放射科常见的诊断错误和偏差(四)
影像诊断中误诊原因主要分为两大类:感知错误和认知错误。感知错误可以通俗地被认为是“漏诊”,即未观察到主要或者关键的发现。在之前的推文中我们结合实例进行了总结。认知错误可以通俗地被认为是“误诊”, 其主观因素更多一些,原因也更复杂一些。本系列将通过一些实际案例来具体学习这两种误诊原因造成的影像诊断错误和偏差并提出相应的解决方案,从而为放射科医生的临床实践提供帮助。
本期介绍的是与思维和判断认知偏倚有关的认知错误。
1.锚定偏差和确认偏差
锚定偏差和确认偏差均可以被认为是一种定势思维偏倚。锚定偏差是指医师在诊断过程中过早锁定某些显著特征,并忽视随后获得的新征象或者与初始印象有冲突的征象。确认偏差是指当我们在主观上支持某种观点的时候,往往倾向于寻找那些能够支持原来的观点的信息,而对于那些可能推翻原来的观点的信息往往忽视掉。比如对于有恶性肿瘤病史的患者,发现椎体压缩骨折即诊断为转移瘤所致,而忽视了支持良性的征象。
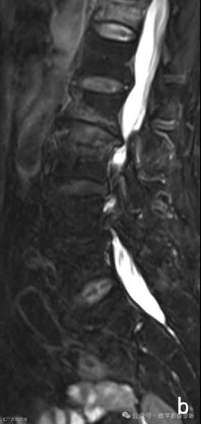
Case 1
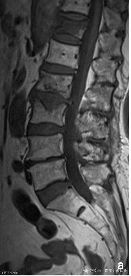
患者,女性,81岁,淋巴瘤化疗后腰痛一周。
影像学表现
腰椎MRI扫描T1WI(A)和T2WI/FS(B)显示多个椎体多发异常信号伴轻度压缩骨折,受恶性肿瘤病史影响放射科医生将其诊断为转移瘤,而遗漏了终版下条带样低信号等良性压缩骨折的征象,患者行椎体活检并成形术后(C),术后病理证实无肿瘤迹象。
2.可用性偏差
可用性偏差是指根据一件事出现在脑海中的难易程度和出现频率来判断它发生的可能性。类似的还有一种认知偏倚叫斑马撤退偏倚指的是虽然病人的病史和影像学检查结果支持一个罕见的诊断,但诊断医生缺因为其罕见性不敢做出正确的诊断 。
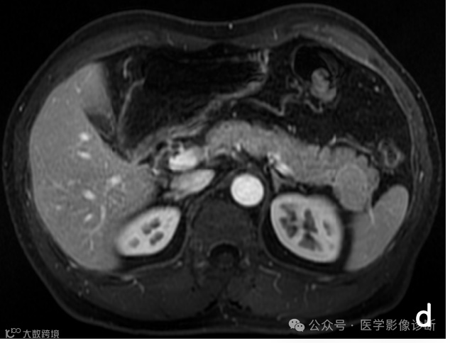
Case 2
患者,男性,81岁,上腹不适半年。
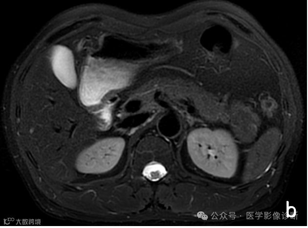
影像学表现
胰腺尾部占位性病变,轴位MRI T1WI (a)、T2WI/FS (b)、T1WI/FS (c)、增强(d)序列均显示病变信号与脾脏相似,但是放射医生诊断为相对常见的胰腺神经内分泌肿瘤,而非罕见的异位脾脏。手术病理证实为胰腺内异位脾脏。
3.归因偏差
归因偏差是指某个专业的医生往往倾向于本专业疾病的诊断。而对放射科医生来讲,往往会因为病人就诊的科室或者临床申请单提供的信息对疾病产生刻板的印象。另外类似的还有框定偏差,是指因信息的呈现方式或顺序不同,从相同的信息中得出不同的结论。对放射科医生,往往因临床信息的先入为主,而发生误诊。
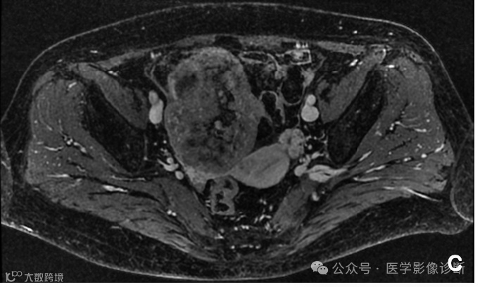
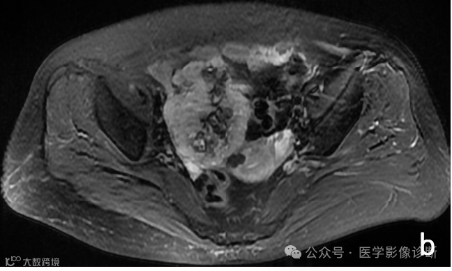
Case 3
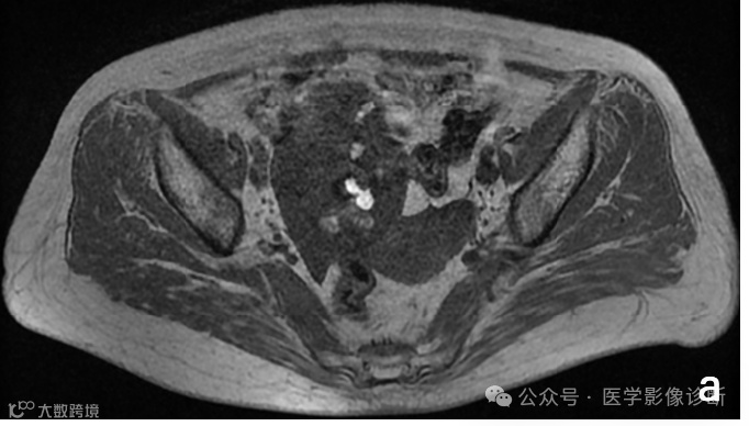
患者,女性,57岁,盆腔肿物就诊于妇科,妇科医生诊断为卵巢肿瘤。
影像学表现
MRI扫描(a - c)显示盆腔肿块,T1WI呈出血样高信号,T2WI/FS内部呈低信号。增强扫描表示非均匀增强。肿块与小肠密切相关,增强MRI矢状面(d)和轴向CT (e)可见肠系膜大血管(箭头)供血,提示肠道原发病变。然而放射科医生受临床卵巢肿瘤的诊断干扰未能明确诊断为小肠间质瘤。
讨论
本期主要讨论了与思维和判断认知偏倚相关的诊断错误。这类偏差在临床诊断中较为常见,通常会导致医生过早地固定诊断思路,忽视新的信息或可能推翻初步判断的证据。为减少这些偏差导致的误诊,建议在诊断过程中采取更加系统化的方法,例如在做出最终诊断前,重新审视所有证据,尤其是支持不同观点的证据,并寻求第二意见。此外,医生应提高对不同诊断可能性的敏感性,避免被常见或主观印象所限制,从而做出更加全面和客观的判断。
图文:李蒙 金岑
推荐文献:Diagnostic error and bias in the department of radiology: a pictorial essay. Insights Imaging. 2023 Oct 2;14(1):163.
·END·
精彩推荐:
力荐!医学影像专业必关注的8个公众号
全网最全的解剖图库,千万不要错过 300+神经、头颈系统超全影像文章汇总
全网最全头颅影像解剖学,不容错过(更新版) 全网最全大关节影像解剖,不容错过(更新版) 影像科急诊必备手册,必点收藏 脊柱、脊髓解剖及常见疾病汇总(41篇) 乳腺解剖及影像学检查详细汇总 心胸系统文章汇总(132篇) 全网最全全身X线高清图谱
![]()
更多精彩医学影像内容,尽在鼎湖影像 权威医学影像公众号,欢迎您的关注↓↓
↓↓ 欢迎进入鼎湖学堂






