-
发现病变 -
明确诊断 -
寻找病因 -
评估疗效
而行MRI的目的主要在于后三个——明确诊断、寻找病因及疗效评估。
-
患者下颌收敛,全程闭眼;目标部位需置于线圈中心并保证严格对称,这样利于后续的规范定位及获得标准化的图像。
-
对称性原则。定位应做到严格对称,便于双侧的对比评估;
-
扫描范围控制。神经和血管的成像均要求小体素高分辨率扫描,其成像时间比较长,因此,扫描范围不宜过大,仅包括目标区域即可。
-
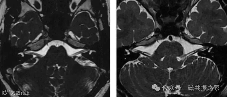
通常采用轴位的扫描方式,其角度与目标神经的大体走形平行。如上图△所示,行三叉神经颅内段的扫描中,其扫描基线应与其神经的大体走形一致。
-
先“准”后“精”原则。在实际临床扫描中,由于扫描范围有限,很多时候单纯的三平面定位像可能定位不够准,可优化定位像的扫描参数或首先扫描一个范围较广的序列。
-
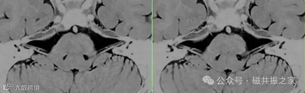
如在扫描内听道(IAC)时,建议使用重T2参数扫描定位像,可突出含水丰富组织的信号对比,以便于更高的识别和定位,如上图△。
-
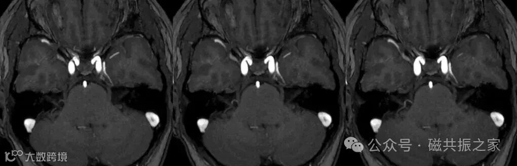
如定位像不足以完成后续的精准定位参考和大范围评估有无占位性病变,可首先扫描一个范围较广的冠状位重T2序列(如上图△)或全脑的3D T1WI序列,可在此序列图像上找到目标结构后,再进行精准定位扫描。
-
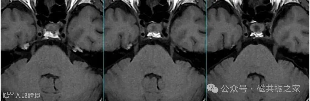
上图△展示的是采用基于自旋回波的3D T1WI所获得三叉神经的图像。
-
在这两个序列上血管,神经呈低信号,脑脊液呈高信号,对比明显,可显示神经精细形态结构。
-
如上图△,左为基于梯度回波的3D 稳态自由进动序列;右为基于自旋回波的3D 重T2WI序列。
-
我们知道,IAC成像更强调的是水成像,如上图△为基于3D 重T2WI所获得的耳蜗结构图像。
-
在使用3D TOF成像时,为了增加小血管的显示能力,建议不使用磁化传递技术和添加上下(头足)侧饱和带。
-
为了实现多方位的重组与观察,建议采用各项同性的扫描方式,以减少后重建中的失真。
-
根据方位角度的需求对目标神经进行后重建处理,如上图△,展示的为对单侧面、听神经进行处理。
-
如在三叉神经痛的诊治方面,二者联合对于术前判断血管与神经关系具有极高准确率(灵敏度和特异度分别可高达100%和96%)。
-
但需要注意的是由于3D稳态自由进动序列会随着磁场的升高其对比度会下降,且伪影风险增加(1.5T选用,3.0T及以上慎用),所以首选基于自旋回波的3D 重T2序列。
参考文献:
中国医师协会神经修复学专业委员会,中国医师协会周围神经外科专业委员会,国际神经修复委员会.特发性与继发性三叉神经痛诊疗专家共识(2025版)[J].中华医学杂志,2025,105(25):2058-2071.DOI:10.3760/cma.j.cn112137-20250121-00184.
Huang Y, Huang Y, Xiao C, et al. Preoperative evaluation of neurovascular relationship in primary trigeminal neuralgia(PTN) by magnetic resonance virtual endoscopy(MRVE) combined with 3D‑FIESTA‑c and 3D‑TOF‑MRA[J].J Pain Res, 2024, 17: 2561‑2570. DOI: 10.2147/JPR.S465956.
Hu M, Zhou W, Shen W, et al. A combination of 3D TOF MRA and FIESTA predicts surgery‑needed primary trigeminal neuralgia and specific offending vessels[J]. J Integr Neurosci, 2022, 21(6): 169. DOI: 10.31083/j.jin2106169.
·END·
精彩推荐:
力荐!医学影像专业必关注的8个公众号
全网最全的解剖图库,千万不要错过
300+神经、头颈系统超全影像文章汇总
全网最全头颅影像解剖学,不容错过(更新版)
全网最全大关节影像解剖,不容错过(更新版)
影像科急诊必备手册,必点收藏
脊柱、脊髓解剖及常见疾病汇总(41篇)
乳腺解剖及影像学检查详细汇总
心胸系统文章汇总(132篇)
全网最全全身X线高清图谱
更多精彩医学影像内容,尽在鼎湖影像
权威医学影像公众号,欢迎您的关注↓↓
↓↓ 欢迎进入鼎湖学堂





