放射科发生心肺骤停虽然罕见,但可能致命。近日,一段发生放射科机房外的紧急救援视频在网络上悄然走红,引发了广泛关注和讨论。
视频中这名最先开始抢救的医护正是我们同行 — 一名放射技师!这也告诉我们:
放射科工作人员在遇到突发情况时,沉着冷静、正确判断、及时处理非常重要,能救命!
事件回顾
各位影像同仁们,假如你在夜间值班的时候,患者突发意外昏迷不醒,而此时机房里只有你一个人,该怎么办呢?
或许我们可以看看热搜里这位放射技师的处理。
7月2日晚9点半左右,大朗医院放射科的走廊上,依旧有不少患者在候诊。一名男性患者突然倒地,手肘不停抽搐。
此时正在DR机房值班的放射技师黄礼娟,听到外面传来“有人倒地了,快来人”的呼喊。没有丝毫犹豫,她立即开门,见状与同时值班的护士迅速启动医院应急预案,联系医院急诊科。
但患者的情况急转直下,抽搐停止后,陷入昏迷,呼之不应,胸部没有了起伏,颈动脉也触摸不到搏动。
“是心跳呼吸骤停!”
黄礼娟立刻做出判断,随即迅速为患者实施心肺复苏。边施救边寻求急诊的帮助,急迫的救助声回响在放射科走廊!由于急救及时,该患者在放射科便恢复了意识。
急诊科团队接手后,迅速实施电除颤、气管插管和呼吸机辅助,患者生命体征初步恢复。接诊医生结合心电图判断为急性心肌梗死,医院迅速启动绿色通道,争分夺秒为患者进行血管开通手术,从患者倒地到成功开通血管,整个过程仅用了50多分钟。
事后,面对采访,咱们的同行技师表示:
“当时什么也没想,就想赶紧抢救,为患者争取时间,等着急诊科医生过来接手。”
当晚参与抢救的放射科护士和技师
图片来源 | 东莞市卫健局
放射科“生死时速”大抢救
想必各位影像同行都经历过心肺复苏的培训、患者突发心脏骤停应急预案演练,但医技科室不是临床急救的主战场,急救力量相对较为薄弱,有真实的心肺复苏临床实践者还是少数。
这次事件中,从当值技师发现到急诊接手心肺复苏,大家看到的只是视频中短短的几十秒,看不到的是十年功,“生死时速” 大抢救,黄医生沉着冷静且正确地处理,成功从 “死神” 手中抢人回来,对于抢救当事人来说,挽回生命的同时也意义非凡,患者家属及网友们也连连称赞,救死扶伤在这一刻具象化。
网友一致点赞
这次的患者是幸运的,意外突发时候症状明显且被及时发现。如果患者是在CT扫描过程中突然心脏骤停,又该怎么识别呢?换言之,CT扫描过程中心脏骤停的影像学征象如何?
影像学上如何预知心脏骤停?
正好这里有一例CT扫描过程中图像显示即将发生心脏骤停迹象,经过及时干预成功复苏的案例。
这是一名男性患者,15岁,因车祸外伤入院,于放射科行腹部增强CT检查判断腹部器官损伤情况,由于患者烦躁不安,增强扫描前注射了镇静剂。
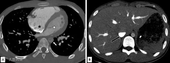
在CT扫描的动脉期,扫描技师发现图像右心室、下腔静脉和肝静脉造影剂汇集呈现高密度,相比之下,左心室和降主动脉的造影剂注入极少(图1)。
pic .1 该患者的CT增强图像横断面
(A) 增强CT图像显示造影剂在右心房和右心室积聚(黑星)。与右心室相比,左心室(白色星形)和降主动脉(白色箭头)中仅有少量造影剂。
(B) 动脉期显示造影剂在肝静脉中汇集,并在下腔静脉中分层(黑色箭头)。
由于这些征象,CT检查立即停止。经过非常快速的临床评估后,在场医生们对患者进行了心肺复苏。3分钟后,患者出现自主循环,转回重症监护室进行进一步复苏。
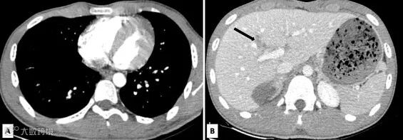
30分钟后,该患者重新进行腹部CT增强扫描。在第二次腹部CT上,心脏的功能性血泵正常,并可以观察到肝脏损伤(图2)。
pic.2
(A) CT增强动脉期显示2个心室和主动脉均匀强化。
(B) 门静脉期显示肝脏内有少量强化且不规则的区域,与撕裂伤相符(黑色箭头)。
患者经治疗后恢复良好,并于第15天出院。
小结
CT增强扫描期间心脏骤停的特征性影像学征象:
右侧附属部分(包括静脉系统和肝右叶)造影剂汇集、分层;
而左心、主动脉极少甚至没有造影剂注入。
从血流动力学角度来看,即将发生心脏骤停时,由于左心泵血功能丧失,血流减慢,动脉压和静脉压急剧下降,循环系统正常的动-静与静-静压力梯度消失。因此,比血液重的对比剂会沉积在身体右侧的循环部分,主要是上、下腔静脉系统。
随着增强CT的使用越来越多,心脏骤停被发现的几率会越来越高,这就需要放射科技师和医生注意这些迹象,尤其是危、重、急患者,扫描期间需要时刻保持警醒,一旦发现 “右白左灰” 特征,需要立即识别、终止扫描并启动复苏!
Le T D, Than V S, Nguyen T H A. A survival after cardiac arrest during CT scan: The critical imaging findings[J]. Radiology Case Reports, 2022, 17(2): 373-375.
·END·
精彩推荐:
力荐!医学影像专业必关注的8个公众号
全网最全的解剖图库,千万不要错过 300+神经、头颈系统超全影像文章汇总
全网最全头颅影像解剖学,不容错过(更新版) 全网最全大关节影像解剖,不容错过(更新版) 影像科急诊必备手册,必点收藏 脊柱、脊髓解剖及常见疾病汇总(41篇) 乳腺解剖及影像学检查详细汇总 心胸系统文章汇总(132篇) 全网最全全身X线高清图谱
![]()
更多精彩医学影像内容,尽在鼎湖影像 权威医学影像公众号,欢迎您的关注↓↓
↓↓ 欢迎进入鼎湖学堂





