来源:东南大学附属中大医院放射科
病例
性别:女 年龄:69岁
主诉:左侧面部麻木5年余,加重伴肿胀1月余
现病史:患者5年前出现无明显诱因左侧面部麻木,至当地医院检查发现左侧鞍旁占位,予定期复查,未予特殊处理。1月前患者出现左侧面部麻木伴肿胀阵发性加重,遂至当地医院查头颅MR示:左侧鞍旁肿瘤,33x29mm,较前增大,多发陈旧性腔隙性脑梗死。头颅CT示:颅底介入术后改变。现患者为求进一步诊治至我院就诊,门诊拟“左侧鞍旁占位性病变”收住入院
既往史:自诉4年前于当地医院行脑动脉介入栓塞术
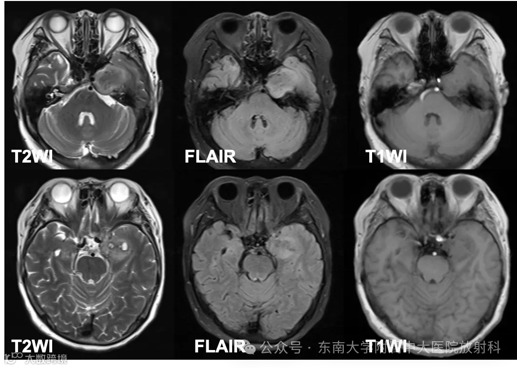
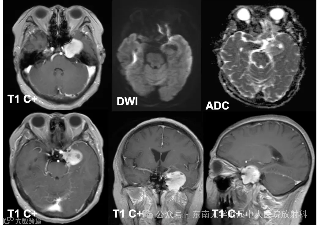
影像学表现
·END·
精彩推荐:
力荐!医学影像专业必关注的8个公众号
全网最全的解剖图库,千万不要错过 300+神经、头颈系统超全影像文章汇总
全网最全头颅影像解剖学,不容错过(更新版) 全网最全大关节影像解剖,不容错过(更新版) 影像科急诊必备手册,必点收藏 脊柱、脊髓解剖及常见疾病汇总(41篇) 乳腺解剖及影像学检查详细汇总 心胸系统文章汇总(132篇) 全网最全全身X线高清图谱
![]()
更多精彩医学影像内容,尽在鼎湖影像 权威医学影像公众号,欢迎您的关注↓↓
↓↓ 欢迎进入鼎湖学堂






