子宫假性动脉瘤(uterine artery pseudoaneurysm,UAP)是产科严重的并发症,剖宫产是其最主要危险因素,顺产,流产等也是导致其发生的重要原因。由于UAP存在破裂大出血风险,直径超过3cm的瘤体一般需要尽早处理,随着介入放射学的发展,子宫动脉栓塞(uterine artery embolization UAE)被广泛应用于该种疾病的治疗。一般而言,除了子宫动脉栓塞术,还可以采用宫腔填塞压迫止血以及外科动脉结扎或者子宫切除等方法。其实,介入超声引导下瘤腔内凝血酶注射治疗也是其重要治疗方法之一,具有成功率低,费用低,创伤小的特点,亦适用于UAE治疗失败的患者。
该技术是在超声引导下直接向假性动脉瘤腔内注射凝血酶。凝血酶通过将无活性的纤维蛋白原转化为纤维蛋白发挥作用,凝血酶与血液接触会立即形成血栓。注射技术必须非常精细,因为凝血酶进入其他动脉会导致血栓形成和缺血并发症,这是该技术的主要风险和缺点,其他报道的不良反应是凝血酶过敏反应的风险。
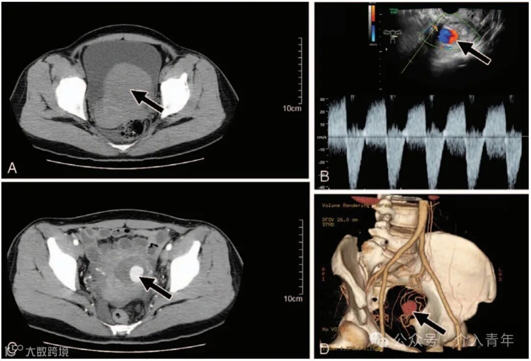
图1:一名47岁患者在腹腔镜子宫肌瘤剔除术后出现子宫动脉假性动脉瘤。
(A)CT显示子宫下段左侧前壁有一个7.0厘米的浆膜下肌瘤(箭头);
(B)术后第19天彩色多普勒超声图像显示肌瘤剔除术后瘢痕处有漩涡状血流(箭头);
(C)CT显示子宫内有强化的假性动脉瘤囊状结构(箭头);
(D)三维计算机断层扫描血管造影显示假性动脉瘤起源于左侧子宫动脉(箭头)[1]。
图2:子宫假性动脉瘤的经阴道超声检查。
(A)经阴道横切面超声图像显示子宫右上段肌层紧邻子宫内膜带处存在无回声假性动脉瘤。
(B)经阴道横切面彩色多普勒超声图像显示假性动脉瘤内典型的“阴阳征”。
(C)频谱多普勒分析显示来白右侧子宫动脉的主要供血动脉的动脉波形。
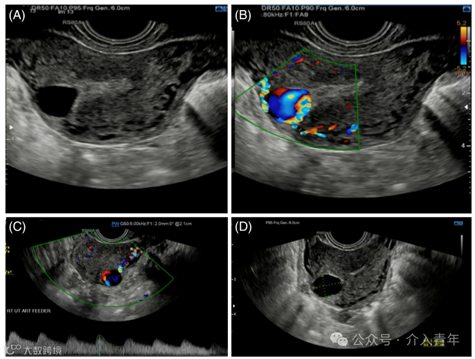
图3:图2患者行经阴道超声(TVUS)引导下凝血酶注射。
(A)经阴道横断面彩色多普勒超声图像显示,阔韧带处卵巢动脉分支供血的假性动脉瘤。
(B)TVUS引导下凝血酶注射。黑色线代表Chiba针的穿刺路径,其针尖(箭头)位于假性动脉瘤内(星号)。
(C)经阴道横断面超声图像显示假性动脉瘤内有高回声凝血块(星号)。
(D)经阴道横断面彩色多普勒超声图像证实假性动脉瘤内无血流。
参考文献
Wu T, Lin B, Li K, Ye J, Wu R. Diagnosis and treatment of uterine artery pseudoaneurysm: Case series and literature review. Medicine (Baltimore). 2021 Dec 23;100(51):e28093.
Shetty GS, Kamath GD, Srinivasan P. Transvaginal ultrasound-guided direct thrombin injection for the treatment of intramyometrial pseudoaneurysm in a young female with uterine hemorrhage after failed uterine artery embolization. J Clin Ultrasound. 2021 May;49(4):385-389.
·END·
精彩推荐:
力荐!医学影像专业必关注的8个公众号
全网最全的解剖图库,千万不要错过 300+神经、头颈系统超全影像文章汇总
全网最全头颅影像解剖学,不容错过(更新版) 全网最全大关节影像解剖,不容错过(更新版) 影像科急诊必备手册,必点收藏 脊柱、脊髓解剖及常见疾病汇总(41篇) 乳腺解剖及影像学检查详细汇总 心胸系统文章汇总(132篇) 全网最全全身X线高清图谱
![]()
更多精彩医学影像内容,尽在鼎湖影像 权威医学影像公众号,欢迎您的关注↓↓
↓↓ 欢迎进入鼎湖学堂






