肘关节外伤后,X线片未见骨折线是临床常见难题。此时,“脂肪垫征” 是避免漏诊、明确诊断的首要征象。
在肘关节的骨骼外面、关节囊里面,存在一些脂肪组织,主要位于:
前脂肪垫:冠突窝内。
后脂肪垫:鹰嘴窝内。
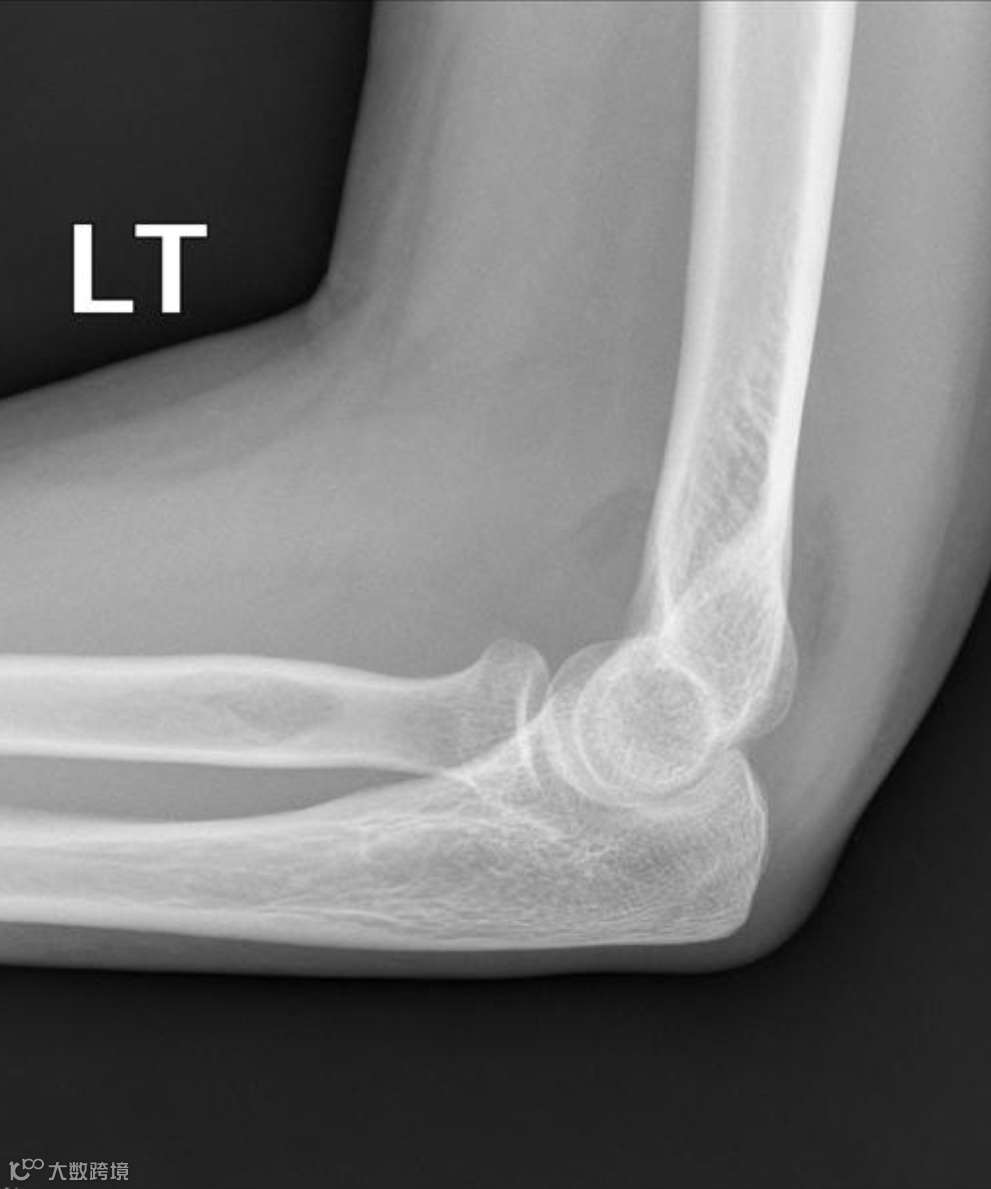
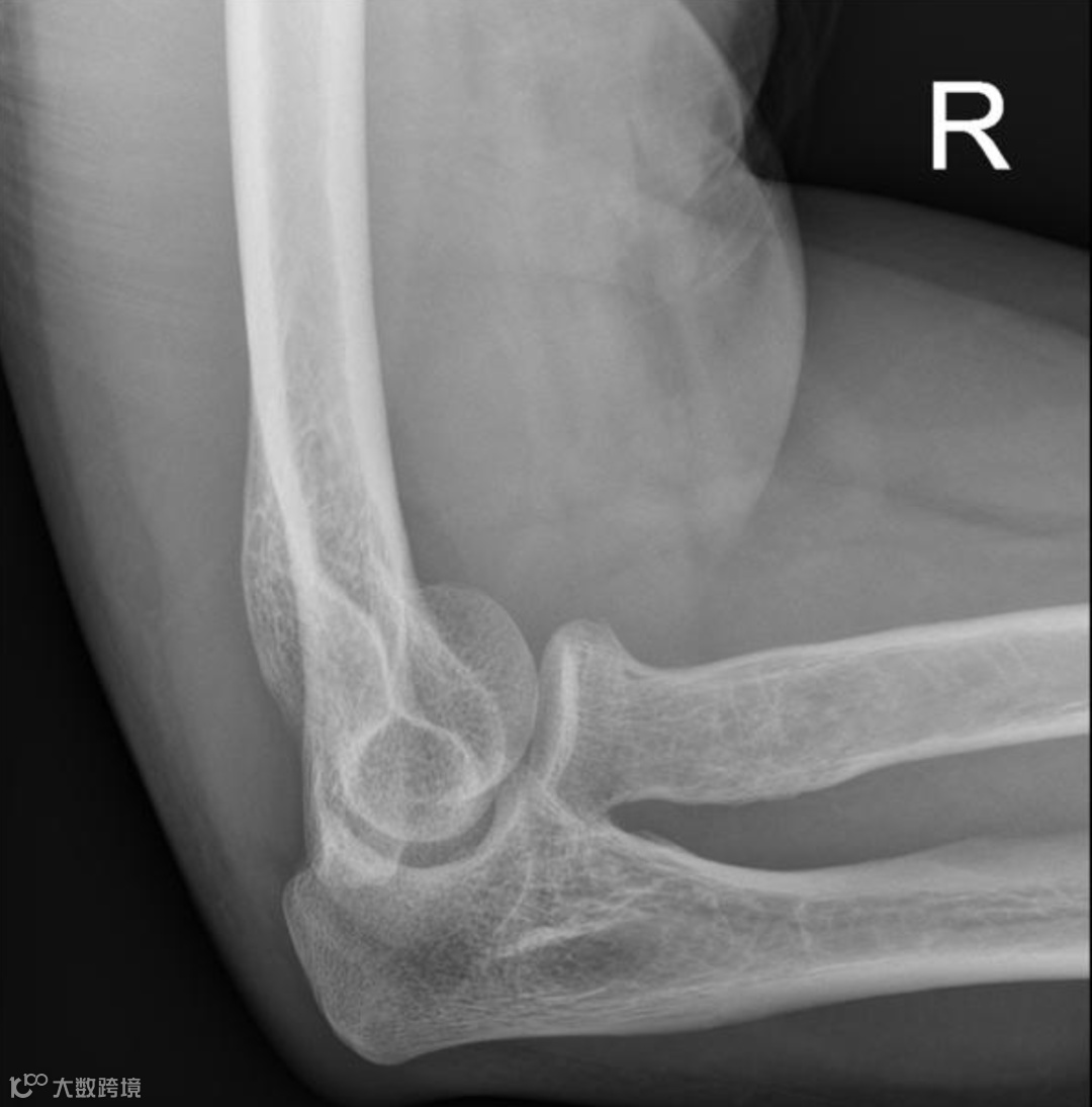
在正常的肘关节侧位X光片上:
前脂肪垫:有时可以隐约看到,表现为紧贴骨骼的一条细线状或窄三角形低密度阴影。
后方脂肪垫:因为深埋在鹰嘴窝里,正常情况下在X光片上是看不见的。
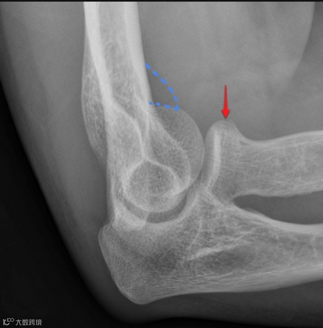
正常肘关节X线侧位,前脂肪垫(红色箭头)为紧贴肱骨的一条细线状或窄三角形低密度影,后脂肪垫(黄色箭头)看不见。
当前脂肪垫变得突出、抬高,像一个扬起的船帆时,即为阳性。这被称为帆征或三角帆征。
前脂肪垫征阳性提示关节腔内压力增高,通常是由于积液(血液或关节液)将脂肪垫从冠突窝里推了出来。
在成人中,提示桡骨头骨折;而在儿童中,最常见的原因是肱骨髁上骨折。
敏感性强,但特异性稍差。只要关节内有较多积液,它就可能出现。
注意:有极少数人天生前脂肪垫就比较明显,需要结合外伤史和临床表现来判断。
(示意图)桡骨骨折引起的关节积液/积血,导致肘部前、后脂肪垫移位,前脂肪垫征阳性形似帆船,因此又称帆船征或三角帆征。
男,35岁,右肘部外伤。未见明确骨折,X线显示前脂肪垫征 [由于关节积液(黄色)将正常的肱骨前脂肪垫向上抬离其正常位置,在侧位投影上呈现三角形(蓝色)]。 关节积液较多提示可能存在骨折,最有可能的是桡骨头骨折。建议7至10天后复查X光片。
同一患者,10天后复查右肘关节,X线斜位显示持续存在的帆征(蓝色)。桡骨头前侧皮质骨缺损可见,证实关节内骨折存在,但未移位且隐匿。
只要在标准的侧位X光片上清晰地看到了后脂肪垫(呈透亮的新月形脂肪密度),即为阳性。
后脂肪垫征阳性是关节内存在病理改变的更强有力的证据。因解剖位置深,需要更多的积液才能将其推出鹰嘴窝使其显影。
在儿童中,最常见于肱骨髁上骨折,其他常见骨折包括近端尺骨骨折、外侧髁骨折和桡骨颈骨折。在成人中,应注意桡骨头骨折。
意味着关节内有积液/积血。
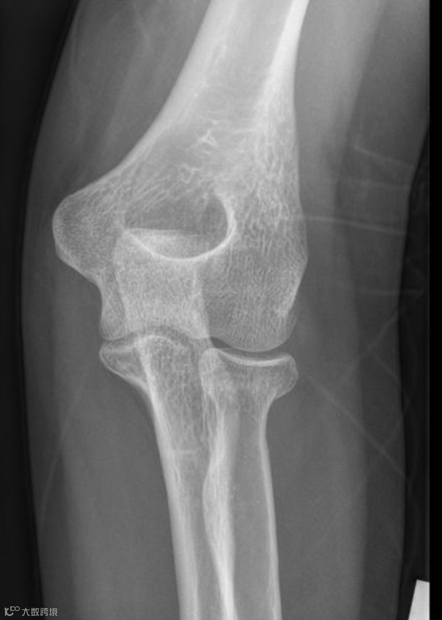
患者,女,30岁女子骑自行车摔倒,左肘着地,左肘关节正侧位X线示前、后脂肪垫征阳性(八字征),桡骨头外侧轮廓略显模糊,但未见明缺的骨折线。
同一患者,1周后复查,桡骨颈部可见一条细而模糊的硬化线,证实为桡骨颈骨折。
“前脂肪垫征阳性” 和 “后脂肪垫征阳性” 是提示外伤患者肘关节内存在隐匿性骨折的重要征象。同时出现时称为 “八”字征。若肘部受伤的儿童或成人患者,X光片上没有看到明确的骨折线,但出现了后脂肪垫征阳性(或前脂肪垫征明显的 “帆船征”),放射科医生应高度怀疑存在隐匿性骨折。
在这种情况下,即使看不到骨折线,临床医生也会按照骨折来处理(例如,用石膏或支具固定),并嘱咐患者在7-10天后(此时骨折断端骨质吸收,骨折线可能会变得清晰可见)复查X线片。
肘关节外伤史 + 临床症状 → X线未见明确骨折线 → 发现前/后脂肪垫征阳性 → 推断关节积血/积液 → 高度怀疑隐匿性骨折 → 按骨折处理并复查
https://radiopaedia.org/articles/sail-sign-elbow-1?lang=us
https://radiopaedia.org/articles/posterior-fat-pad-sign-elbow?lang=us
·END·
精彩推荐:
力荐!医学影像专业必关注的8个公众号
全网最全的解剖图库,千万不要错过 300+神经、头颈系统超全影像文章汇总
全网最全头颅影像解剖学,不容错过(更新版) 全网最全大关节影像解剖,不容错过(更新版) 影像科急诊必备手册,必点收藏 脊柱、脊髓解剖及常见疾病汇总(41篇) 乳腺解剖及影像学检查详细汇总 心胸系统文章汇总(132篇) 全网最全全身X线高清图谱
![]()
更多精彩医学影像内容,尽在鼎湖影像 权威医学影像公众号,欢迎您的关注↓↓
↓↓ 欢迎进入鼎湖学堂






