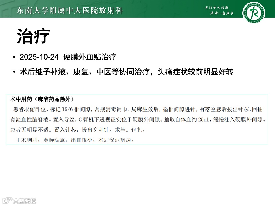
病例1
女,35岁
主诉:因“头痛12天”入院
现病史:患者12天前(2025.6.28)情绪激动后出现前额疼痛,呈炸裂样,伴恶心呕吐,伴发热,体温峰值具体不详,患者后否认发热,告知有血象升高(具体不详),无肢体抽动,无大小便失禁。平卧休息后上述症状可缓解,起身后加重,于当地医院就诊行头颅CT示未见明显异常,予消炎退烧输液治疗,体温恢复常,头痛症状未见明显好转。患者欲回河南老家进行治疗,高铁途中因上述症状加重,故于南京市中医院急诊就诊,相关检查示(2025-07-05)钾2.5mmol/L,无机磷0.53mmol/L,入院予对症支持治疗,07-08行腰椎穿刺后测压力为20mmHg(估算),脑脊液生化乳酸脱氢酶54U/L,腺苷脱氨酶<2U/L,葡萄糖3.92mmol/L,微量总蛋白0.514g/L,白细胞计数8*10^6/L,红细胞计数 1000*10^6 /L,予大量补液后,患者头痛呕吐症状有所缓解,翻身时自觉胸闷气喘心慌心悸较前加重,坐立时仍感头痛不适。为求进一步诊治,患者遂至我院门诊就诊,门诊拟“脑脊液漏”收住我科。
实验室检查:血常规+超敏CRP(组套)(20250711):中性粒细胞比率76.3↑%,淋巴细胞比率13.5↓%,中性粒细胞计数6.94↑10^9/L,单核细胞计数0.79↑10^9/L,中性粒细胞/淋巴细胞5.64↑。
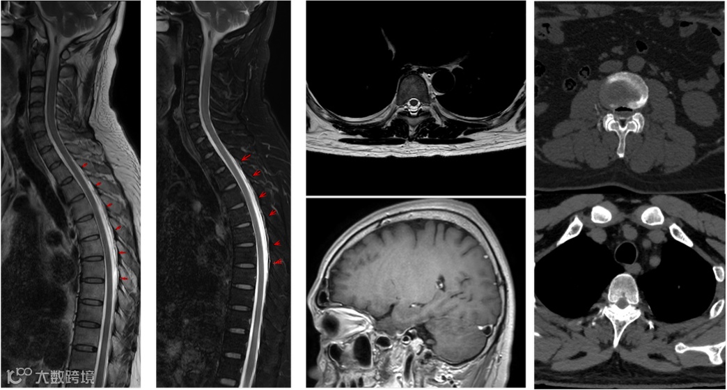
2025-07-14 颅脑MR平扫+增强+颈胸腰椎MR平扫
影像号:3462706
影像学表现
病例2
男,44岁
主诉:因“头痛10天”入院
现病史:患者10天前跑步后开始出现头痛,范围主要为双侧颞区及头顶,胀痛为主,自感颞区血管胀痛,左侧显著,平躺后或洗澡后症状缓解,疼痛剧烈时伴头晕、恶心,5天前于我院门诊查头颅MRI平扫+头颅MRA示:1.左额叶小缺血腔梗灶;2.左侧椎动脉V3段稍纤细;附见:副鼻窦粘膜增厚。2天前患者再次出现跑步后头痛,疼痛较前剧烈,持续未缓解,站立或行走约半小时后显著,后于开车时再次出现剧烈头痛、呕吐、双手麻木。无视物模糊、视物旋转、眼前黒曚,无耳痛,无听力下降,无肢体活动障碍,无吞咽困难,无饮水呛咳,无胸闷气喘。现患者为求进一步治疗至我院就诊,门诊拟“头痛查因”入院。
入院当天(2025-10-13)行腰穿,查脑脊液常规、生化、IgG、细胞学、细菌学涂片、新型隐球菌、细胞因子:未见明显异常
2025-10-14 头颅MR增强+MRV+颈椎MR平扫 影像号:3515491
2025-10-16 颈椎+腰椎MR平扫 影像号:3515491
2025-10-20 颈胸腰椎CT增强 影像号:2569557HY
影像学表现
·END·
精彩推荐:
力荐!医学影像专业必关注的8个公众号
全网最全的解剖图库,千万不要错过 300+神经、头颈系统超全影像文章汇总
全网最全头颅影像解剖学,不容错过(更新版) 全网最全大关节影像解剖,不容错过(更新版) 影像科急诊必备手册,必点收藏 脊柱、脊髓解剖及常见疾病汇总(41篇) 乳腺解剖及影像学检查详细汇总 心胸系统文章汇总(132篇) 全网最全全身X线高清图谱
![]()
更多精彩医学影像内容,尽在鼎湖影像 权威医学影像公众号,欢迎您的关注↓↓
↓↓ 欢迎进入鼎湖学堂






