头颅增强的核心目标是在注射对比剂后,最大化地显示血脑屏障破坏区域(如肿瘤、炎症、感染、转移瘤)、血管结构(如动脉瘤、血管畸形)以及脑膜病变的异常强化。
头颅增强虽然看似最为常见的、最为简单的扫描,但其增强序列的规范性和统一性并不及其它部位。你会发现有的医院采用的是2D,也有的医院采用的是3D;有的医院采用的是梯度回波序列,也有的医院采用的则是自旋回波序列;不统一的原因可能:
1.没有可以选择的序列。
2.无法接受序列的对比。
3.序列扫描效率低。
4.序列难以结合或无法结合脂肪抑制技术。
头颅增强可以用哪些序列?
头颅增强可选择的序列非常多,有2D,也有3D;有自旋回波类也有梯度回波类。那么,你们常规采用的什么序列?
2D:自旋回波还是梯度回波。T1WI?T1WI IR(T1 FLAIR),SPGR?
3D:自旋回波还是梯度回波。TFE?BRAVO?MP-RAGE?SPACE?CUBE?VISTA?
2D:传统的主力。
2D可以做到与平扫同序列、同层面,这样有利用前后的对比。但2D的扫描层厚较厚,并不利于微小病灶的显示与检出。
- 该序列应用的最多,磁敏感伪影小,灰白质对比好,在该序列上实现压脂也方便,施加压脂后成像时间增加不明显。
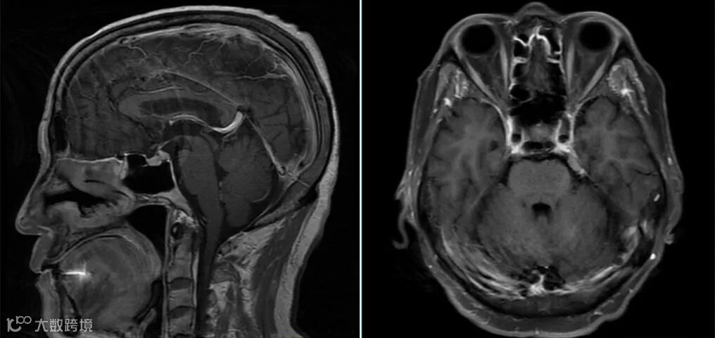
- 但该序列注射对比剂后,横、矢、冠三个方位上血管搏动伪影都非常大,并不利用血管层面及颅底区域病变的显示与判读。如上图△。
- 同时,有的医院为了增加灰白质对比(特别是3.0),采用的是T1WI IR(T1 FLAIR)序列,该序列由于反转模块的存在,可能存在抑制某些特定T1值组织的风险,造成漏误诊。
- 该序列可以做到增强前后同序列、同层面、同对比,如上图△。这也是很多医院坚持使用该序列增强的原因之一。
- 我们需要明确的是:增强后最重要的并不是灰白质对比度,而是对强化病灶的显示和检出能力,所以在颅脑的增强扫描中应尽量避免使用IR序列扫描。
- 该序列较2D自旋回波序列,可在一定程度上改善血管搏动伪影。如上图△,该扰相梯度回波T1WI序列上并未见明显血管搏动伪影。
- 同时梯度回波序列成像速度快,适宜于需要快速成像或配合不佳的患者。
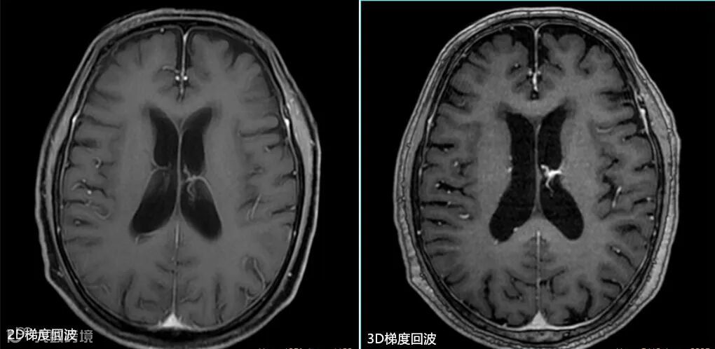
- 但该序列磁敏感伪影较重,图像灰白质对比也不及自旋回波序列,特别是采用压脂后其图像对比明显下降。如上图△,2D T1自旋回波序列与2D T1扰相梯度回波序列的比较。
- 同时,平扫采用的自旋回波T1WI序列,而增强采用梯度回波T1WI序列,前后图像对比不一致,很多诊断医师难以接受。
- 该序列在日常的头颅增强扫描中应用的相对较少。
3D:目前的主流。
-
相较于横轴位和冠状位,矢状位的成像模块更小,成像效率更高。 -
可在头/足(上/下)方向包括更多解剖组织结构,显示更宽的范围。 -
可有效避免3D序列的卷褶伪影卷入成像层面内。
-
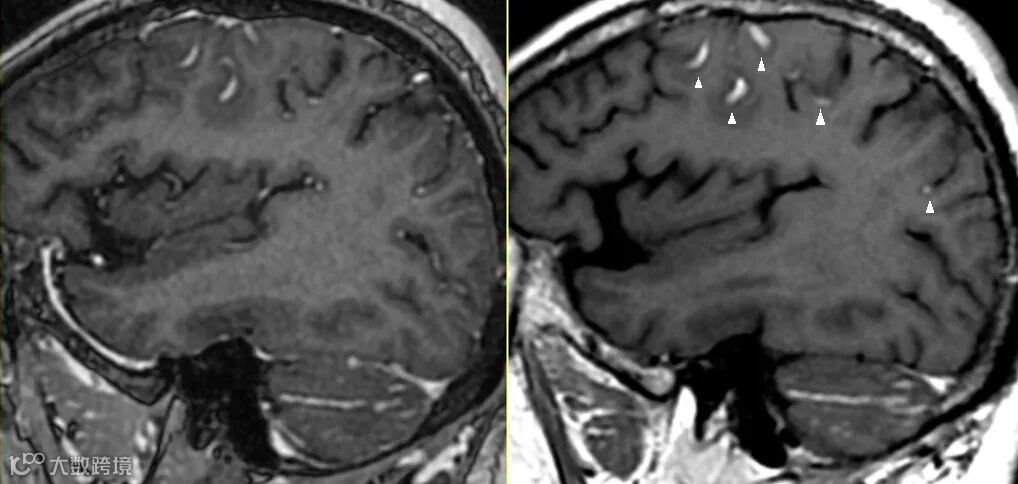
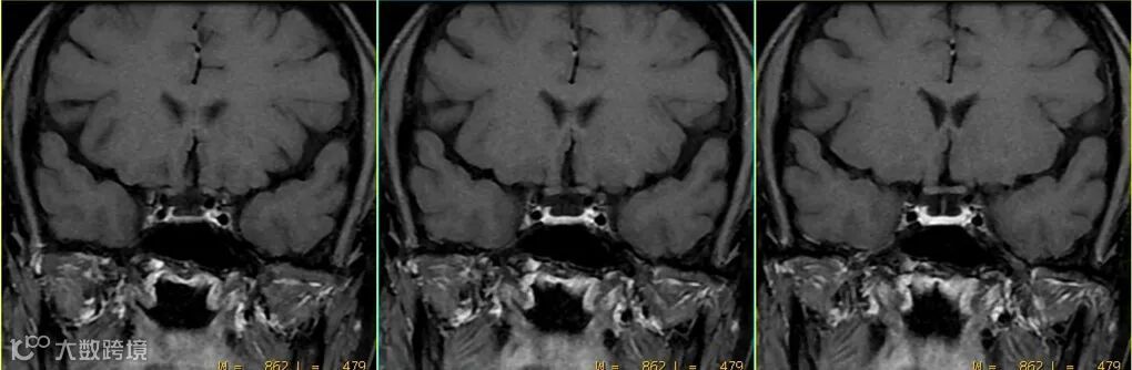
该类序列成像时间较短,同时,加入了反转模块后的3D梯度回波序列较2D的梯度回波序列灰白质对比更好,在显示灰白质结构方面具有优势,其在头颅增强中的应用较为广泛。如上图△,2D T1扰相梯度回波序列与3D磁化准备梯度回波序列的比较。 -
但其有反转模脉冲同样面临抑制某些特定T1值组织的风险,不能有效检查强化病灶,导致漏误诊的发生。
-
但该序列上血管同样会呈现为高信号,并不利于血管与强化病灶间的鉴别。在3D T1梯度回波序列上血管呈高信号,并不利于与强化病灶的鉴别诊断,如上图△左所示病灶可能会被误认为血管信号。 -
同时,T1磁化准备序列难以结合脂肪抑制技术,不利于含脂丰富区域病变的显示与鉴别。
-
该序列虽然灰白质对比度不及磁化准备的3D T1梯度回波序列,但其增强后快速流动的血液呈现为低信号的“黑血”表现,更有利于血管与强化病灶间的鉴别。 -
如上一病例;图△左为3D T1磁化准备梯度回波序列,图右为3D可变翻转角的T1 自旋回波序列。
-
研究表明3D T1可变翻转角自旋回波序列较3D T1磁化准备梯度回波序列对病灶的检出率更高,对颅内强化病灶更敏感,如上图△,两者的扫描体素均为(1.0*1.0*1.0)mm。 -
特别是针对一些小结节病变如脑转移瘤更推荐使用3D T1可变翻转角自旋序列扫描。
-
3D 可变翻转角自旋序列更方便结合脂肪抑制技术,有利于颅底,眼眶、头皮等含脂丰富区域病变的显示与鉴别诊断。 -
虽然3D 可变翻转角自旋回波有很多优势,但该序列较3D磁化准备序列成像时间更长。
参考文献:
杨正汉, 冯逢, 王霄英. 磁共振成像技术指南——检查规范,临床策略及新技术(修订版)[J]. 中国医学影像学杂志, 2010, 04(v.18;No.89):26-26.
张英魁,黎丽,李金锋. 磁共振成像系统的原理及其应用[M]. 北京大学医学出版社, 2021.
公众号,天师论道.
·END·
精彩推荐:
力荐!医学影像专业必关注的8个公众号
全网最全的解剖图库,千万不要错过 300+神经、头颈系统超全影像文章汇总
全网最全头颅影像解剖学,不容错过(更新版) 全网最全大关节影像解剖,不容错过(更新版) 影像科急诊必备手册,必点收藏 脊柱、脊髓解剖及常见疾病汇总(41篇) 乳腺解剖及影像学检查详细汇总 心胸系统文章汇总(132篇) 全网最全全身X线高清图谱
![]()
更多精彩医学影像内容,尽在鼎湖影像 权威医学影像公众号,欢迎您的关注↓↓
↓↓ 欢迎进入鼎湖学堂






