


目前使用的磁共振成像主要以氢核为基础,而多核磁共振则是可以探测多种不同元素组织的信号。本来磁共振就是多参数成像,而多核磁共振则是多维度多参数成像。未来期待可以开启磁共振的多核时代。
关键词:MN, multi-nuclear, MNS, MNI, UHF, ultrahigh field
磁共振成像关注我公众号的都比较熟悉。注:懋式百科全书原创文章并未在搜狐、网易、新浪、趣头条、360个人图书馆、百家号、东方头条发表,也未授权他们转载,如果读者发现很大可能性是机器自动抓取或者人工搬运,也就是说如果这些平台有同样的文章,就是未经授权的非法盗取,如果发现请举报。可能最近几年大家听到过一些名词,比如多核磁共振。
大家有没有思考过一个问题?我们目前使用的磁共振成像MRI,得到的灰度图像,到底反映的是什么信息?
有人可能会说,MRI的灰度图像就是代表信号强度啊。这个说法没错。
但是信号强度代表什么?什么的信号强度,得到的图像信息来源是什么?
简单来讲,我们先和其他影像成像比较。比如X线(DR)或者CT。
X线和CT成像主要是X射线穿透人体后,人体不同组织对X射线“吸收”不同,其衰减不同。最终图像得到的灰度图反映的是不同组织的密度和或厚度。
CT可以理解为断层的X射线,把图像切成一层一层,这样厚度信息就基本一致了。CT图像反映的就是组不同组织对于X射线的吸收。常规CT主要反映了组织的密度信息。
讲了这些,我们再来看看“多核”磁共振。所谓多核,那么肯定和传统的磁共振有不同。我们传统的磁共振并没有叫做单核?那么磁共振的信号来源基础是什么呢?我们得到的MRI图像反映的是人体什么组织的信息?
和所有影像成像手段一样,磁共振成像也需要一些必要的条件,包括介质,组织对比。
磁共振成像是基于核磁共振这个物理现象,那么这里就多了一个“核”字,nuclear。
这个核,代表的是原子核。曾经原子被认为是最小的不可分割的物质(粒子)。但是学过高中化学的老师都知道,原子是由原子核和核外电子组成。原子核由是有质子和中子组成(这个说法不严谨,因为1H就没有中子)。
磁共振成像的信号(或者叫信息)来源就是人体中的原子核。但是不是所有原子核都可以作为磁共振信号采集的。
原子核是一种微观粒子,微观粒子有一些其固有的属性,比如自旋spin。这里的自旋大家不要理解为一个类似于圆球形的原子核在那里自己旋转。实际情况不是这样。
原子核自旋有自旋角动量,可能产生磁矩。能够产生磁矩的原子核就可以作为磁共振成像的信号来源。
那么是不是所有的原子核都能产生磁矩呢?并不是!能够产生自旋角动量和具有磁矩的原子核被称为磁性原子核。磁性原子核都可以作为磁共振信号的来源。
图6所示,只要中子数和质子数不同时为偶数的原子核,其自旋量子数就不为0,就具有自旋角动量,也就有磁矩,就是磁性原子核。
我们举个反例,那种不是磁性原子核。比如12C,碳12就不是,其中子数为6,质子数为6,质量数是12,中子数和质子数都是偶数,碳12(12C)就不是磁性原子核。
但是,碳的同位素,碳13(13C)就是,因为它的质子数还是6,中子数为7,一奇一偶,满足磁性原子核。
所以,磁共振成像有可能探测碳13的信号,但是不可能探测碳12的信号。
讲了这么多,大家也清楚了,下一步就是解释我们传统磁共振到底用的是哪种原子核成像。
想必大家看图7已经知道了,临床常用的磁共振基本上都是基于氢原子核成像。也就是图7中的1H。
满足磁性原子核的元素很多,为什么MRI成像主要选择氢质子?
这是因为:
①氢质子在自然界中相对丰度高;
②氢质子的相对磁化率高,可以引发非常显著的共振现象;
③人体组织中,水和脂肪的含量高,而这两种组织都含有氢质子。
当然,氢元素也有同位素,除了1H,还有2H和3H。氢的同位素实际上有氕(H)、氘(D)和氚(T)。
其中,自然界最常见的就是1H,也就是质量数为1,质子数为1,中子数为0(不含中子)的氢元素。这种氢由于不含中子,直接简称质子(也不用说氢质子了,不含中子肯定是氢质子)。
另外的2H,质量数为2,质子数为1,中子数为1;3H,质量数为3,质子数为1,中子数为2。
我们传统的或者临床常用的磁共振就是以1H为信号基础的磁共振。可以说,如果严谨,我们应该说目前临床使用的磁共振叫氢核磁共振。(当然,这个说法也不严谨,因为氢元素也有同位素,氕氘氚,我们临床使用的MRI实际上是1H磁共振。2H也就是氘理论上属于多核磁共振,可以进行氘代葡萄糖的探测)。只不过学术界都默认了氢核磁共振就是传统的磁共振。
讲了这些,我们就应该知道多核磁共振代表什么意思。
实际上多核磁共振就是除了氢核,还可以探测其他原子核的磁共振,比如氟(19F)、磷(31P)、钠(23Na)、氙(129Xe)等多种原子核,突破了传统磁共振单一成像维度的限制,从人体结构信息、功能信息、代谢信息等方面为疾病诊治提供了全新的手段和视角。多核(multi-nuclear, MN)就是这个意思。
所以多核磁共振(multi-nuclear MRI)的意思就是,不光可以探测人体内氢质子的含量,还可以探测其他元素相关组织含量。
早期的多核磁共振主要是用于磁共振波谱,通过探测不同元素代谢物的含量提高额外的信息,这种又叫多核磁共振波谱(multi-nuclear spectroscopy, MNS)。
前文链接:磁共振波谱基本原理、概念、技术及临床应用(讲座)
磁共振波谱一般得到的是代谢物信息和谱线。所以早期就有多核MRS,但是大家一般不把这种称为多核磁共振。
多核磁共振是将氢核以外的可磁共振核(非质子核)作为探测对象。所以多核磁共振是以多核成像(multi-nuclear imaging, MNI)为,目的的。不同原子核具有不同的磁共振频率(Larmor 频率)、灵敏度和体内分布特点。
多核磁共振突出的是MRI,也就是磁共振成像。比如,我们传统的磁共振得到的图像,反映的是氢质子的信息,你可以理解为氢图。而多核磁共振,我们就可以得到比如钠图,磷图,氟图....。
虽然现在已经有多核磁共振的研究和一些临床尝试,但是还是存在很大挑战。
首先是探测MR信号的系统,不同原子核,其拉莫尔进动频率不同。
传统的MRI只探测1H氢质子,其拉莫尔进动频率是固定的,采用的线圈射击,射频线圈激发都是一个系统。
而多核,由于不同原子核其拉莫尔频率不同,就要考虑多核射频功放和相应的接口。也就是说,进行多核磁共振成像,射频功率,频率,接收线圈可能都要调整。这就得使用多核专业线圈。
其次,MRI信号除了取决于拉莫尔进动频率,还和组织的T2弛豫有关。如果一些组织T2弛豫太快,也就是T2很短,则来不及采集信号,该多核的MR信号就衰减了。所以,使用多核磁共振成像,其扫描序列也要有所调整。目前除了1H,很多元素的代谢物的T2值都非常短。那么需要使得序列的TE进一步缩短。
第三,很多元素在人体中浓度低,本身磁共振信号就弱。另外就是相对磁化率也低。除了氢质子,其他核的MR信号非常低。进行多核磁共振需要得到的信号及图像对比度。有些元素在人体中甚至太少,需要外源性引入,比如进行氟(19F)成像,一般需要打入一些含19F的核素。
基于第三点,未来的多核磁共振应该在超高场氢的MRI系统中完成。否则信号太低,得到的图像信噪比不够,或者空间分辨率太差。
3T上进行的多核MRI成像,其得到的其他原子核图像,由于信噪比低,空间分辨率非常大。比如,在实验室里,有3T进行的23Na图头颅成像,为了提高信噪比,体素都达到6mm了。对于常规的磁共振氢质子图像,一般体素都是1mm。
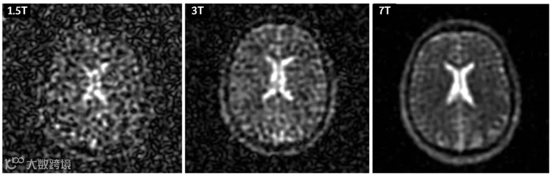
众多科研文献成果表明,提升场强是提高多核成像质量最直接有效的方法。
如图10所示,为不同场强下多核钠成像图。可以发现常规场强的1.5T或3.0T进行多核成像是比较吃力的,得到的图像由于信噪比太低,灵敏度明显不够。
超高场7T进行多核成像则可以得到一个相对好的图像质量和足够的信噪比。法国那边Nerospin项目,已经开始做11.74T的多核研究了。
实际上和MRS一样,由于多核探测的代谢物含量很低,MR信号很弱,因此超高场的MRI得到的多核MRS和多核图像更稳定。
图13所示,3T上的磷谱能够粗略地观察到一些峰,但是除了PCr峰,其余代谢物峰都很低。而7T上则明显显示了比较清楚的各种代谢物的峰。
图14:肺部的多核MR图像比较,1H图,3He氦图和129Xe氙图[2]
其中129Xe主要用于肺部磁共振成像,可以评估肺功能。为了提高信号敏感度,还可以进行超极化。
目前国内具备多核成像功能的MRI还不多,这是因为为了得到相对稳定的多核图像需要超高场MRI。而目前7T仅西门子和GE有,西门子最新的7T具备多核功能的,也正在进行创新产品获批,期待未来磁共振开启多核时代。
本期内容简单介绍了一下多核磁共振的,主要是科普作用,希望对大家有所帮助。
...................................................................................................
2020年微信增加了付费文章,公众号基本上95%的文章都是免费的。付费的主要是我自己录制的视频和一些从来没有讲过的东西。一般都是每两个月发一个付费内容,为什么要写付费文章:①很多老读者都知道,我的文章经常被盗取,被很多平台自动抓取,抄袭、搬运。普通文章也就算了(这种抓不完),如果是视频,被有些平台抓取了,会拿去贩卖。所以设置付费阅读,防止被机器人系统自动抓取;②满足部分付费读者的要求,因为有部分读者告诉我,免费的文章他们看不进去,容易懈怠。付费的,因为付费了,反而更能够激发他们学习;③一些讲课视频可能比较长,大于50分钟,免费的很多人不会坚持看完。这种长视频讲课适合付费;④一些内容的观点可能比较“离经叛道”,可能和教科书写的有所不同,不适合所有开发的看,反而付费的合适;⑤付费的内容一般是没有公开讲过的。
-
Trattnig S, Bogner W, Gruber S, et al. Clinical applications at ultrahigh field (7T). Where does it make the difference? [J] NMR Biomed, 2016;29 (9): 1316-34.
-
Lopez Kolkovsky AL, Carlier PG, Marty B, Meyerspeer M. Interleaved and simultaneous multi-nuclear magnetic resonance in vivo. Review of principles, applications and potential [J]. NMR Biomed, 2022; 35(10): e4735.

精彩推荐:
↓↓ 欢迎进入鼎湖学堂