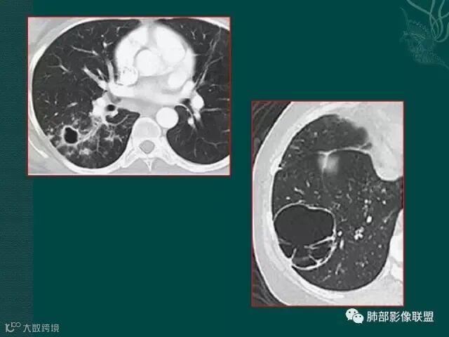
第一个是肺腺癌,边缘有毛刺,多发小空泡,直径不到5mm;
第二个是典型的肺癌坏死后形成的厚壁空洞;
第三个也可以称为空洞,但和第二个不完全相同,壁较薄,内有分隔,我们也称为假性空洞,是支气管活瓣作用形成的,我们也称为假大空。
洞壁的血管,腺癌常见,鳞癌较少,结核罕见
结核的破坏力类似于“三光政策”。所到之处,均形成干酪灶,血管都被破坏。
大片液化坏死,内多发空泡,初学者可能感觉是感染,但红箭头所指洞壁虽然不很厚,但仍可见到边界不清的低密度区,黄箭头所指病变侵犯胸膜。

定要记住,在免疫力低下,或白细胞降低的病人,如果在化疗过程中出现痰中带血,最大可能不是肿瘤进展,也不是侵犯血管,而是侵袭性的肺曲霉菌感染。
该病例进展较快,悬球征-霉菌感染的特异征象。
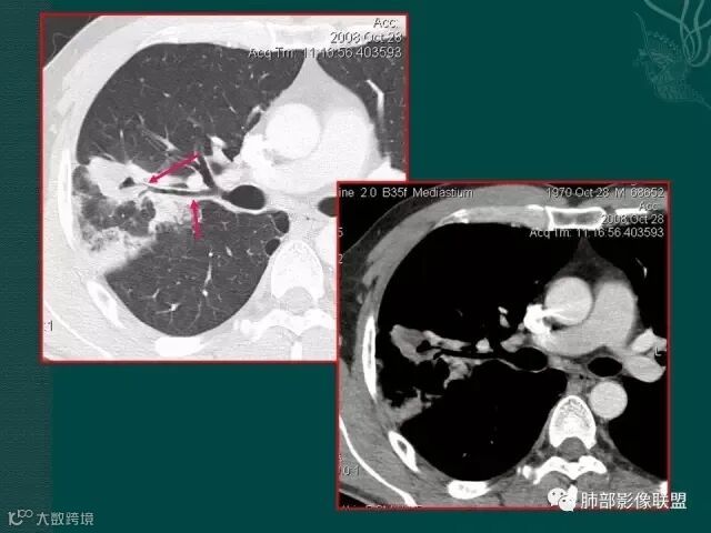
病史似乎是炎性;空洞型病变,靠近纵隔的时候,一定要看对纵隔是否有侵蚀,这是相当重要的。
红箭头所指是右上肺静脉,起始部是完好的,上一层被病变完全包埋,管腔变窄,管壁形态不规则,并侵犯相邻纵隔。
肺癌靠近纵隔时,对纵隔的侵犯,对诊断有重要诊断价值,炎症的话很少会侵犯血管。
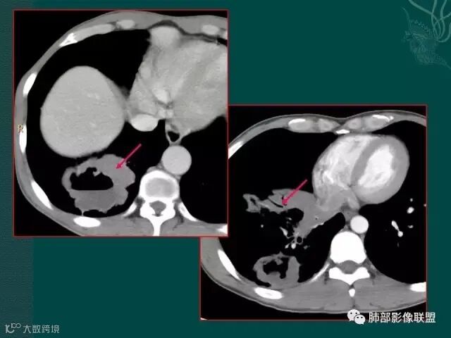
厚壁,大部分坏死,外缘较清晰,穿刺时千万不要穿坏死区;
鳞癌破坏力在所有类型肺癌中,都是最强的,所以出现坏死的几率特别是大片坏死的概率,是远远高于腺癌。
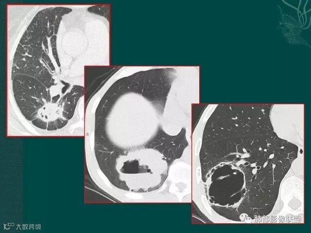
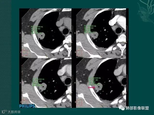
上一个是磨玻璃密度肺癌,边缘清晰,内有分隔,空洞型肺癌伴磨玻璃密度影的,100%为腺癌,很显然这是个假性空洞;
下一个也是肺癌,内有分隔,外下缘箭头所示也是磨玻璃影,这也是腺癌,同时可见叶间裂有转移灶。
·END·
精彩推荐:
力荐!医学影像专业必关注的8个公众号
全网最全的解剖图库,千万不要错过 300+神经、头颈系统超全影像文章汇总
全网最全头颅影像解剖学,不容错过(更新版) 全网最全大关节影像解剖,不容错过(更新版) 影像科急诊必备手册,必点收藏 脊柱、脊髓解剖及常见疾病汇总(41篇) 乳腺解剖及影像学检查详细汇总 心胸系统文章汇总(132篇) 全网最全全身X线高清图谱
![]()
更多精彩医学影像内容,尽在鼎湖影像 权威医学影像公众号,欢迎您的关注↓↓
↓↓ 欢迎进入鼎湖学堂






