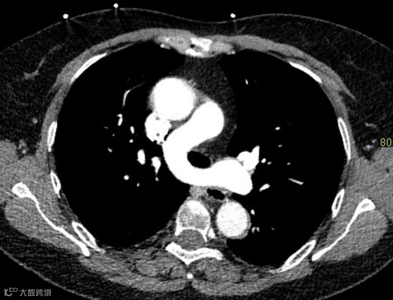
患儿,女,5月龄,喘鸣和反复胸部感染。
胸部CT增强图像如下:
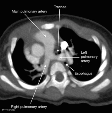
左肺动脉起源异常,由右肺动脉发出,在气管隆突上方与食管之间形成不完整的环状结构。双肺散在分布多发实变影。
左肺动脉吊带,伴双肺感染
同一患者,CT体积渲染示气管下半部分明显偏向右侧,在左肺动脉异常通过处,气管腔突然变窄,图像如下。
肺动脉吊带(pulmonary arter sling, PAS)又称先天性迷走左肺动脉,是一种罕见的先天性心血管畸形。其病理表现为左肺动脉起源于右肺动脉,走行在食管与气管之间,并环绕气管远段或右侧主支气管,到达左侧肺门,在气管远端和主支气管近端形成吊带,因此又被称为“吊带畸形”。
此图来源于百度百科
肺动脉吊带(箭头)
在胚胎发育过程中,左、右肺动脉从肺芽两侧发出,然后与两侧的第6对主动脉弓相连。如果以右侧第6弓由尾侧毛细血管经中线到达肺芽而形成左肺从的连结,那么左肺动脉的发育过程就落后于气管、支气管树的发育,形成血管环.其左肺动脉通常较右肺动脉长、并且较细小。
肺动脉吊带的危险性主要不在于心脏本身的功能,而在于它对气道和食道的压迫。
① 对气管的压迫(主要问题):
在肺动脉吊带中,气管狭窄通常有两种原因:
外压性狭窄: 直接被肺动脉吊带压迫所致。
合并“完全性气管环”: 这是一种更常见且更复杂的情况。正常气管后壁是软的膜状,前壁是C形的软骨环。而“完全性气管环”意味着气管的软骨环是一个完整的“O”形圆圈,导致气管本身就很狭窄、缺乏弹性(肺动脉吊带从后面一勒,更是雪上加霜)。肺动脉吊带患儿中,超过50%都合并有完全性气管环,形成所谓的“环-吊带”复合体,是造成气管狭窄的主要原因。
② 对食道的压迫(次要问题):
血管环同样会压迫食管,导致喂养困难、吞咽不畅、呕吐等。
呼吸窘迫症状比食管症状更为常见,通常在新生儿早期出现。
呼吸窘迫: 呼吸急促、费力,出现“三凹征”阳性(吸气时锁骨上窝、胸骨上窝、肋间隙凹陷)。
喘鸣: 呼吸时发出高调的、拉风箱样的声音,这是气道狭窄的典型标志。特点:呼气相的喘鸣更为明显。
反复的呼吸道感染: 因为气管狭窄,分泌物不易排出,容易导致反复肺炎、支气管炎。
喂养困难: 吃奶时喘憋加重,容易呛奶、呕吐。
特殊姿势: 有些孩子会不自主地保持头后仰的姿势,以尽可能地拉直气道,缓解呼吸困难。
胸部CT血管成像: 这是诊断本病的重要手段。它可以三维立体、清晰地显示出异常走行的左肺动脉,并能精确评估气管狭窄的程度、位置和长度,明确是否存在“完全性气管环”。
支气管镜: 可以直接观察到气管受压和狭窄的情况,是评估气道的重要工具。
心脏彩超: 有经验的医生可以通过心脏彩超怀疑或诊断肺动脉吊带,但它对评估气管情况帮助不大。
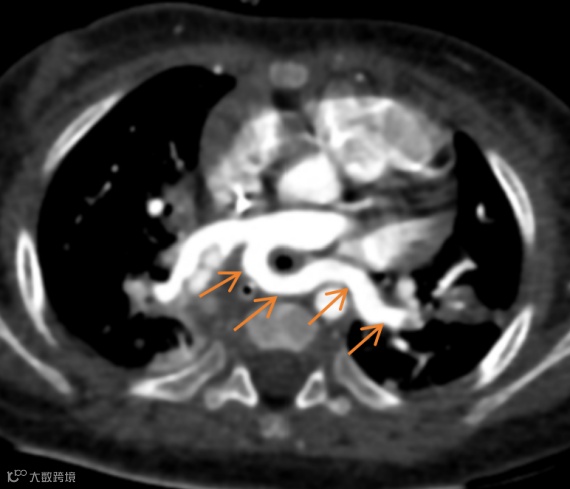
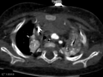
患儿,女,3月龄,出现喘息和喂养困难,肺动脉吊带,右位心。
轴位MIP图像显示心尖指向右侧,异常的左肺动脉(肺动脉吊带)起源于右肺动脉,穿过气管和食管之间,在气管远端分叉处导致管腔轻度狭窄,并压迫右主支气管使其近端狭窄,从而引起上呼吸道症状。
患儿,女,3月龄,既往肺动脉吊带修复术。
3D体积渲染显示远端气管存在短段狭窄。主支气管近乎水平(隆突呈倒T形)。
CT轴位显示气管远端呈僵硬“O”形环状的气管,提示存在完整的气管环,这通常与肺动脉吊带相关。
患者,女,60岁,外伤后行CT检查偶然发现肺动脉吊带,胸部CTA显示异常左肺动脉起源于右肺动脉主干,走行于气管和食管之间,压迫食管。
肺动脉吊带一旦确诊,几乎都需要手术治疗。 药物治疗只能缓解感染等并发症,无法解决根本问题。如果患儿合并严重的“完全性气管环”或其他原因导致的气管狭窄,单纯解除血管压迫是不够的,必须同时对狭窄的气管进行修复。
https://radiopaedia.org/articles/aberrant-left-pulmonary-artery-1?lang=us
贾秀川,王磊,孙吉林.迷走左肺动脉一例[J].临床放射学杂志,2010,29(2):266.
·END·
精彩推荐:
力荐!医学影像专业必关注的8个公众号
全网最全的解剖图库,千万不要错过 300+神经、头颈系统超全影像文章汇总
全网最全头颅影像解剖学,不容错过(更新版) 全网最全大关节影像解剖,不容错过(更新版) 影像科急诊必备手册,必点收藏 脊柱、脊髓解剖及常见疾病汇总(41篇) 乳腺解剖及影像学检查详细汇总 心胸系统文章汇总(132篇) 全网最全全身X线高清图谱
![]()
更多精彩医学影像内容,尽在鼎湖影像 权威医学影像公众号,欢迎您的关注↓↓
↓↓ 欢迎进入鼎湖学堂






