PET/CT检查已经成为临床工作必不可少的利器,在多种疾病的诊断中具有明显优势。如今越来越多县市级、区级医院安装设备,但是学习PET/CT检查及疾病诊断的资源却甚少。基于此,武汉市中心医院周俊芬教授在鼎湖影像建立公益专栏,为大家分享自己的临床经验,欢迎大家持续关注。
转载需授权
作者 | 周俊芬
单位 | 武汉市中心医院
患者 女,73岁。
咳嗽咳痰一周,加重4天
患者诉1周余前无明显诱因开始出现咳嗽、咳黄脓痰,伴活动喘息不适,无畏寒发热,无胸痛心悸,无痰中带血,无鼻塞流涕,现为进一步诊治遂来我院,门诊以“慢性阻塞性肺病伴有急性加重,支气管扩张” 收入院。起病以来患者精神正常、睡眠欠佳,体力轻度下降,体重无明显减轻。
慢阻肺重症,支气管扩张,冠心病病史,高血压病史,桥本甲状腺炎,甲状腺结节病史,剖宫产手术史,青霉素,头孢,链霉素,酒精过敏史。
神清,血压123/75mmHg,双肺呼吸音清,未及罗音,心音可,心率107次/分,腹软,无压痛反跳痛,双下肢不肿。
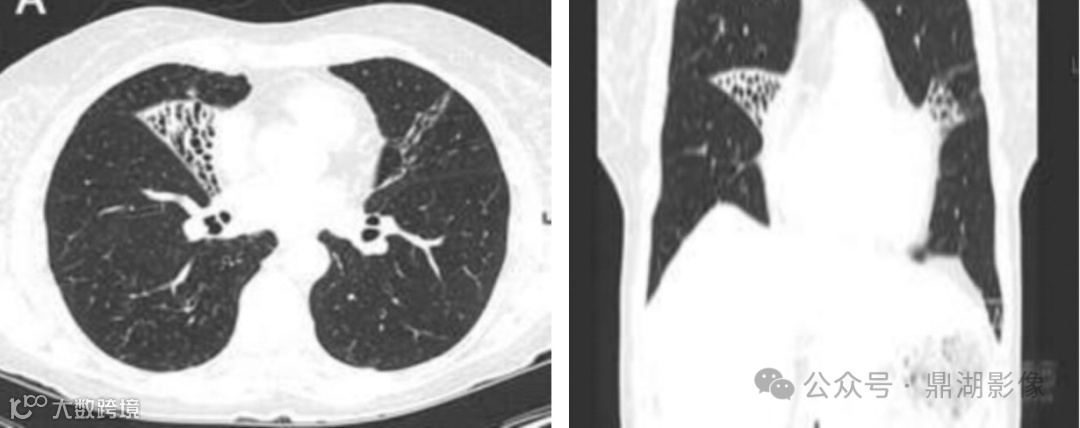
双肺多发支气管扩张伴感染,以右肺中叶、左肺上叶下舌段为著;余双肺散在多发小结节、小结片及小斑片影,部分代谢轻度增高,考虑感染性病变;
双肺门多发淋巴结,代谢异常增高,考虑淋巴结炎。
肺泡灌洗液NGS结果提示非结核分枝杆菌感染
Lady Windermere Syndrome
( LWS ,“温夫人综合征”)
概述
维多利亚时期妇女坚信“淑女不吐痰”,因此易于肺部感染。右肺中叶与左舌叶的鸟分枝杆菌复合体感染,被称作温夫人综合征。此综合征以王尔德的戏剧女主角而得名。
鸟分枝杆菌与胞内分枝杆菌是紧密相关的一组复合体(MAC),属于非结核分枝杆菌(NTM)
MAC可在水、土壤与动物中发现,但人与人不传播
通常发生在没有明显吸烟史或肺部疾病史的、免疫正常的老年女性身上,被认为是由于主观性的过度抑制咳嗽造成的。温夫人综合征女性的典型特征是高瘦,礼貌优雅的老年女性,没有基础肺疾病,她们出于礼貌克制咳嗽。分泌物的积累使患者易于感染,特别是右中叶支气管较为狭长。影像学显示间质和/或结节状改变,以左肺舌叶与右肺中叶为主,痰液或或支气管灌洗液可分离出责任病原菌。
病灶累及左肺舌叶与右肺中叶,是温夫人综合征的典型表现。(Yu JA, et al. Eur J Cardiothorac Surg 2011)
传统认为是“高贵女性”过度抑制咳嗽导致了温夫人综合征。但是为什么LWS多为绝经期高瘦女性,常合并胸廓畸形、漏斗胸与二尖瓣脱垂?
有研究认为是绝经期内分泌改变导致了对NTM(非结核分枝杆菌)的异常应答。
也有研究认为是MST1R基因变异导致了气道纤毛系统下降与IFN-γ分泌减少,最终NTM感染导致了温夫人综合征。
支气管扩张及结节为主型病变:以支气管扩张伴周围小叶中心结节为主,可合并空洞、斑片影等其他征象,表现为树芽征的细支气管炎、支气管管壁增厚的节段性支气管扩张及伴有黏液堵塞是疾病活动的表现。右肺中叶、左肺舌段是 NTM 患者支气管扩张累及的常见部位
空洞为主型病变:该型进展较快,主要发生在有潜在性肺部疾病的中年吸烟者,影像学表现以空洞为主,可同时合并支气管扩张、树芽征、斑片影等其他征象。多见于上叶尖段和后段。NTM 肺病的空洞更大,洞壁厚度增加并目空洞范围广
过敏性肺炎样表现:又被称为“热水浴”肺表现,较少见,由于吸入被 NTM 污染的热水蒸气引起的过敏性肺炎表现,亚急性起病, 肺内多表现为弥漫性小叶中心性微结节的浸润和(或)磨玻璃样改变及呼气状态下的空气潴留 。
孤立结节肿块型:可为单发或多发结节,较少见,常在无症状的患者中偶然发现,可以是钙化或非钙化结节,结节内可见空腔,部分结节需要与癌性结节鉴别;局灶性肿块样病变与原发性肺癌相似,需要借助其他检查进行鉴别。
合并获得性免疫缺陷综合征:肺部受累多见播散性病变,表现为粟粒样结节或者实变影,全身病变则表现为播散性淋巴结,主要累及纵隔及腹部。
NTM与肺结核的CT征象有一定相似性,但仍有其特征表现。NTM双肺病变比肺结核要常见,前者更容易出现薄壁空洞 (直径>3 cm) 和支气管扩张,且支气管扩张好发于右肺中叶和左肺上叶舌段
肺结核空洞和支气管扩张好发于上叶尖后段和下叶背段,且肺结核以厚壁空洞多见,扩张的支气管因周围有纤维索条牵拉而走形扭曲,肺结核患者的肺门淋巴结肿大表现更常见
NTM行FDG显像一般代谢轻度增高;结核性肉芽肿FDG显像常显示代谢异常增高
1. Yu JA, et al. Lady Windermere revisited: treatment with thoracoscopic lobectomy/segmentectomy for right middle lobe and lingular bronchiectasis associated with non-tuberculous mycobacterial disease. Eur J Cardiothorac Surg 2011 Sep
2. Holt MR, et al. Exploring immunomodulation by endocrine changes in Lady Windermere syndrome. Clin Exp Immunol 2019 Apr
3. Olivier KN, et al. Lady Windermere Dissected: More Form Than Fastidious.Ann Am Thorac Soc 2016 Oct
4. Becker KL, et al. MST1R mutation as a genetic cause of Lady Windermere syndrome. Eur Respir J 2017 Jan

武汉市中心医院呼吸与危重症医学科是是国家规范化建设三级医院优秀单位、首批国家级呼吸内镜医师培训基地之一、间质性肺疾病规范化诊疗中心优秀单位,开展肿瘤消融、冷冻肺活检、支气管瘘封堵术、单向活瓣肺减容术、困难异物取出术等四级手术;胸腔镜下胸壁活检、胸膜粘连松解术、胸腔镜下病损冷冻术等微创手术;经皮肺肿瘤射频消融术、微波消融术、氩氦刀冷冻治疗、125I粒子植入术、支气管动脉灌注及栓塞术、肺动脉栓塞术、肺动脉支架置入隔绝术、上腔静脉支架植入术、肺静脉支架植入术等。年均手术量超5000台/年,呼吸介入水平达国内领先水平。开展血流动力学监护(PICCO)、连续性血液净化(CRRT)及体外膜肺氧合(ECMO)等。国家科技部重点专项1项,国家自然科学基金项目4项,5年内发表SCI论文40余篇,单篇最高影响因子达202.73。
依托强大的呼吸科团队,医院肺部影像诊断得到持续性快速发展。
·END·
精彩推荐:
力荐!医学影像专业必关注的8个公众号
全网最全的解剖图库,千万不要错过 300+神经、头颈系统超全影像文章汇总
全网最全头颅影像解剖学,不容错过(更新版) 全网最全大关节影像解剖,不容错过(更新版) 影像科急诊必备手册,必点收藏 脊柱、脊髓解剖及常见疾病汇总(41篇) 乳腺解剖及影像学检查详细汇总 心胸系统文章汇总(132篇) 全网最全全身X线高清图谱
![]()
更多精彩医学影像内容,尽在鼎湖影像 权威医学影像公众号,欢迎您的关注↓↓
↓↓ 欢迎进入鼎湖学堂





