带宽↓ → 信噪比↑;带宽↑ → 扫描时间↓;
你是不是很矛盾,很茫然?
不想看理论部分,直接拉到文章最后!
什么是带宽(接收带宽)
接收带宽(Bandwidth)是磁共振成像中在频率编码方向上信号接收的总频率范围(非特定的值),直接影响图像质量、伪影和成像时间。
不同厂商的表示方法
- 部分设备
:显示半带宽(参数界面值 × 2 = 总带宽),新版本给出了像素带宽 - 其他厂商
:显示像素带宽(Hz/像素)
换算关系
-
总带宽 = 像素带宽 × 频率编码矩阵 -
像素带宽 = 总带宽 / 频率编码矩阵
核心物理公式
- 2Δυ
:总带宽(Hz) - γ/2π
:旋磁比(42.6 MHz/T) - Gx
:读出梯度场强(T/m) - Lx
:频率编码方向FOV(m) 根据这个公式可大致算出我们所使用MRI设备的梯度性能!
接收带宽对我们扫描带来哪些影响?
①信噪比(SNR)
-
SNR ∝ 1/√带宽 -
误区:盲目的追求相对信噪比,过度降低带宽来提升SNR。有时候“适得其反”,MRI参数间的相互制约和影响,会牺牲图像其他关键指标,使图像变得更差。 -
实际工作中需平衡SNR与伪影控制,可通过调整其它参数来增加SNR。
②时间
带宽通过以下因素影响TE/回波间隔(ESP),直接影响最短TE,回波间隙,最终影响成像时间。
-
采样时间(带宽↑ → 采样时间↓) -
梯度爬升/回落时间(带宽↑ → 梯度场强↑ → 爬升时间↑) -
频率编码矩阵大小。
拐点现象:并不是随着带宽的无限增加,其成像时间就会越短。带宽增至某临界值后,TE/ESP因梯度性能限制反而延长。
③伪影
- 化学位移伪影
:位移像素数 = 水脂频差 / 像素带宽 - 扩散加权成像(DWI)
:相位编码方向伪影取决于回波间隙(ESP) - 磁敏感伪影
:带宽↑ → 伪影↓;场强↑ → 伪影↑ 可参考:MRI中那些实用的数值与计算方法!
|
|
|
|
|
|---|---|---|---|
|
|
|
|
|
|
|
|
|
|
|
|
|
|
|
|
|
|
|
|
带宽与系统性能
-
通过带宽和FOV估算实际梯度场强。 - 临床最大梯度
由最小FOV反推,通常低于工程值。 -
梯度性能决定最小ESP。
优化原则
-
对比度优先于相对SNR -
高场强使用更宽带宽 -
平衡TE/ESP与伪影控制 -
考虑序列特定需求 -
与其它参数协同,避免极端带宽设置
哪些情况建议使用高宽带?
-
3T常规扫描带宽较1.5T更宽。 -
骨关节成像用高带宽 -
获取更短TE、TR以及回波间隙 -
金属植入物用最高带宽 -
易运动部位应平衡SNR与运动伪影
宽带宽+长回波链可使脂肪更亮,获得更优异的组织对比图像。如在盆底脏器的扫描中常使用该方式来突出对比。
对运动较为敏感的序列,不宜使用过窄的带宽扫描。如常用的水脂分离技术序列,运动“冻结”序列等。
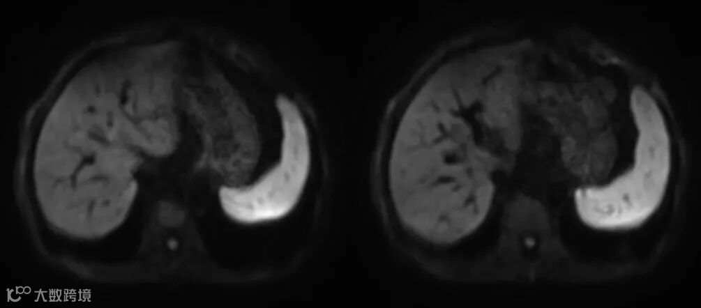
在对有复杂运动部位的扫描中,难以通过补偿技术(或未使用补偿技术)改善其运动伪影时,建议使用较宽的带宽扫描。如对于腹、盆脏器的蠕动时。
在实际临床扫描中对于一些特殊的成像序列通常使用高带宽才能更好抑制其磁敏感伪影,如稳态序列,平面回波DWI序列等。
在对有金属植入物的扫描中,采用高带宽可有效改善其磁敏感伪影导致的变形失真,如高带宽+STIR的方式。
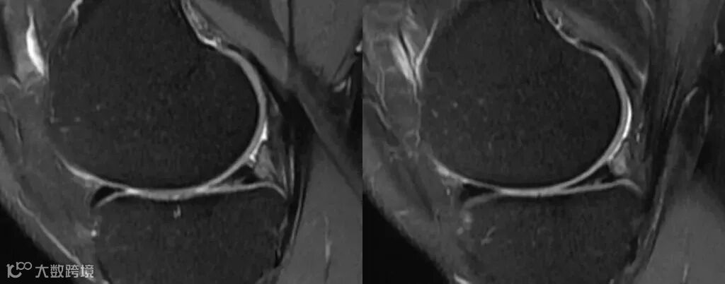
如在评估关节软骨及细微结构时,需要关注的重点则是如何保留更丰富的对比信息,减少模糊伪影,则建议使用高带宽来减小回波间隙,以达到改善模糊效应保证细节对比的目的。
实际扫描中会涉及到很多改善磁敏感伪影和运动伪影的技术,在应用这些技术时不宜采用过窄的带宽。如在使用抗运动伪影的螺旋桨/风车/刀锋序列来改善其伪影时建议采用高带宽。
在非压脂或压脂不理想的图像上,由于水脂的频率差异易产生较为明显的化学伪影伪影。当这类伪影严重影响对图像的判读时,则建议使用高带宽来改善这类化学位移伪影。
这情况往往针对一些对扫描参数有极限需求的序列,如带宽与最小扫描FOV间的协同;获得更短的TE/TR值以及回波间隙等。这些极限值的使用不但可以缩短成像时间;减少质子失相位;减小错误相位积累;同时还可以达到改善相应伪影的目的。特别是对于那些需要实现最短TE,TR的序列,其带宽对其图像质量带来的影响巨大。
接收带宽优化核心要点
接收带宽是MRI参数优化的核心变量,合理的接受带宽可以保证更短的TE值和回波间隙,减小信号采集的时间跨度,从而有效提升采集效率,减少信号损失,避免相位过多的累计错误,改善伪影等。在实际扫描中,带宽的设置需平衡多项指标:
带宽设置
3T带宽比1.5T的1更高(1.5~2倍),高场强需更高带宽抑制伪影
序列优化
EPI用最大带宽,FSE平衡带宽与回波链长度
避免误区
不盲目降低带宽换取SNR,考虑TE延长的影响
临床应用
根据检查部位和场强以及实际的临床需求选择最优带宽
参考文献:
杨正汉, 冯逢, 王霄英. 磁共振成像技术指南——检查规范,临床策略及新技术(修订版)[J]. 中国医学影像学杂志, 2010, 04(v.18;No.89):26-26.
张英魁,黎丽,李金锋. 磁共振成像系统的原理及其应用[M]. 北京大学医学出版社, 2021.
公众号,天师论道.
公众号,机趣西医。
·END·
精彩推荐:
力荐!医学影像专业必关注的8个公众号
全网最全的解剖图库,千万不要错过 300+神经、头颈系统超全影像文章汇总
全网最全头颅影像解剖学,不容错过(更新版) 全网最全大关节影像解剖,不容错过(更新版) 影像科急诊必备手册,必点收藏 脊柱、脊髓解剖及常见疾病汇总(41篇) 乳腺解剖及影像学检查详细汇总 心胸系统文章汇总(132篇) 全网最全全身X线高清图谱
![]()
更多精彩医学影像内容,尽在鼎湖影像 权威医学影像公众号,欢迎您的关注↓↓
↓↓ 欢迎进入鼎湖学堂






