50岁男性,因“不明原因发热3月余”就诊,体温最高达39.3℃,抗感染治疗无效。常规检查无特异性发现,但胸部CT竟未见异常!然而,随后的全身¹⁸F-FDG PET/CT却显示:双肺弥漫性高代谢(SUVmax 5.1),伴骨髓摄取轻度增高(SUVmax 3.1)。
图1中,MIP图(A1)显示双肺及全身骨骼均出现弥漫性糖代谢增高;横断位PET/CT融合图(A2)显示双肺存在弥漫性糖代谢增高;横断面CT图像(A3)显示同台设备的高分辨率CT扫描未见明显异常;MIP图(B1)显示患者治疗后全身糖代谢未见明显异常;横断位PET/CT融合(B2)显示PET/CT融合影像未见明显异常;横断面CT图像(B3)显示同台设备的高分辨率CT扫描结果。
实验室:铁蛋白 1132.37 ng/mL,CRP 115.38 mg/L
骨髓涂片:见噬血细胞现象
PET/CT引导下肺活检:弥漫大B细胞淋巴瘤(生发中心型)
免疫组化:CD20(+)、CD79a(+)、CD10(+)、Bcl-6(+)、Ki-67(70%+)
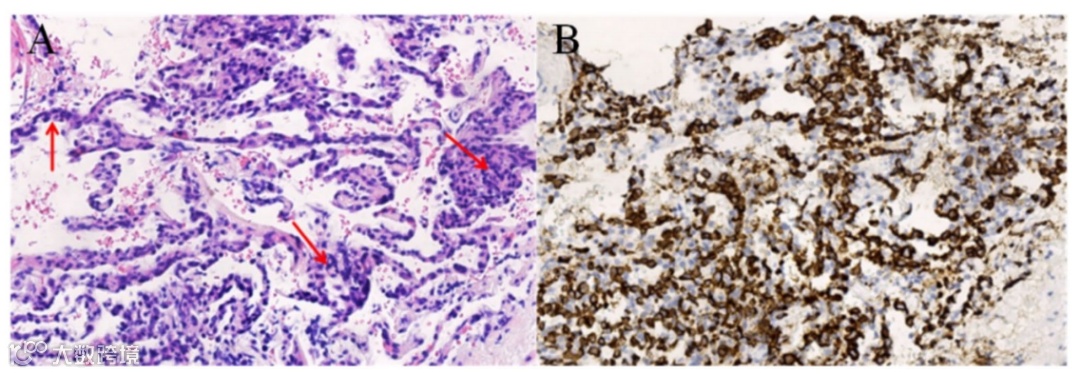
图2图(A) HE染色显示,大肿瘤性B淋巴样细胞浸润肺泡壁,破坏肺泡正常结构。图(B)免疫组化显示,肿瘤性非典型淋巴细胞中B淋巴细胞标记物CD20呈弥漫强阳性表达。
经4周期R-CEOP方案化疗后,复查PET/CT显示原高代谢灶完全消失,达到完全代谢缓解!
这一“影像分离”现象背后,隐藏着两个关键机制:
肿瘤浸润模式特殊
DLBCL细胞沿肺泡隔弥漫性浸润,尚未形成密度差异(低于CT分辨阈值),但瘤细胞高表达GLUT-1受体,导致FDG摄取显著升高。
HLH放大代谢信号
淋巴瘤触发的细胞因子风暴(IL-6、IFN-γ)激活巨噬细胞,增加血管通透性,促使更多FDG渗出至间质,进一步抬升PET信号。
这正是“代谢异常早于结构改变”的典型体现,也解释了为何患者发热3月却迟迟未能明确病因。
警惕矛盾组合:双肺弥漫性FDG摄取增高 + CT无明显异常 + HLH表现,应考虑PPL可能
活检定位原则:选择PET高代谢区域进行活检,即使CT表现正常
全身评估价值:PET/CT可同时评估骨髓及肝脾受累情况,为HLH病因寻找提供方向。
本例颠覆了“影像学异常为活检前提”的传统认知,凸显了PET代谢成像在早期识别间质浸润型淋巴瘤中的独特价值。当临床遇到“发热待查+炎症指标显著升高+CT阴性”的患者时,不妨尽早启动PET/CT检查,或许能揭开隐藏的淋巴瘤真相。
在HLH背景下,局灶性FDG摄取常提示恶性肿瘤可能,而弥漫性骨髓摄取伴脾肿大,更应警惕淋巴瘤相关HLH。
参考文献:
Dang, Na et al. “Case Report: Primary pulmonary lymphoma with CT negative and PET high metabolism combined with hemophagocytic syndrome.” Frontiers in medicine vol. 12 1665417. 9 Sep. 2025, doi:10.3389/fmed.2025.1665417.
·END·
精彩推荐:
力荐!医学影像专业必关注的8个公众号
全网最全的解剖图库,千万不要错过 300+神经、头颈系统超全影像文章汇总
全网最全头颅影像解剖学,不容错过(更新版) 全网最全大关节影像解剖,不容错过(更新版) 影像科急诊必备手册,必点收藏 脊柱、脊髓解剖及常见疾病汇总(41篇) 乳腺解剖及影像学检查详细汇总 心胸系统文章汇总(132篇) 全网最全全身X线高清图谱
![]()
更多精彩医学影像内容,尽在鼎湖影像 权威医学影像公众号,欢迎您的关注↓↓
↓↓ 欢迎进入鼎湖学堂






