近日,演员王星在泰缅边境被骗至“电诈园区”并成功获救事件引发了社会各界的广泛关注与深入讨论。
公众大都集中关注于缅北是臭名昭著的电诈窝点,然而在大力打击电诈的同时同样不可忽视的是,缅北特别是“金三角”地区,是毒品生产和走私的重要源头,被骗至缅北后可能成为“猪仔”,也可能是毒品“人肉搬运工”,成为运毒入境案的罪犯。不论是哪一种,都是我们应该坚决抵制和打击的。
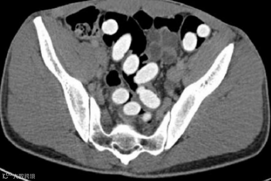
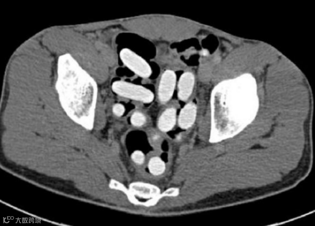
作为普通的放射科医生或技师,我们也可以在反诈、禁毒中尽自己的绵薄之力,尤其是看到这样图像时,请立即报警❗️❗️❗️




腹部CT扫描显示结肠(主要是降结肠、乙状结肠和直肠)有大量椭圆形高密度异物,这可不是“可爱的蚕宝宝”,而是小包分包的可卡因,大约有300-500g。
我国对电信诈骗和各类毒品的打击力度之大,成果之显著大家有目共睹。
共筑反诈、禁毒长城
你我皆是祖国安全的守护者

·END·
精彩推荐:
力荐!医学影像专业必关注的8个公众号
全网最全的解剖图库,千万不要错过 300+神经、头颈系统超全影像文章汇总
全网最全头颅影像解剖学,不容错过(更新版) 全网最全大关节影像解剖,不容错过(更新版) 影像科急诊必备手册,必点收藏 脊柱、脊髓解剖及常见疾病汇总(41篇) 乳腺解剖及影像学检查详细汇总 心胸系统文章汇总(132篇) 全网最全全身X线高清图谱
![]()
更多精彩医学影像内容,尽在鼎湖影像 权威医学影像公众号,欢迎您的关注↓↓
↓↓ 欢迎进入鼎湖学堂





