哥伦比亚总统府当地时间6月7日晚发表声明,由于该国39岁右翼总统候选人、参议员乌力贝(Miguel Uribe)当天下午遭枪击,情况危急,此事件引发国际广泛关注,报道称其头部及胸部遭受枪击。
此类枪击伤常因高速投射物的动能传递造成复杂的组织损伤,影像学检查是评估伤情、指导救治的重要手段。
枪击伤的损伤程度取决于子弹类型(如手枪弹、步枪弹)、口径、速度及入射角度。高速子弹(>800 m/s)除直接穿透组织形成“永久伤道”外,还会产生冲击波导致周围组织震荡,形成“瞬时空腔”,引发间接损伤。影像学检查可重点评估:
弹道轨迹与组织破坏范围
异物(子弹碎片、衣物残渣)残留
继发性损伤(血肿、气胸、感染等)
头部枪击伤死亡率极高,影像学需快速定位脑实质损伤、出血及异物。
CT检查是颅脑枪击伤的首选影像学检查方法,影像学表现分为直接征象和间接征象:
颅骨骨折:多为贯通性或粉碎性骨折,骨折线沿弹道延伸,可见骨碎片移位。
脑内血肿:弹道周围常伴发局灶性出血,表现为高密度影,周围可见水肿带(低密度区)。
气颅:子弹带入的空气在颅内形成低密度影,提示开放性损伤。
异物残留:子弹或碎片呈高密度金属影,需警惕铅中毒风险。
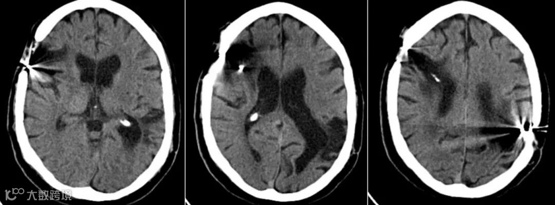
男,30岁,子弹从右向左移动,伴有颅骨骨折、脑挫、裂伤,脑内气肿、脑室积血、弥漫性脑水肿及多发弹片残留。
脑室受压、中线移位提示颅内压升高;
蛛网膜下腔出血表现为脑沟、脑池内高密度影。
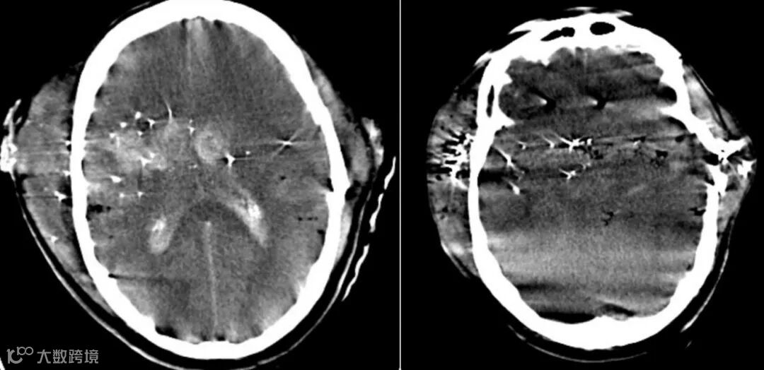
女,40岁,几年前面部曾遭猎枪击中,之后昏迷了5个月,近期头痛加剧。头颅CT示霰弹枪子弹主要位于脑表层。一些子弹穿透了颅骨,位于左额叶、左视神经管附近和右尾状头部。
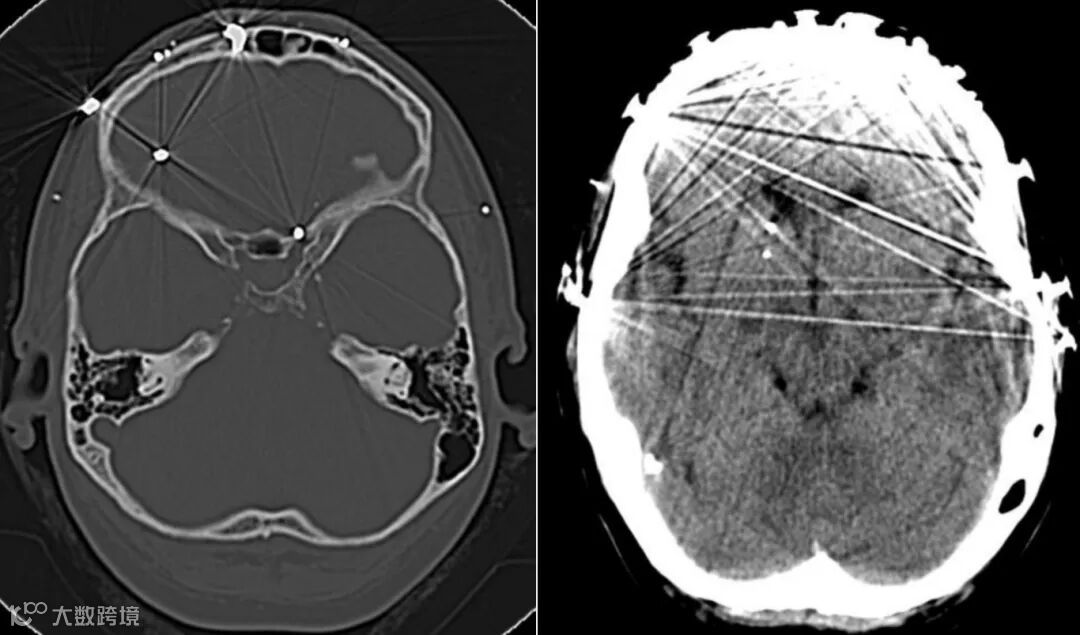
男,77岁,复发性头痛。33年前头部曾遭受非致命性枪击。CT见穿过两个半球的弹道轨迹、神经胶质增生和多个子弹碎片。
胸部枪击伤可累及胸壁、肺、心脏及大血管,影像学需快速排查致命性损伤。
X线胸片是枪击伤的初步筛查手段,可显示:
气胸/血胸:肺野透亮度增加(气胸)或肋膈角变钝、胸腔积液(血胸);
弹道轨迹:若子弹未穿透胸壁,可见金属异物影;
肋骨骨折:多为粉碎性,需注意骨折端是否刺破肺组织。

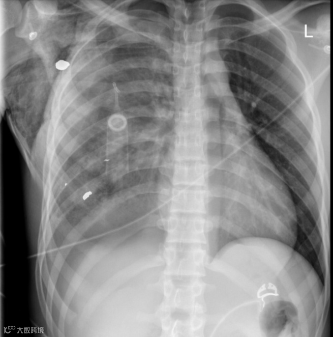
男,17岁,右侧胸腔遭枪击后,右侧胸部高密度子弹碎片,右胸腔中度血气胸,海姆立克瓣膜胸腔引流术后,伴有皮下气肿,纵隔左移。
CT扫描可精准评估肺损伤、心血管损伤及定位异物:
肺挫伤:弹道周围斑片状磨玻璃影,边界模糊;
肺裂伤:表现为含气或含血的囊腔,可伴血气胸。
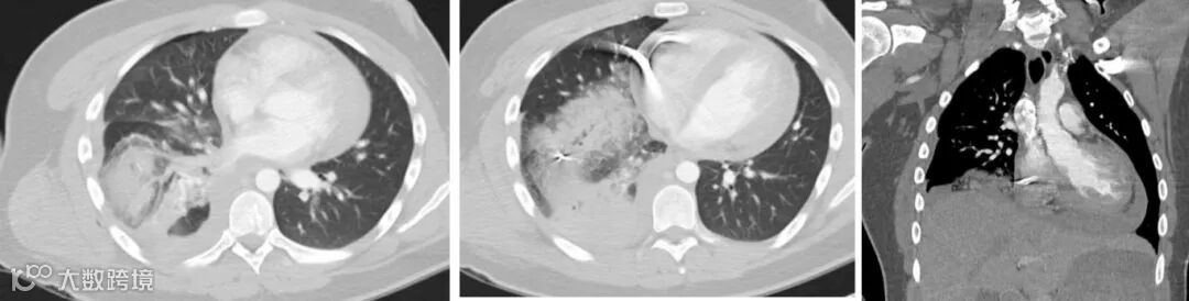
年轻男性,右侧胸部枪击伤。CT示右胸腔内金属弹片,右肺条带状线性实变影,病变与子弹轨迹吻合,与肺部撕裂和出血相符。右胸壁可见皮下气肿。
心脏破裂:心包积血(CT平扫呈高密度影),增强扫描可见对比剂外溢;
大血管损伤:主动脉或肺动脉壁连续性中断,伴纵隔血肿。

男,25岁,右胸枪击伤,右肺挫裂伤,右侧血气胸,弹片损失心包,出现心包积血。
CT三维重建可明确子弹或碎片与重要结构的关系。

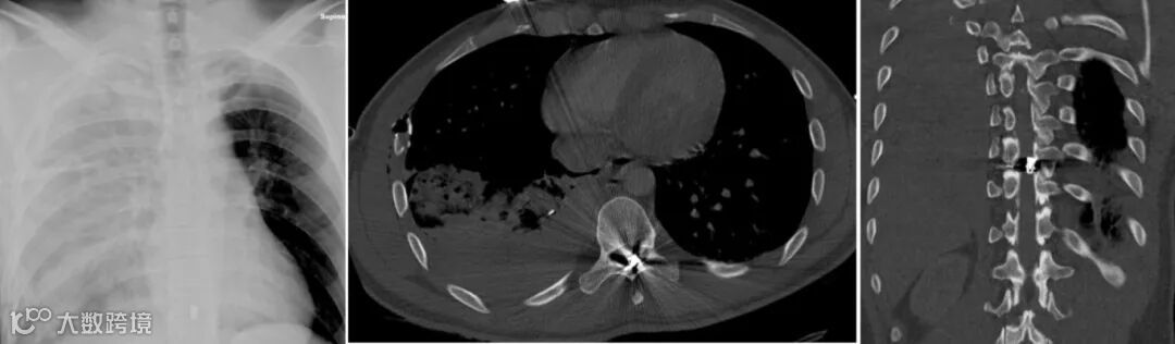
男,30岁,右胸壁枪伤。CT扫描结果显示子弹进入椎管。子弹的轨迹导致右侧肋骨骨折,并导致肺出血和血气胸。
男,30岁,枪击伤口入口位于左侧第四肋间隙处,无出口伤。患者随后出现右下肢缺血征象。 术中血管造影显示弹丸头部栓塞至右髂动脉。
哥伦比亚总统候选人的枪击事件再次警示枪伤的严重性。据法新社波哥大8日电,该候选人已成功接受首次手术,已经成功接受首次手术,这位候选人无疑是幸运的。
我国《枪支管理法》的严格实施、严密的治安防控,从源头上降低了枪击伤的发生率,让“枪击”这类词汇更多停留在新闻报道的国际版块;影像学研究的社会价值更多体现在“应急储备”与“经验沉淀”层面。
参考文献
https://radiopaedia.org/cases/gunshot-injury-to-chest
·END·
精彩推荐:
力荐!医学影像专业必关注的8个公众号
全网最全的解剖图库,千万不要错过 300+神经、头颈系统超全影像文章汇总
全网最全头颅影像解剖学,不容错过(更新版) 全网最全大关节影像解剖,不容错过(更新版) 影像科急诊必备手册,必点收藏 脊柱、脊髓解剖及常见疾病汇总(41篇) 乳腺解剖及影像学检查详细汇总 心胸系统文章汇总(132篇) 全网最全全身X线高清图谱
![]()
更多精彩医学影像内容,尽在鼎湖影像 权威医学影像公众号,欢迎您的关注↓↓
↓↓ 欢迎进入鼎湖学堂





