最近有一位患者在公众号后台留言问:“横纹肌肉瘤严重吗?能不能讲一讲?总结的文章太少了。”这个需求也让我不禁想起去年 7 月的一则新闻:当时一场充满暖意的爱心捐助活动,曾深深打动了无数人。
江苏南通一名2岁女童不幸确诊恶性横纹肌肉瘤,高昂的治疗费用让家庭不堪重负。患儿母亲黄女士为筹措医药费,致电南通森林野生动物园,希望退还588元的年卡费用。
园方在得知具体情况后,不仅退还了年卡费用,更挖空许愿池,将承载着万千游客心愿的12,083元硬币化为善款,加上南野动物园母公司江苏森迪文旅集团捐赠的5万元现金,全部捐赠给患儿用于后续治疗。
这一举动不仅让许愿池里的硬币拥有了具象化的意义,也让“横纹肌肉瘤”这一儿童最常见的软组织恶性肿瘤进入了公众视野。当社会用爱与善意托起生命的希望时,在医学的战场上,早期发现与精准诊断则是战胜病魔的第一步。
横纹肌肉瘤(rhabdomyosarcoma,RMS)是一种儿童最常见的软组织肉瘤,来源于横纹肌或具备向横纹肌细胞分化功能的原始间叶细胞,成人RMS相对少见。
RMS可发生于全身各部位,儿童多发于头颈部,而成人则以四肢最为常见。
头部和颈部:~50%
眼眶:~20%
口咽/鼻咽、腭:~15%
鼻窦、乳突、中耳:~15%
泌尿生殖系统:~25%
副睾:~20%
膀胱:~5%
四肢:~15%
其他:~10%
躯干和胸部:7%
胃肠道:1%
病理亚型:包含4种
胚胎型横纹肌肉瘤(embryonalrhabdomyosarcoma,eRMS)
最常见
主要见于头部、颈部和泌尿生殖系统
腺泡型横纹肌肉瘤(alveolar rhabdomyosarcoma)
通常存在于四肢深层组织中
通常存在PAX3-FOXO1或PAX7-FOXO1融合基因
多形性横纹肌肉瘤(pleomorphic rhabdomyosarcoma,pRMS)
梭形细胞/硬化性横纹肌肉瘤(sclerosingrhabdomyosarcoma,sRMS)
免疫组化:横纹肌肉瘤始终表达骨骼肌标志物,但不同亚型的表达模式有所不同。几乎所有病例的结蛋白均为阳性。
影像学表现
RMS的影像学特征通常无特异性,表现为不规则的软组织影。
CT
平扫表现为等或低密度肿块
增强扫描强化不均匀。
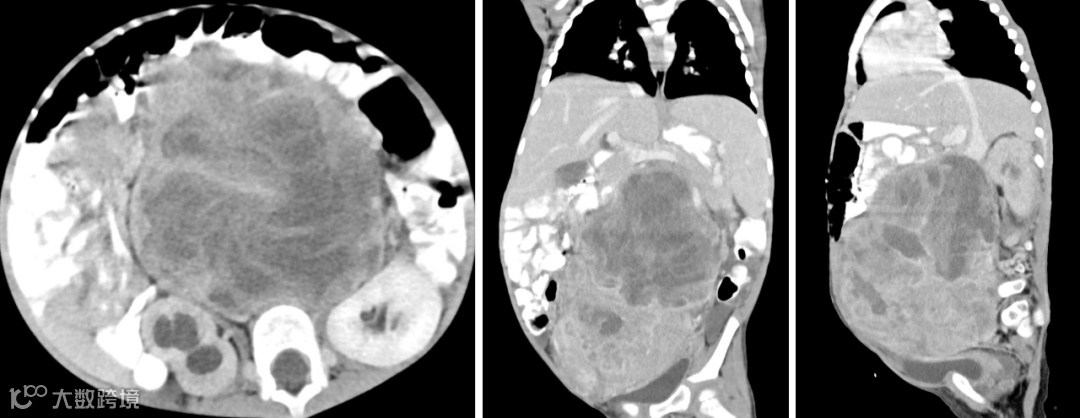
患者,女,3岁,腹膜后RMS。肿块从上腹部延伸至盆腔右侧,并充满大部分腹腔,平扫呈等低混杂密度,其内可见液化坏死区,增强扫描不均匀强化。膀胱受压向左移位,腹主动脉和髂血管移位并被肿块左侧包裹。
MRI
T1WI:等或低信号
T2WI:高信号
DWI: RMS恶性程度高,细胞排列紧密,DWI序列呈高信号
出血和钙化在RMS中较少见
增强扫描:因肿瘤内部液化坏死而强化不均匀,典型表现为“葡萄征”,即边缘强化明显,内部富含黏液基质则不强化
动态对比增强扫描:RMS的时间-信号强度曲线呈速升平台型,T2WI高信号的坏死区和黏液成分无强化
患者,女,12岁,近几月手部进行性增大,病理活检结果为胚胎性横纹肌肉瘤。手部MRI图像(部分图像)可见一个大的软组织肿块,其体积为7.8X6.7X8.6cm,沿着手掌掌侧和背部占据手掌,掌侧肿块更大。病灶在T1 WI呈中等信号,在T2WI和 STIR上呈高信号,增强扫描后呈明显的不均匀强化。肿块填充了掌指骨间隙并侵入相关肌肉,包裹了手的屈肌腱和拇屈肌腱。肿块也向背部破裂,围绕伸肌腱。可见肿瘤肿块侵入第二至第五掌骨,在第四掌骨最明显,近端部分完全侵蚀。还可见远端腕骨受侵犯。
约20%的横纹肌肉瘤患者在诊断时已出现转移,以肺和骨转移多见。治疗多采用手术、化疗和放疗联合治疗:生存率取决于原发部位、组织学类型、局部侵袭和转移情况。5年生存率约为75% 。
“南通森林野生动物园挖空许愿池捐款”事件,已经超越了简单的慈善捐助,他成为了一个承载着多重意义的社会符号,也是企业勇于承担社会责任的展现;许愿池承载愿望的同时,也承载着拯救生命的“希望,患儿的勇敢、母亲的不放弃!
参考文献
https://radiopaedia.org/articles/rhabdomyosarcoma?lang=us
庞娅,蒋佩伶,张曦.横纹肌肉瘤的CT及MRI表现[J].实用放射学杂志,2025,41(3):390-393.
·END·
精彩推荐:
力荐!医学影像专业必关注的8个公众号
全网最全的解剖图库,千万不要错过 300+神经、头颈系统超全影像文章汇总
全网最全头颅影像解剖学,不容错过(更新版) 全网最全大关节影像解剖,不容错过(更新版) 影像科急诊必备手册,必点收藏 脊柱、脊髓解剖及常见疾病汇总(41篇) 乳腺解剖及影像学检查详细汇总 心胸系统文章汇总(132篇) 全网最全全身X线高清图谱
![]()
更多精彩医学影像内容,尽在鼎湖影像 权威医学影像公众号,欢迎您的关注↓↓
↓↓ 欢迎进入鼎湖学堂





