脾脏是人体最大的淋巴(免疫)器官,具有造血、过滤、存储血液以及免疫应答的功能;其分为包膜、红髓(占脾脏2/3)、白髓。
发生于脾脏的病变较多,但其发病率较低,是常被影像医师“遗忘”的器官;同时,由于脾脏在MRI上的特异性信号表现特征,则对脾脏上病灶的检出和鉴别造成了一定的困难。
脾脏在MRI的表现:
T1WI信号低于肝实质,T2WI信号高于肝实质(接近于肾皮质);
在DWI上呈明显高信号。
动脉期不均匀显著强化,门脉期以后均匀强化。
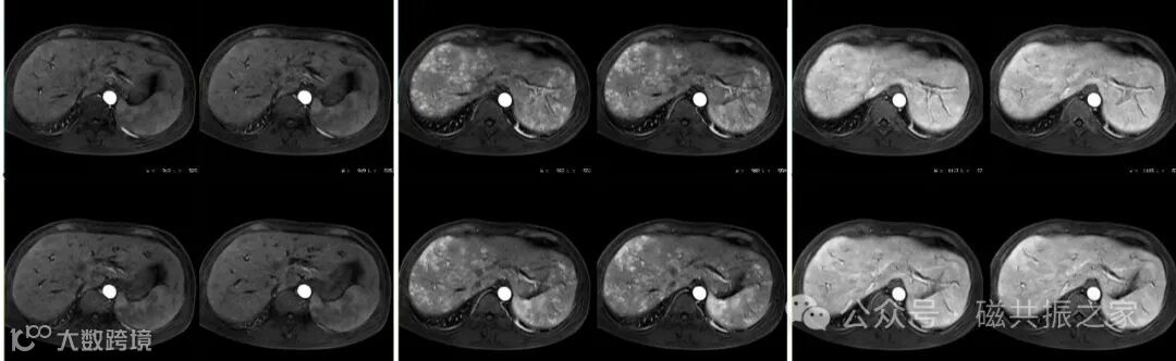
动脉期呈花斑样强化,门脉期以后呈均匀强化,上图△,分别为动脉早期,动脉晚期,门脉期图像。
动脉期呈花斑样强化是由于快速血流(小动脉血液直接进入静脉性血窦,90%)和慢速血流(小动脉血流经红髓迂曲纤维网状结构和白髓淋巴组织的边缘带后,再进入静脉血窦)共同作用的结果。
那么,为什么脾脏在DWI上总是呈明显高信号,是“扩散受限”?脾脏在DWI图像上表现为明显的高信号,主要是以下几个因素共同作用的结果:
一、脾脏本身呈长的T2弛豫时间
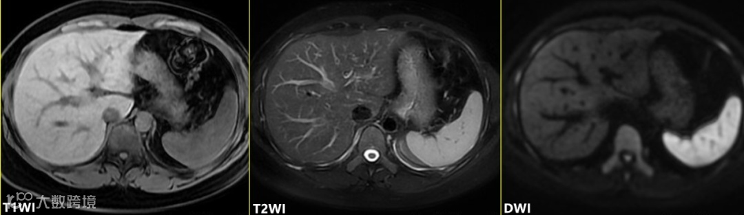
脾脏是一个血供极其丰富的器官,含有大量的“液体”。血液和细胞外液本身具有很长的T2弛豫时间。因此,脾脏在常规T2WI上本身就是显著高信号,如上图△1。
由于DWI序列是基于T2加权的参数的,这种固有的本底T2高信号会“透射”到DWI图像上,导致脾脏在DWI上即使在没有扩散受限的情况下也表现为高信号,如上图△2。
b值越小(腹部扫描中本身选取的扫描b值就不高),这种“透射效应”则表现得越明显,上图△3为b值=0的图像。
二、脾脏本身具有极高的细胞密度
脾脏的红髓和白髓都由密集排列的细胞组成。这种高细胞密度会在一定程度上限制水分子的自由扩散。
同时,脾脏的主要微观结构是血窦,是一种长杆状的内皮细胞平行排列而成的多孔隙栅栏状结构,这个孔隙大小在0.2-0.5um,水分子在血窦孔隙中的扩散并不满足自由扩散的条件,因此,脾脏DWI的高信号一部分是来自水分子在脾脏微观组织中的扩散受限导致的。从这个角度看,相较于肝实质,脾脏确实存在一定程度的“扩散受限”。但是,这种“受限”是生理性的,而非病理性的。它的程度不如恶性肿瘤或梗死灶那样显著。
三、血池效应
脾脏可以看作是一个巨大的“血池”,血液在其中流动相对缓慢。这种缓慢的血流和血液的灌注效应也会对DWI信号产生一定的影响,使其信号的增高。
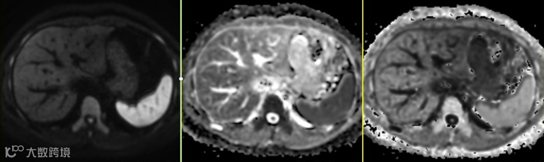
要区分脾脏的高信号是生理性的还是病理性的(如脾梗死、淋巴瘤、转移瘤),在选取正确的参照对比组织的同时,必须结合ADC图进行分析,上图△正常脾脏的DWI图像表现;分别DWI,ADC,eADC图像。
结论:
脾脏在DWI图像上表现为明显的高信号并不是病理性的“扩散受限”,而是由其独特的生理结构和细胞密度共同决定的。其主要原因是脾脏本身的长T2弛豫时间(T2透射效应);同时其高细胞密度也贡献了一部分生理性的扩散限制。在判读图像信号时,绝不能仅凭DWI上的高信号就诊断为异常的扩散受限,必须结合ADC图,确认是否存在ADC值明显降低,才能判断是否为真正的病理性扩散受限。
扩展阅读:
①DWI信号的本质:T2权重+扩散权重
DWI的信号强度不仅仅取决于水分子的扩散能力,它还会受到组织的T2弛豫时间的影响。可参考:小心DWI中的这几个“坑”!
②T2透射效应:如果一个组织本身的T2弛豫时间就很长(在T2WI上本身就是高信号),那么即使它的水分子扩散不受限,在DWI上也可能表现为明显高信号,此时,ADC图上的信号并不会降低,反而是正常或增高的。可参考:DWI成像中的技术要点-扫描篇!
·END·
精彩推荐:
力荐!医学影像专业必关注的8个公众号
全网最全的解剖图库,千万不要错过 300+神经、头颈系统超全影像文章汇总
全网最全头颅影像解剖学,不容错过(更新版) 全网最全大关节影像解剖,不容错过(更新版) 影像科急诊必备手册,必点收藏 脊柱、脊髓解剖及常见疾病汇总(41篇) 乳腺解剖及影像学检查详细汇总 心胸系统文章汇总(132篇) 全网最全全身X线高清图谱
![]()
更多精彩医学影像内容,尽在鼎湖影像 权威医学影像公众号,欢迎您的关注↓↓
↓↓ 欢迎进入鼎湖学堂






