桥本甲状腺炎(Hashimoto thyroiditis),又称慢性淋巴细胞性甲状腺炎,是一种最常见的自身免疫性甲状腺疾病,也是原发性甲状腺功能减退症的最主要病因。在碘充足地区,人群中的患病率约为 1% - 2%。通过更敏感的诊断方法(如检测甲状腺自身抗体),在普通人群中,甲状腺自身抗体的阳性率可高达 10% - 15%,尽管其中许多人可能没有明显的临床症状。
桥本存在多种并发症,最常见的就是甲减,以及由甲减引起的疲乏、水肿、面容改变等等症状。但是有一种桥本引起的并发症虽然极其罕见,但症状却极度危险甚至致命。
这种并发症就是桥本脑病,一种极其罕见的中枢神经系统并发症(发病率约2.1/10万),病因不明,可能与自身免疫抗体攻击脑组织有关。表现为认知障碍、意识模糊、癫痫发作、肌阵挛(肌肉不自主抽动)和卒中样发作。通常对糖皮质激素治疗反应良好。
今天小编和大家一起来学习桥本脑病的FDG PET/CT表现。
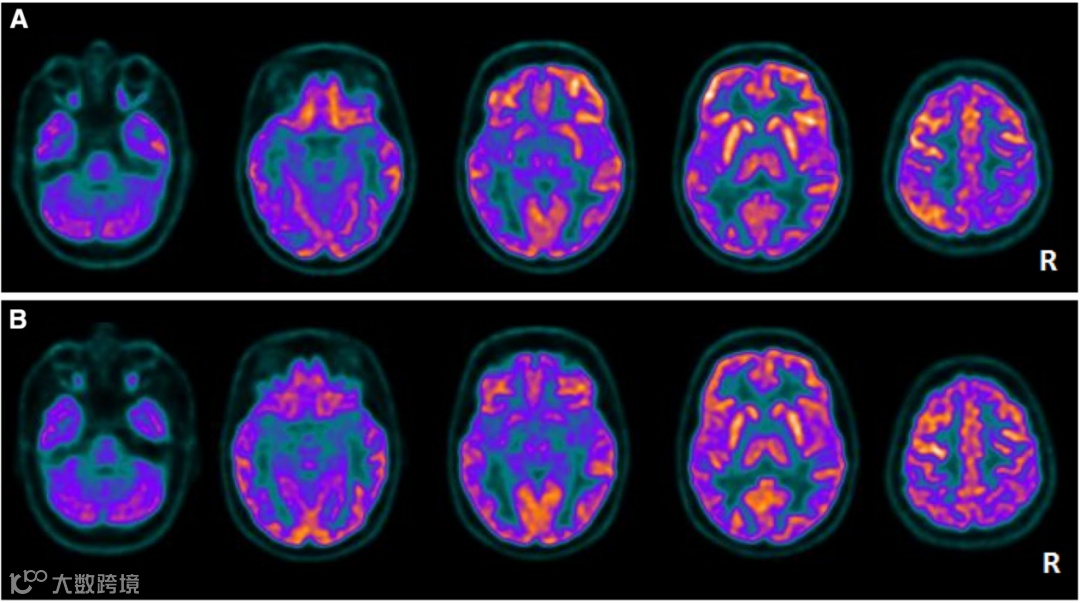
66岁男性桥本脑病病人,主诉症状记忆受损、进行性言语障碍、头晕、意识波动、平衡问题、失用症、四肢抽搐、情绪改变及幻觉。
激素治疗前后两次FDG PET扫描,间隔6个月。基线扫描显示双侧纹状体、双侧颞叶、双侧枕叶糖代谢减低侧别性不著。
68岁日本女性,既往无显著病史,出现记忆力减退一周,并因此影响了工作。期间她大体表现正常,但做饭等日常活动已出现轻度障碍。数日后意识开始模糊,继而出现嗜睡。第一次住院检查后考虑桥本脑病,大剂量激素冲击后好转。出院后2个月后复发,再次给予静脉甲泼尼龙冲击治疗,意识障碍改善后出院,但仍留有记忆力障碍。首次发病后7个月,记忆力障碍仍未改善,诊断为 “闷燃型” 边缘叶脑炎的桥本脑病,再次激素冲击。随访期(发病后12个月)在口服泼尼松9mg/天的维持剂量下,轻度认知障碍持续存在且无改善。
(A)初次发病时,液体衰减反转恢复序列显示双侧内侧颞叶肿大伴高信号。
(B)第二次发病时,MRI显示双侧内侧颞叶高信号病灶伴轻度萎缩。
(C)发病7个月后,MRI显示双侧海马萎缩伴高信号。
(D)发病12个月后,MRI表现与(C)相比未见显著变化。
图A显示FDG-PET可见左后海马病灶处高代谢(SUVavg 6.26,SUVmax 7.29);
图B显示该高代谢在激素治疗后改善(SUVavg 4.38,SUVmax 4.96);
图C显示启动激素治疗五个月后,高代谢改善得以维持。
一名19岁右利手罗马尼亚裔女性(既往体健、旅居意大利两年)先后发作两次全面性强直-阵挛发作。该患者无外伤史、传染性疾病史及药物酒精滥用史。除其姨母患有癫痫外,家族史无特殊。
脑电图显示前区低幅θ波活动轻度增加。神经系统检查无异常,脑部磁共振成像未见异常发现。最后依据实验室临床诊断为桥本脑病。
a 左侧颞叶、脑岛、同侧枕颞交界区及右侧顶上小叶深度低代谢
b 经血浆置换治疗三个月后脑葡萄糖代谢恢复正常。
小核提醒
桥本脑病的FDG PET可以提示炎症受累区域,通常呈现糖代谢减低,可为单侧,亦可为双侧多发;皮层与核团均可累及,与临床症状相关。FDG PET也可以作为桥本脑病的治疗后评估的影像学手段,在一些解剖结构受损不可逆的病人中可以通过SUV的变化来评价治疗效果。
小编推荐在基线评估时做全身PET,这样可以帮助除外副肿瘤综合征引起的脑炎。
·END·
精彩推荐:
力荐!医学影像专业必关注的8个公众号
全网最全的解剖图库,千万不要错过 300+神经、头颈系统超全影像文章汇总
全网最全头颅影像解剖学,不容错过(更新版) 全网最全大关节影像解剖,不容错过(更新版) 影像科急诊必备手册,必点收藏 脊柱、脊髓解剖及常见疾病汇总(41篇) 乳腺解剖及影像学检查详细汇总 心胸系统文章汇总(132篇) 全网最全全身X线高清图谱
![]()
更多精彩医学影像内容,尽在鼎湖影像 权威医学影像公众号,欢迎您的关注↓↓
↓↓ 欢迎进入鼎湖学堂






