回顾CT五十多年的发展历程,我们会发现,每一次技术进步,无论是渐进优化还是突破性飞跃,都不是由单一因素推动的,而是部件、算法与系统协同发展的结果。这些创新汇聚成了今天主导CT成像能力的四大核心要素:空间分辨率、时间分辨率、容积覆盖范围,以及能谱成像。正是围绕这四大核心,临床对于更清晰、更全面、更精准的影像需求不断推动CT技术向前发展。
为满足这一愿景,联影推出 “双宽体双源CT + 光子计数CT” 双平台战略。虽然两者仍为独立产品,但各自针对不同临床需求进行了深度优化:
双宽体双源CT将宽体探测器与双源系统深度融合,实现8ms时间分辨率和单心动周期全心4D电影成像,同时具备470mm超大能谱视野,在时间、覆盖与能谱三大维度上实现性能跃升;
光子计数能谱CT则在业内首次实现了全探测器覆盖下同时获得超高清与精准能谱信息,为定量诊断提供全新可能。两者互为补充,共同构建满足多样化临床需求的高端CT技术体系。
双宽体双源CT
全心4D电影与一站式心血管成像
过去我们习惯在一个相对 “黄金” 的心动期上精挑细选一张最清晰的冠脉CTA图像:狭窄有没有、钙化多不多、支架里看不看得清,再凭经验脑补整一个心动周期发生了什么。现在,双宽体双源CT的全心动态成像能力,可以在单个心动周期内采集完整数据,重建出类似DSA、类似MR的全心4D电影:
冠脉狭窄段在收缩与舒张过程中的形态变化、斑块在不同阶段的受力与形变,不再只是静态截面的推测,而是 “看着它动”;
主动脉瓣、二尖瓣的开闭节律、瓣叶对合情况、是否存在偏心喷射,可以在连续动态图像中一览无余;
心肌各节段的收缩与增厚、房室耦合情况,也有了更接近真实生理状态的可视化基础。
中山医院放射科主任曾蒙苏教授用一句话概括宽体系统带来的直观体验:“它真正做到了心脏4D电影,在评估心脏运动状态和各类病变的同时,把剂量也压得很低,高效和安全是同时站在一起的。”
在他看来,全时相数据采集不仅提升了细小血管的显示能力,更把斑块易损性这类传统上偏 “功能学” 的问题,拉回到了CT能力圈里。凭借宽体覆盖和低剂量特性,还能够高效完成脑、心肌及肝脏等多脏器的灌注联合能谱成像,并支持心、颈、脑血管一站式联合扫描,契合当前 “泛血管” 诊疗理念,在胸腹盆一体化扫描等大范围损伤评估中同样展现出独特技术价值。
如果说动态成像解决了 “能看全、看清” 的问题,那么时间分辨率和容积覆盖的重新平衡,则让 “能不能做成” 这件事变得更踏实。
阜外医院放射科主任吕滨教授就提到,过去在高心率或心律失常患者身上,图像伪影和质量下降是绕不过去的难题,很多病例在检查前就已经被打了折扣。而在宽体双源系统上,检查成功率本身出现了 “革命性提升”:更多过去被视为 “难以扫描” 的复杂病例,现在可以获得稳定且高质量的图像。在他眼中,这台设备不只是在解剖层面 “看得更清”,更是在功能学上 “看得更深” — 一方面可以量化心脏运动功能,捕捉早期功能失调;另一方面通过灌注与延迟强化等图像,观察缺血、纤维化等更微观的病理变化。
上海市第一人民医院的团队,则更关注它在工作流和病人负担层面带来的改变。放射科主任张佳胤教授回顾他们参与双宽平台研发阶段的动物实验和临床研究时提到:传统 CTA 想同时搞清楚冠脉解剖和心肌灌注,往往不得不安排两次扫描,患者承受双倍剂量和对比剂,科室流程也被人为拉长。受限于探测器宽度和时间分辨率,要在全心覆盖和高质量灌注成像之间 “鱼与熊掌兼得”,几乎是不可能任务。而在双宽体双源平台上,这一矛盾被正面破解 — “单次扫描、同步双评” 成为现实,一次检查就把冠脉解剖评估和心肌灌注定量同时做完,他把这形容为 “冠心病无创影像诊断的一个重要里程碑”。
在能谱维度上,双宽体双源的意义也不仅是 “顺带做个能谱”。
得益于16cm宽体探测器与双源能谱技术的组合,双宽体双源CT可以在单心动周期内完成全心能谱扫描,在同一次扫描中同步获取灌注和能谱等多维参数:虚拟单能图像帮助我们在严重钙化或支架环境中抑制伪影,更真实地还原管腔情况;物质分解和碘定量分析,则让斑块性质和成分等信息变得更加量化、客观。对于需要同时回答 “狭不狭窄、缺不缺血、心肌还活不活” 这三大核心问题的患者来说,一次检查就能拿到接近 “全景式” 的信息。
光子计数能谱CT
全探测器覆盖下超清与能谱同时掌控
如果说,双宽体双源CT以卓越的时间分辨率和全容积覆盖,为动态成像打开了临床观察心脏及快速运动器官的新视角,那么光子计数能谱CT则在提升空间分辨率和能谱成像能力的同时,打破了原来超清与能谱只能二选一的限制,让临床能够同时兼得两者优势。
联影光子计数能谱CT-uCT Ultima搭载业内最新一代0.2 mm像素光子计数探测器,实现全身各部位的全准直超清(UHR)成像,呈现业内领先的空间分辨率和卓越细节再现能力。AI重建算法进一步优化图像质量,有效克服光子计数探测器带来的信噪比下降问题,在保持超高清分辨率的同时实现低噪声与低剂量。借助高速数据传输与智能处理能力,uCT Ultima可在最高系统转速和最宽探测器覆盖下同步实现UHR与能谱成像,无需在空间分辨率和能谱信息之间做出取舍,使光子计数CT优势全面释放。
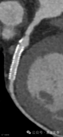
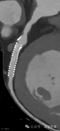
UHR超清模式成像,可更清晰地呈现支架管腔及斑块轮廓,大幅提升血管支架和软斑块的评估能力。
UHR肺部成像可清晰识别早期肺间质病变及细支气管壁增生等异常。结合40 keV低能量图像,肺内血管显示进一步增强,有助于微小病变的早期发现。
在瑞金医院,放射科主任严福华教授正在参与联影光子计数能谱CT的临床测试。她的评价很直接:心脏因为持续跳动,对时间分辨率、空间分辨率和能谱能力的要求都最高,“心脏成像质量往往是检验一台CT性能优劣的试金石。” 在她看来,联影光子计数CT在心脏上的表现,不仅超高清模式扫描覆盖范围更大,在清晰显示血管及心脏内部精细结构方面做了大量技术创新,能够更全面地反映心脏结构与功能变化,“在心脏方面能有所突破、有所领先,也就意味着整个平台的综合能力已经走在同类设备前列。”
瑞金医院放射科主任严福华正在开展联影光子计数能谱CT临床测试
瑞金医院放射科副主任杨文洁教授则从行业视角补充道:
“光子计数能谱CT是CT硬件领域真正意义上的划时代产品,是全球厂商、研发团队和临床用户长期期待的方向。现在看到国产品牌率先在临床上落地跑起来,我们是发自内心的骄傲。”
在中山医院放射科主任曾蒙苏教授看来,光子计数能谱CT凭借 “低剂量 + 高清” 的核心优势,很有希望在未来成长为CT领域的主流形态。他提到:“我们现阶段还在做科研与临床的验证,可进一步研究的空间非常大,比如通过大脑细小血管的高分辨率显示,探索脑血管病、老年痴呆的早期影像学标志;在心脏方面,更精准地评估冠脉支架以及血管斑块的负荷;在肺部,观察小气道病变和肺间质性纤维化;在腹部,则有望提升对肝脏、胰腺等器官微小肿瘤的检出能力。”
中山医院放射科主任曾蒙苏正在开展联影光子计数能谱CT临床测试
在几位一线专家的共同视角下,“双宽体双源 + 光子计数”不再只是两台设备的简单叠加,而是两个互为补充的CT平台:一端把心脏拍成4D电影,一端把微小病灶拉近到 “显微镜级别”,共同构成从动态到超清、从解剖到能谱的一整套能力谱系,撑起下一代CT平台的临床边界。
从这个意义上说,联影这次的 “双子星” 推出,讲的已经不只是 “又多了两台高端 CT”,而是CT在动态成像时代的一次角色升级 — 从单一检查设备,走向可持续演进的诊疗平台与临床创新土壤。
一次看懂一颗跳动的心,只是第一步。下一步,交给每一位走进机房的患者,也交给每一位愿意与新技术一起探索边界的临床专家。
·END·
精彩推荐:
力荐!医学影像专业必关注的8个公众号
全网最全的解剖图库,千万不要错过 300+神经、头颈系统超全影像文章汇总
全网最全头颅影像解剖学,不容错过(更新版) 全网最全大关节影像解剖,不容错过(更新版) 影像科急诊必备手册,必点收藏 脊柱、脊髓解剖及常见疾病汇总(41篇) 乳腺解剖及影像学检查详细汇总 心胸系统文章汇总(132篇) 全网最全全身X线高清图谱
![]()
更多精彩医学影像内容,尽在鼎湖影像 权威医学影像公众号,欢迎您的关注↓↓
↓↓ 欢迎进入鼎湖学堂






