平扫CT是临床上公认的急性缺血性脑卒中常规检查和首选检查手段,主要目的是排除脑出血。
平扫CT虽然对急性缺血性脑卒中的敏感性差,但CT是检测脑出血的"金标准"。CT是目前临床确诊急性脑出血的首选方法,也是急诊鉴别急性缺血性卒中和急性出血性卒中、溶栓前排除脑出血的最常规筛查方法 。
平扫CT检测急性缺血性脑卒中的敏感度取决于梗死灶的大小、部位、临床检查的时间,敏感度约12%~92%,通常起病24~36 h才出现低密度改变。
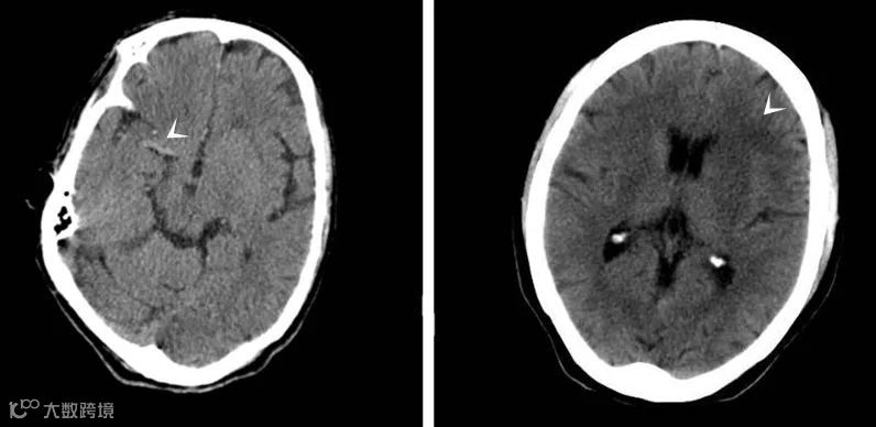
低密度改变并不是急性缺血性脑卒中的唯一征象,在某些情况下,高密度动脉征可能为缺血性脑卒中在平扫CT图像上最早或唯一的征象,如上图△左。
该征象在大脑中动脉较为常见,对于缺血性脑卒中诊断的特异性可高达90%-100% ,但敏感度低于30%。
脑卒中多模态CT检查包括头颅CT平扫、头颅CT灌注、头颈部CTA在内的“一站式”影像检查。“一站式”CT检查可以精确评估脑卒中的责任血管和梗死周围脑组织血流灌注情况。
“一站式”多模态CT检查是一种快速、多参数、成像范围广的影像学检查方法,极大地满足了脑卒中“要快、要全”的需求。
脑卒中患者为什么还要选择MRI?
CT对早期、小病灶及特殊区域(如脑干、小脑等)的急性缺血性脑卒中的评估存在很大的局限性,同时如进行灌注或血管成像则需注射造影剂。随着MRI成像速度的提升,近年MRI在脑卒中中的应用越来越普及。
MRI组织分辨率高,对脑卒中的诊断具有超高的敏感性和特异性。
MRI对脑卒中早期病变及小病灶更具敏感性。
MRI对于特殊区域病变,如脑干,后颅窝病灶更具敏感性。
MRI可不使用对比剂的情况下,通过常规序列联合特殊序列的多模态MRI反映缺血脑组织病理生理变化,不仅局限于诊断,还可以提示侧支循环、血流动力学、分子代谢等信息。
MRI对对比剂和辐射担忧的人群更友好。
行CT无法明确诊断的患者,MRI是其更佳选择。
常规序列+特殊序列的多模态MRI可对脑实质、脑血管、脑血流动力学情况从微观到宏观,从形态到功能的综合性评估。
脑卒中患者需要扫描哪些序列?
《中国脑血管病影像应用指南2019》中指出:脑卒中标准的MRI扫描序列应包括MRI(T1WI、T2WI和DWI)和MRA序列。
T1WI具备优异的灰白质对比度,有利于观察脑组织的解剖结构。
T2WI可更好的显示组织/病变的信号变化,特别是T2 FLAIR序列是评估病变的关键序列。
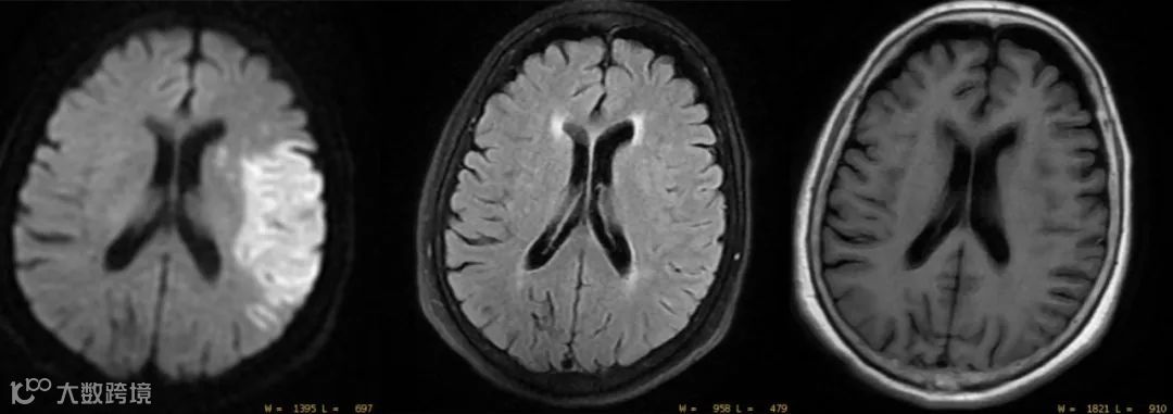
DWI是对脑卒中病灶检出最早、最敏感的序列。
除了上述的基本序列,脑卒中常用的序列还有PWI和SWI序列,实际扫描中可根据需求选择。
不同时期的脑梗塞在MRI成像表现,如下表:
在缺血的数分钟后细胞毒性水肿导致的水分子扩散受限,DWI即可出现异常高信号,T2WI一般在6h后才出现明显的高信号,T1WI出现病灶的时间与平扫的CT相近。
所以DWI是对脑卒中病灶检出最早、最敏感的序列。
在缺血性脑卒中的超急性(发病<6h)及急性期,MRI的敏感度和特异度分别为91%和95%。DWI>FLAIR>T2WI。
-
脑卒中患者的扫描,应遵循先检出,后评估的原则。应以诊断效能最高DWI开始,其次是FLAIR,再次是MRA;而后在进行PWI、SWI、常规T1/T2的扫描。 -
DWI+FLAIR+MRA序列组合足以满足绝大多数场景的需求。 -
在血管成像中,最好能进行头+颈大范围的血管成像。优先选择无对比剂血管成像方式。 -
ASL序列成像时间较长,对脑卒中的患者建议在保证ASL图像质量的前提下要尽量减少扫描时间,同时应先扫描PLD=2.5S(长PLD更能反映灌注结果,条件不允许的情况下也可以仅扫描PLD=2.5S),而后再扫描PLD=1.5S。
参考文献:
中华医学会神经病学分会,中华医学会神经病学分会脑血管病学组.中国脑血管病影像应用指南2019[J].中华神经科杂志,2020,53(4):250-268.DOI:10.3760/cma.j.cn113694-20191007-00615.
林天烨,有慧,冯逢,等. 动脉自旋标记MR技术进展及应用. 中华放射学杂志,2019,53(05):431-434. DOI:10.3760/cma.j.issn.1005-1201.2019.05.030
中华医学会放射学分会质量管理与安全管理学组,中华医学会放射学分会磁共振学组. 动脉自旋标记脑灌注MRI技术规范化应用专家共识. 中华放射学杂志,2016,50(11):817-824. DOI:10.3760/cma.j.issn.1005-1201.2016.11.003
王显龙,温志波. 多层螺旋CT灌注成像在缺血性脑卒中的临床应用. 中华神经医学杂志,2011,10(02):211-214. DOI:10.3760/cma.j.issn.1671-8925.2011.02.026.
段琳言,於帆,王静娟,张苗,卢洁.多PLD ASL成像预测急性缺血性脑卒中机械取栓术后远期神经功能良好的价值[J].磁共振成像,2024,15(10):86-92.DOI:10.12015/issn.1674-8034.2024.10.015.邓得峰,吴英,郭瑞,安甲佳,马静.多模式MRI在急性缺血性脑卒中溶栓中的研究[J].实用放射学杂志,2020,36(1):5-8.DOI:10.3969/j.issn.1002-1671.2020.01.002.王燕停,于昊.MRI识别和评估急性脑梗死缺血半暗带的研究进展[J].磁共振成像,2023,14(1):161-165.DOI:10.12015/issn.1674-8034.2023.01.030.
王燕停,于昊.MRI识别和评估急性脑梗死缺血半暗带的研究进展[J].磁共振成像,2023,14(1):161-165.DOI:10.12015/issn.1674-8034.2023.01.030.
·END·
精彩推荐:
力荐!医学影像专业必关注的8个公众号
全网最全的解剖图库,千万不要错过
300+神经、头颈系统超全影像文章汇总
全网最全头颅影像解剖学,不容错过(更新版)
全网最全大关节影像解剖,不容错过(更新版)
影像科急诊必备手册,必点收藏
脊柱、脊髓解剖及常见疾病汇总(41篇)
乳腺解剖及影像学检查详细汇总
心胸系统文章汇总(132篇)
全网最全全身X线高清图谱
更多精彩医学影像内容,尽在鼎湖影像
权威医学影像公众号,欢迎您的关注↓↓
↓↓ 欢迎进入鼎湖学堂





