鼎湖综合整理 转载需授权
50多年前的1971年,历史上第一次计算机断层(CT)扫描发生在一个以年度网球公开赛闻名的小镇——英国温布尔登,一名41岁女性接受了检查,而机器是由一家以生产唱片闻名的公司(百代)制作的。
仅仅8年后,诺贝尔生理学或医学奖就被授予了为CT扫描仪研发做出贡献,却没有任何医学背景的两位:高弗雷·豪斯费尔德(Godfrey Hounsfield)和艾伦·科马克(Allan Cormack)。
第一台EMI CT机,扫描一层图像需要4.5min
世界上第一位接受CT检查的女子
那么这样的图像你能诊断正确吗?(答案放评论区)
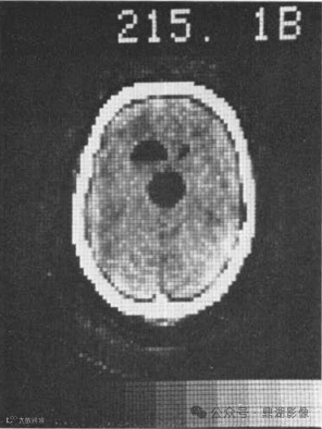
先给大家上一组简单的:
第一组
以现在的技术水平来看,这样的图像基本无法诊断,但在当时,能够区分灰白质已经为临床提供极大的帮助了。
第二组

继续挑战!
第三组
最后一组!
第四组
您的诊断是?


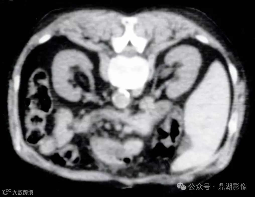
SOMATOM扫描的腹部平扫图像,1977年
尽管CT扫描速度最初很慢,而且扫描部位仅限于头部,但在随后数十年间,扫描仪速度变得越来越快,功能也越来越强。如今,在半个世纪之后,CT扫描仪已成为常规医疗工作基础设施的一部分,每年拍摄出令人惊叹的图像,帮助我们准确诊断从而有效治疗数百万患者。
·END·
精彩推荐:
力荐!医学影像专业必关注的8个公众号
全网最全的解剖图库,千万不要错过 300+神经、头颈系统超全影像文章汇总
全网最全头颅影像解剖学,不容错过(更新版) 全网最全大关节影像解剖,不容错过(更新版) 影像科急诊必备手册,必点收藏 脊柱、脊髓解剖及常见疾病汇总(41篇) 乳腺解剖及影像学检查详细汇总 心胸系统文章汇总(132篇) 全网最全全身X线高清图谱
![]()
更多精彩医学影像内容,尽在鼎湖影像 权威医学影像公众号,欢迎您的关注↓↓
↓↓ 欢迎进入鼎湖学堂




