做磁共振检查发生心肺骤停虽然罕见,但可能致命。今天要介绍的这一案例就遇到了这种罕见情况,想想就后怕!
1 案例回顾
这是一名65岁的男性患者,有高血压、糖尿病和吸烟史(他每日吸烟20支,持续30余年,是个老烟民了),而且该患者还曾有短暂性脑缺血发作(TIA)病史。总的来说,他卒中风险较高。
入院前两天,患者出现轻微头痛,但日常活动正常,无任何不适。
入院当天上午,患者突发头晕、恶心,独立活动受限,家属呼叫救护车送至医院。到院时初步评估如下:
生命体征:血压170/95 mmHg,脉搏90次/分,呼吸18次/分,血氧饱和度97%;
神经系统检查:发现患者左侧肢体偏瘫、吞咽困难、构音障碍,疑似急性缺血性卒中;
患者神志清楚,无视敏度下降、无感觉缺失及无语言功能障碍;
NIHSS评分为6分;
因发病时间不明且超出静脉溶栓时间窗(4.5小时),未予静脉溶栓治疗。
鉴于此,患者行紧急颅脑MRI检查,显示右侧椎动脉闭塞,脑干出现急性缺血性改变,但未观察到脑血流明显异常信号(图1a - 1f)。临床怀疑为急性缺血性卒中。
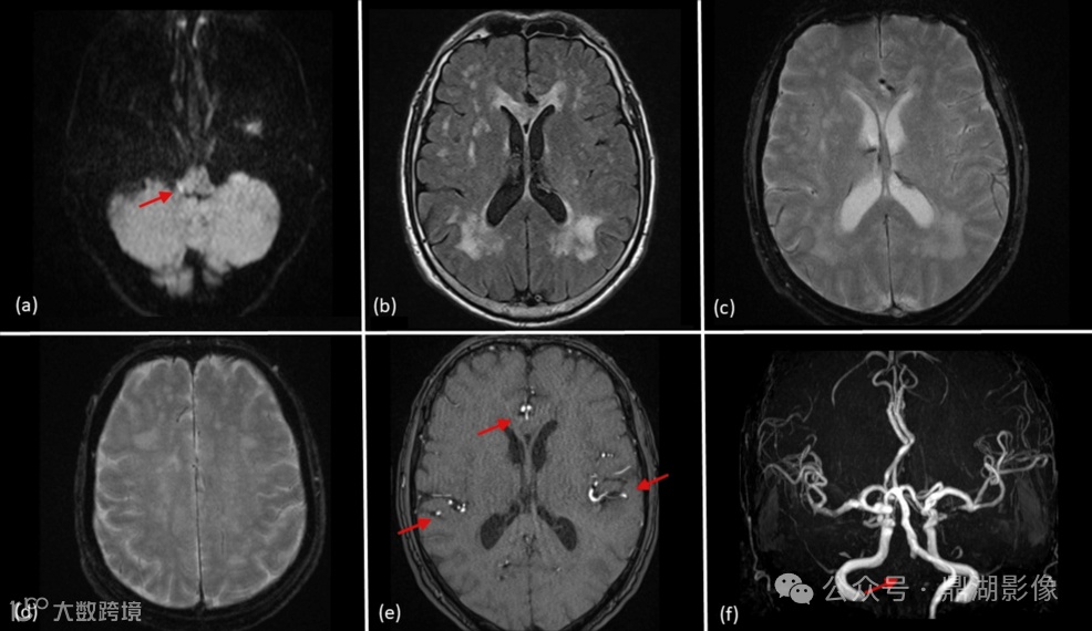
图 1:入院时的初步MR图像
(a)DWI可见脑干右侧弥散受限,呈急性缺血性改变,与右侧椎动脉供血区域一致(箭头)。
(b)Flair可见双侧侧脑室旁及皮层下脑白质高信号。
(c)T2WI未见异常静脉或动脉充血。
(d)另一层面T2WI未见明显血管异常。
(e)MRA显示除右侧椎动脉外(箭头),动脉血流信号正常。
(f)MIP显示右侧椎动脉无血流,可能与脑干梗死有关(箭头)。
入院后,该患者症状在下午恶化,临床医生给他开出了第二次MRI检查(距离第一次MRI检查结束6小时后)。检查开始前,患者状态尚可,在家属搀扶之下可以移动至检查床。
对于所有人来说,本来以为这只是一次普通的影像检查,殊不知接下来发生的事让人胆战心惊。
磁共振技师大概扫描10分钟后,MRA未见动脉血流信号,但无法排除是否为技术故障,继续扫描之后发现血流信号依旧异常,专业及敏锐性让这名技师意识到患者可能发生了心脏骤停,于是立即结束检查进行心肺复苏。经过一系列紧急抢救,10分钟后患者恢复自主循环。
后来这名患者在ICU持续进行治疗,一个月后转至其他医院继续下一步治疗。
如此惊险的一次扫描,当时的磁共振检查图像究竟发生了怎么样的异常呢?我们看下面这张图:
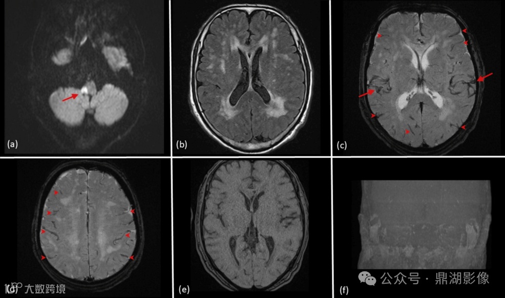
图 2:后续扫描期间的MR图像
(a) DWI显示梗死区域轻微扩大,脑干右侧病灶较初扫描时弥散受限加重(箭头)。
(b)FLAIR图像与初始扫描相比基本保持不变。
(c)T2WI可见扩张的脑动脉(箭头)和静脉(箭头),为低信号。
(d)另一层面T2WI显示静脉充血,低信号(箭头)。
(e)MRA显示无动脉血流信号,一开始被误解为技术故障。
(f)MIP证实脑动脉血流完全消失,与患者的心脏骤停有关。
总结来说,本案例患者发生心脏骤停有2个特征点:
T2WI上观察到动脉/静脉异常充血(血管扩张或信号增强);
MRA扫描中观察到动脉血流信号消失。
既往研究记录了动脉或静脉充血期间在磁敏感加权成像可见低信号,而本案例T2WI序列静脉可见度的增加可能是由于多种因素的综合作用。这可能与心脏骤停后全身血液循环停止,导致血液在血管内淤积有关。血流中断,故在MRA上无法检测到正常的血流信号
2 磁共振室发生心脏骤停,如何抢救?
根据《MRI临床应用安全专家共识》,MRI检查时出现受检者心脏骤停等突发紧急情况时,应这样处理:
由于MRI检查时间较长,且受检者所处空间较为封闭,因此必须对可能出现突发状况的高危受检者进行全程心电监测;
若受检者出现心脏骤停,应立即停止检查,以最快的速度将受检者转移出MRI磁体区后就地进行抢救,同时呼叫医院急救医护小组的帮助;
急救过程中需注意使用非铁磁性的急救及转运设备,避免常规抢救设备直接进入磁体区,这将导致二次的严重伤害。
3 小结
磁共振扫描过程中患者发生心脏骤停的案例极为罕见,面对可能出现突发状况的高危受检者,全程心电监测,实施评估图像至关重要,不怕一万就怕万一。此外,本起案例也提示我们,此类患者MRA和T2WI可能是早期发现心脏骤停的有效手段!
这就需要放射科技师和医生注意这些迹象,尤其是高危患者,扫描期间需要时刻保持警醒,一旦发现异常,需要立即识别、终止扫描并启动复苏!
参考资料:
Tokue H, Tokue A, Ebara M, et al. (April 04, 2025) Unexpected Cardiac Arrest During MRI in a Patient With Acute Brainstem Infarction: A Case Report and Imaging Insights. Cureus 17(4): e81691. doi:10.7759/cureus.81691
Letourneau-Guillon L, Krings T: Simultaneous arteriovenous shunting and venous congestion identification in dural arteriovenous fistulas using susceptibility-weighted imaging: initial experience. AJNR Am J Neuroradiol. 2012, 33:301-7. 10.3174/ajnr.A2777
中华医学会影像技术分会,中国医师协会医学技师专业委员会.MRI临床应用安全专家共识[中华放射学杂志,2023,57(9):955-961.D0l: 10.3760/ema.j.en112149-20230113-00036.
·END·
精彩推荐:
力荐!医学影像专业必关注的8个公众号
全网最全的解剖图库,千万不要错过 300+神经、头颈系统超全影像文章汇总
全网最全头颅影像解剖学,不容错过(更新版) 全网最全大关节影像解剖,不容错过(更新版) 影像科急诊必备手册,必点收藏 脊柱、脊髓解剖及常见疾病汇总(41篇) 乳腺解剖及影像学检查详细汇总 心胸系统文章汇总(132篇) 全网最全全身X线高清图谱
![]()
更多精彩医学影像内容,尽在鼎湖影像 权威医学影像公众号,欢迎您的关注↓↓
↓↓ 欢迎进入鼎湖学堂





