病例
女性,77岁
主诉:上腹烧灼感1周余
现病史:患者近1周余偶有上腹烧灼感,偶有反酸,大便 2-3 次/日,成形色黄
胃镜检查:1.球降交界处粘膜隆起(性质待查) 2.胃体隆起(外压?) 3. 慢性胃炎急性活动
既往史:2019年于我院因结节性甲状腺肿行手术治疗,术后口服优甲乐,恢复可;2020-03-17在全麻下行右侧保留乳房的乳腺癌切除术,术后病理:浸润性癌病理分期:ⅡA(T2,sN0,M0)
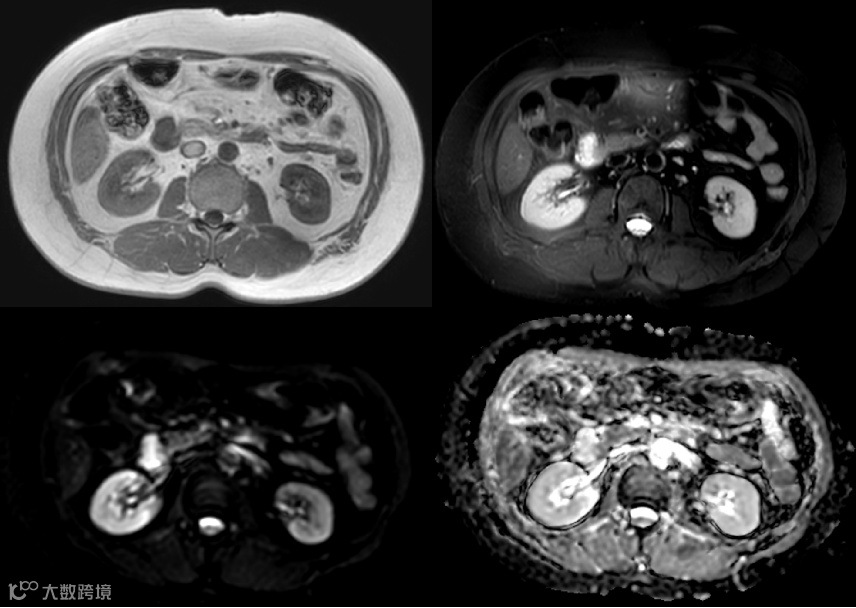
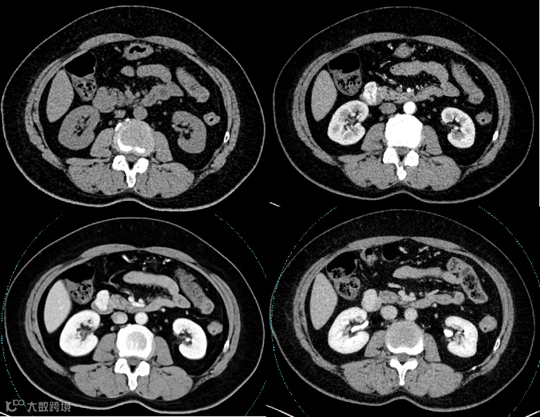
影像学表现
·END·
精彩推荐:
力荐!医学影像专业必关注的8个公众号
全网最全的解剖图库,千万不要错过 300+神经、头颈系统超全影像文章汇总
全网最全头颅影像解剖学,不容错过(更新版) 全网最全大关节影像解剖,不容错过(更新版) 影像科急诊必备手册,必点收藏 脊柱、脊髓解剖及常见疾病汇总(41篇) 乳腺解剖及影像学检查详细汇总 心胸系统文章汇总(132篇) 全网最全全身X线高清图谱
![]()
更多精彩医学影像内容,尽在鼎湖影像 权威医学影像公众号,欢迎您的关注↓↓
↓↓ 欢迎进入鼎湖学堂






