
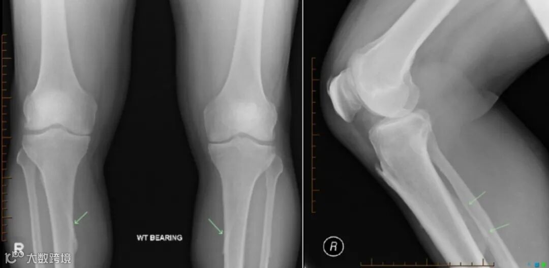
图1.双侧胫骨可见对称性的由胫骨背侧近端、斜向内下走形的硬化带,为“比目鱼肌线”。


图2 双侧比目鱼线,侧位显示不明显。

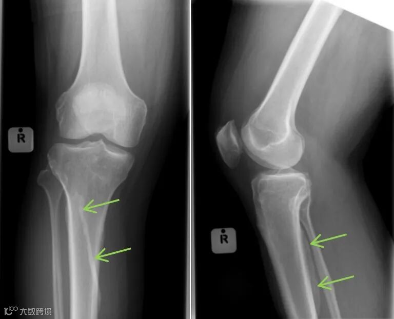
图3 右侧比目鱼肌线
参考文献
https://radiopaedia.org/articles/tug-lesion-musculoskeletal?lang=us
https://baike.baidu.com/item/%E6%AF%94%E7%9B%AE%E9%B1%BC%E8%82%8C%E7%BA%BF/53707545
·END·
精彩推荐:
力荐!医学影像专业必关注的8个公众号
全网最全的解剖图库,千万不要错过 300+神经、头颈系统超全影像文章汇总
全网最全头颅影像解剖学,不容错过(更新版) 全网最全大关节影像解剖,不容错过(更新版) 影像科急诊必备手册,必点收藏 脊柱、脊髓解剖及常见疾病汇总(41篇) 乳腺解剖及影像学检查详细汇总 心胸系统文章汇总(132篇) 全网最全全身X线高清图谱
![]()
更多精彩医学影像内容,尽在鼎湖影像 权威医学影像公众号,欢迎您的关注↓↓
↓↓ 欢迎进入鼎湖学堂




