心脏内肿瘤较为罕见,其中心房黏液瘤是最常见的原发性心脏肿瘤。瘤内出血在黏液瘤患者中很少见,而肿瘤呈现血球样外观更是首例报道。准确诊断此类肿瘤对制定合理治疗方案至关重要,本文将详细介绍该病例的诊疗过程。
患者为75岁男性,既往身体健康,5个月前开始出现劳力性呼吸困难。
心脏轮廓轻度增大。
窦性心律伴二尖瓣型P波(图1)。
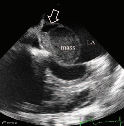
发现一个5.4×3.9厘米的低回声肿瘤,该肿瘤脱垂穿过二尖瓣,导致左心室流入道梗阻(图2;视频I)。肿瘤质地柔软、表面光滑,有蒂起源于房间隔。
图2
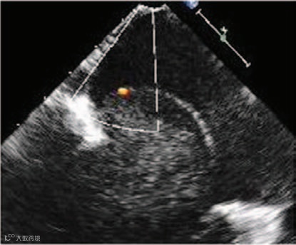
显示肿瘤内部有动态烟雾样回声(提示存在自发显影,图3;视频I)。M型超声显示肿瘤在收缩期两次回弹至左心房腔,产生M形信号(图4;视频II),提示肿瘤内部充满液体而非凝血,呈现血球样外观。彩色多普勒显示有血流流入(图5)和流出肿瘤(图6),且主要发生在舒张期(图7和8;视频III),提示血供来源于冠状动脉。
图3
视频1
图4
视频2
图5
图6
图7
图8
视频3
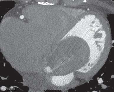
证实肿瘤脱垂以及进入肿瘤的血流喷射(图9)。
图9
显示肿物边界清晰,有包膜,内部结构均匀,但未发现实性病变(图10和11)。以上检查均未显示肿瘤侵犯的证据,如房间隔不均匀或增厚,以及肿瘤向其他心腔延伸。
图10
图11
显示整个肿瘤有血液喷射和染色,由右冠状动脉的左心室分支供血(图12)。停止冠状动脉注射造影剂后,肿瘤染色仍持续30秒(视频IV)。
图12
视频4
术前怀疑为伴有瘤内出血的左心房黏液瘤。心脏内囊性肿物的鉴别诊断包括支气管囊肿、包虫囊肿、血栓、房室结囊性肿瘤、心脏内静脉曲张、闭合性房间隔动脉瘤和心内膜血囊肿。
紧急进行肿瘤切除术。由于肿瘤与房间隔附着广泛,采用双心房入路切除肿瘤,并用心包补片进行重建。术中结扎右冠状动脉的左心室分支。手术中发现肿瘤质地柔软,壁薄,在切除过程中破裂(图13和14),内部为液态血液,并发现冠状动脉血流进入肿瘤的针孔样入口(图15和16)。
图13
图14
图15
图16
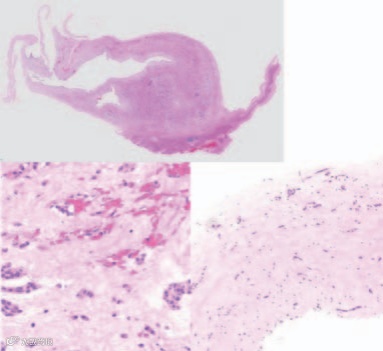
组织学检查显示,肿瘤主要由黏液瘤细胞和被黏液样基质包围的毛细血管组成(图16)。基质中可见一些出血,提示毛细血管易损。肿瘤壁层主要由黏液样物质和黏液瘤细胞组成。最终确诊为充满液态血液的左心房黏液瘤。
患者术后恢复顺利。
血球形成有两个原因,即供血动脉的脆弱性和肿瘤壁有足够大小的破裂口。供血动脉血管壁破裂可能导致肿瘤实质内出血,并促使肿瘤迅速增大。多数情况下,瘤内压力升高会阻止血液进一步进入,从而形成血栓。但本病例中,肿瘤壁的部分破裂阻止了瘤内压力升高、肿瘤进一步增大以及血栓形成。供血动脉和引流动脉的血流模式相似,表明肿瘤内部起到了右冠状动脉和左心房腔之间的被动管道作用,即破裂口使血液的流入和流出达到了平衡。
本病例中,肿瘤内部结构的特征对于准确诊断至关重要。自发显影提示肿瘤内部独特的液态而非凝血环境。此外,肿瘤产生M形信号的细微运动值得关注,这可能是由于内部液体成分比重不均所致。
·END·
精彩推荐:
力荐!医学影像专业必关注的8个公众号
全网最全的解剖图库,千万不要错过 300+神经、头颈系统超全影像文章汇总
全网最全头颅影像解剖学,不容错过(更新版) 全网最全大关节影像解剖,不容错过(更新版) 影像科急诊必备手册,必点收藏 脊柱、脊髓解剖及常见疾病汇总(41篇) 乳腺解剖及影像学检查详细汇总 心胸系统文章汇总(132篇) 全网最全全身X线高清图谱
![]()
更多精彩医学影像内容,尽在鼎湖影像 权威医学影像公众号,欢迎您的关注↓↓
↓↓ 欢迎进入鼎湖学堂






