病例1
-
女,65岁
-
主诉:发现肉眼血尿20余天
-
现病史:患者20天前发现肉眼血尿,为全程血尿,同时伴有左侧腰痛不适,可放射至胸部,给予止痛药后可缓解。外院查腹部CT提示:左肾盂囊实性肿块。无寒战发热,无头晕头痛,无腹痛腹泻,无排尿困难,无咳嗽、咳痰 影像号:
2025-02-01 泌尿系CTU成像 影像号:3355669
2025-02-05 中腹部MR平扫 影像号:3357390
影像学表现
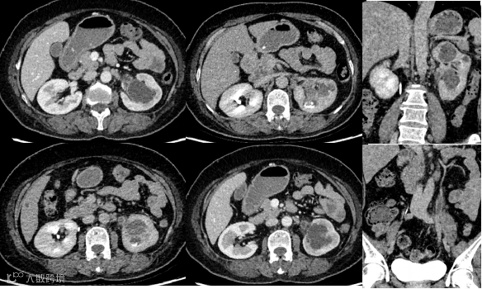
病例2
男,58岁
主诉:发现左肾结石并反复发热 3 周
现病史:患者 3 周前无明显诱因下出现左侧腰部阵发性绞痛伴午后发热,最高 38.4℃,至外院腹部CT平扫提示左肾囊肿,肾结石伴肾积水。于2024-02-18全麻下行肾囊肿穿刺,术中穿刺抽出脓性积液,培养结果未回。术后抗感染治疗后发热频率下降,热峰降低。无胸闷胸痛,无恶心呕吐,无血尿蛋白尿等。既往因泌尿系结石反复行结石手术
影像号:
2024-02-22 泌尿系CTU成像 影像号:3077348
影像学表现
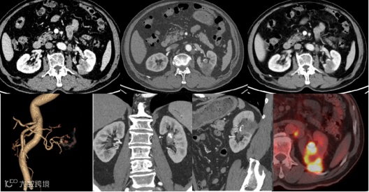
病例3
男,75岁
主诉:无痛性肉眼血尿半月
现病史:无明显诱因下肉眼血尿,无尿急尿痛,偶伴小血块,血尿间断发作,无排尿费力。无畏寒发热,无其余不适
影像号:
2022-12-28 PET-CT 影像号:PET221626
2023-02-06 肾动脉血管CTA成像 影像号:2717933
影像学表现
病例4
女,57岁
主诉:尿频尿痛 1 年
现病史:1年前无明显诱因下出现小便疼痛,偶有血尿,夜尿增多,2 次/夜,伴盗汗,下腹部不适,无明显发热,外院就诊提示 PPD 皮试强阳性,结核感染 T 细胞阳性,尿液中查见抗酸杆菌,尿 xpert 阳性,予抗结核治疗。患者小便不适症状改善不明显 ,且药物副反应严重
影像号:
2022-01-20 泌尿系CTU成像 影像号:2411807
影像学表现
·END·
精彩推荐:
力荐!医学影像专业必关注的8个公众号
全网最全的解剖图库,千万不要错过
300+神经、头颈系统超全影像文章汇总
全网最全头颅影像解剖学,不容错过(更新版)
全网最全大关节影像解剖,不容错过(更新版)
影像科急诊必备手册,必点收藏
脊柱、脊髓解剖及常见疾病汇总(41篇)
乳腺解剖及影像学检查详细汇总
心胸系统文章汇总(132篇)
全网最全全身X线高清图谱
更多精彩医学影像内容,尽在鼎湖影像
权威医学影像公众号,欢迎您的关注↓↓
↓↓ 欢迎进入鼎湖学堂





