您是否曾忍痛将双足塞进心仪的高跟鞋鞋?
是否注意到妈妈或外婆的大脚趾根部有一个明显的“鼓包”?
(图片来源于网络)
这并非个例,而是无数女性正在默默承受的足部困扰——拇外翻。
从古代中国的三寸金莲到现代的高跟鞋,人类一直在用鞋子“塑造”脚的形状,而这种“美丽”的背后,往往是足部健康被永久牺牲的代价。
长期穿着不合适的鞋子,会让您的脚从正常优雅的线条,逐渐变成大脚趾外撇、根部凸起的模样,甚至发展为脚趾严重重叠、挤压的畸形状态。
什么是拇外翻?
拇外翻(Hallux Valgus) 是最常见的足部畸形之一。它是指大脚趾(拇趾)向第二趾方向倾斜(外翻),同时第一跖骨头向内侧突出,形成一个坚硬的骨性凸起。它不仅影响美观,更会导致疼痛、行走困难,并容易继发伴随红肿热痛的拇囊炎。
医生的诊断绝非仅凭肉眼观察。一张足部负重X光片是评估拇外翻的“金标准”,通过测量两个关键角度来科学分级:
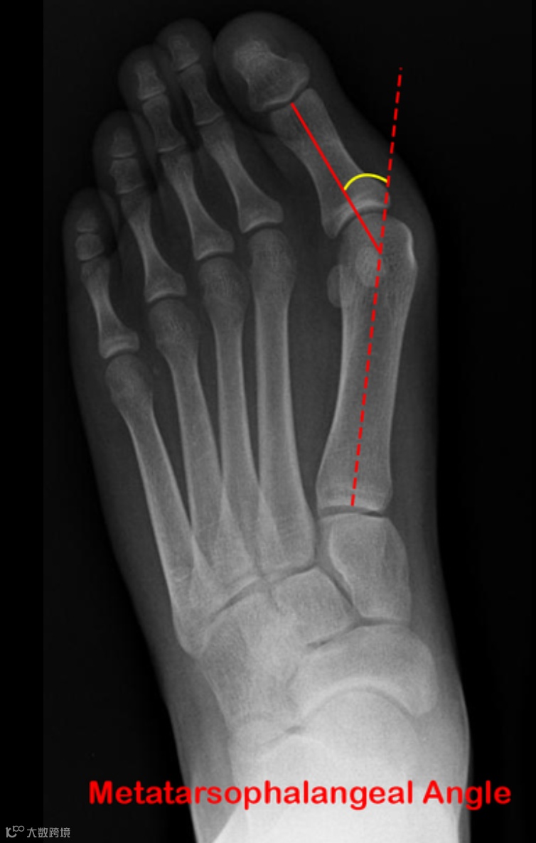
拇外翻角(HVA)
也称第一跖趾角,第一跖骨和近节趾骨干中线之间的夹角
正常值小于15°
诊断标准:HVA ≥ 15°
若HVA≥15°,可诊断为拇外翻。
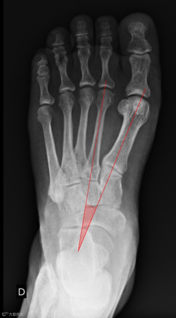
跖骨间夹角(IMA)
第一、第二跖骨干中线之间的夹角
正常值小于9°
辅助诊断:IMA ≥ 10°
若IMA≥10°,结合拇外翻角异常,可辅助诊断。
轻度:HVA<20°,IMA≤13°
症状通常较轻,可能仅有外观改变。
中度:20°<HVA≤40°,13°<IMA≤16°
通常开始出现疼痛、穿鞋困难。
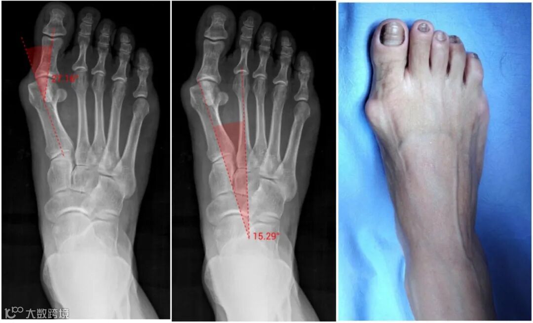
女,45岁,右足中度拇外翻。第一跖趾角: 27.16°,跖骨间角:15.29°。
重度:HVA>40°,IMA>16°
疼痛剧烈,常伴脚趾重叠、老茧,严重影响生活
女,45 岁,左足重度拇外翻,第一跖趾角为 45°,跖骨间角为 18°。
怎么办?
如果您正受此困扰,请记住:
换鞋是第一步:立即换上鞋头宽大、支撑性好的平底鞋,这是最直接有效的缓解方法。
寻求专业帮助:前往足踝外科就诊,让医生为您提供专业的评估和建议。
理性看待手术:对于中重度畸形,手术是唯一能从根本上矫正骨骼结构、解除疼痛的方法。切勿轻信那些宣称能“按回去”的虚假广告。
美丽不应以疼痛为代价。了解它、正视它,才能用科学的方法保护我们的双足,让每一步都走得更加稳健、从容。
参考文献
https://radiopaedia.org/search?q=Hallux+valgus&scope=all&lang=us
·END·
精彩推荐:
力荐!医学影像专业必关注的8个公众号
全网最全的解剖图库,千万不要错过 300+神经、头颈系统超全影像文章汇总
全网最全头颅影像解剖学,不容错过(更新版) 全网最全大关节影像解剖,不容错过(更新版) 影像科急诊必备手册,必点收藏 脊柱、脊髓解剖及常见疾病汇总(41篇) 乳腺解剖及影像学检查详细汇总 心胸系统文章汇总(132篇) 全网最全全身X线高清图谱
![]()
更多精彩医学影像内容,尽在鼎湖影像 权威医学影像公众号,欢迎您的关注↓↓
↓↓ 欢迎进入鼎湖学堂





