破裂的脑脊膜(如硬脑膜、蛛网膜)形成活瓣性阻塞时气体只能进入而不能排出,则颅内积气量不断增多,导致颅内压增高形成张力性气颅。
张力性气颅初始,高张力的气体可压迫邻近脑组织(通常见于额叶),额叶被推到一起、变尖及移位,在中线处形成山峰样改变,即山峰征,周围是空气。

随着病情的发展,颅内气体增多,额叶开始分离,坍塌的额叶和额极大脑半球间的裂隙增宽而出现富士山样的轮廓,称为富士山征。

富士山征(箭头)
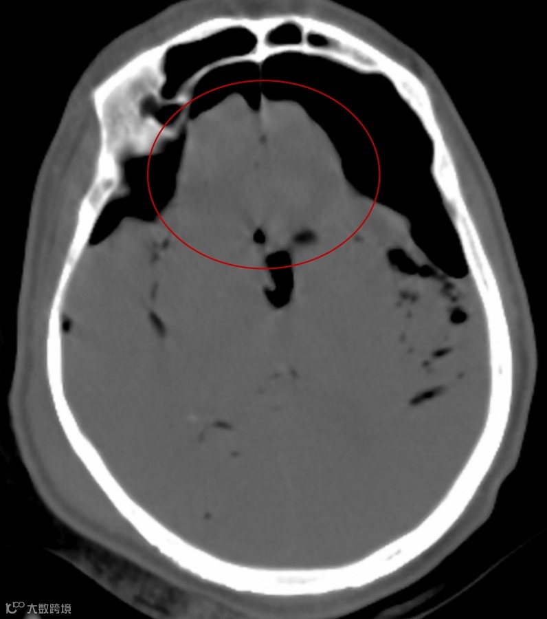
额极之间(纵裂池)的空气表明空气压力至少大于额叶之间脑脊液的表面张力。
张力性气脑症的另一个影像学表现是蛛网膜下腔内多个小气泡影,称为气泡征。

张力性气颅为一种临床急症,持续性颅内高压可引起各种脑疝(如镰下疝、 钩回疝、小脑幕疝、小脑扁桃体疝等)危及患者的生命,需早期作出正确诊断并及时处理。张力性气颅的治疗方法为手术减压。
参考文献
https://radiopaedia.org/articles/tension-pneumocephalus?lang=us
王敏灵,范俊飞,徐有学.山峰征在张力性气颅中的诊断价值[J].实用医学影像杂志,2016,17(5):436-438.
·END·
精彩推荐:
力荐!医学影像专业必关注的8个公众号
全网最全的解剖图库,千万不要错过 300+神经、头颈系统超全影像文章汇总
全网最全头颅影像解剖学,不容错过(更新版) 全网最全大关节影像解剖,不容错过(更新版) 影像科急诊必备手册,必点收藏 脊柱、脊髓解剖及常见疾病汇总(41篇) 乳腺解剖及影像学检查详细汇总 心胸系统文章汇总(132篇) 全网最全全身X线高清图谱
![]()
更多精彩医学影像内容,尽在鼎湖影像 权威医学影像公众号,欢迎您的关注↓↓
↓↓ 欢迎进入鼎湖学堂




