病例1
男,70岁
-
主诉:发热三天 -
现病史:患者3天前无明显诱因出现发热,体温最高38度以上,伴乏力,伴精神萎靡,伴胸闷气喘,伴咳嗽咳痰等 -
既往史:1月前因“感染性发热”住院治疗,尿培养出大肠埃希菌;冠心病(冠状动脉支架植入后状态);高血压病3级;2型糖尿病
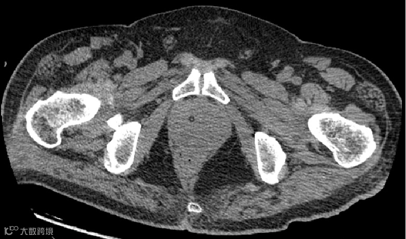
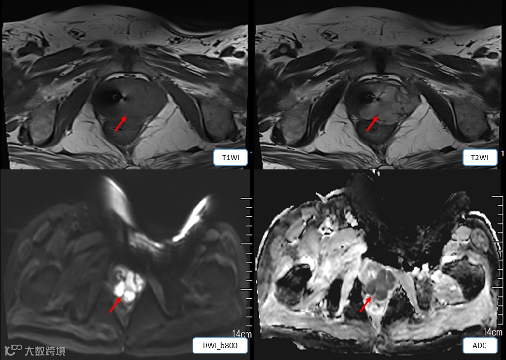
影像学表现

















































·END·
精彩推荐:
力荐!医学影像专业必关注的8个公众号
全网最全的解剖图库,千万不要错过
300+神经、头颈系统超全影像文章汇总
全网最全头颅影像解剖学,不容错过(更新版)
全网最全大关节影像解剖,不容错过(更新版)
影像科急诊必备手册,必点收藏
脊柱、脊髓解剖及常见疾病汇总(41篇)
乳腺解剖及影像学检查详细汇总
心胸系统文章汇总(132篇)
全网最全全身X线高清图谱
更多精彩医学影像内容,尽在鼎湖影像
权威医学影像公众号,欢迎您的关注↓↓
↓↓ 欢迎进入鼎湖学堂





