病例
-
男,56岁
主诉:发现肉眼血尿3年余,加重1周
现病史:患者3年前无明显诱因下出现无痛性肉眼血尿,无血块,自然缓解,未予重视;1 周前加重,全程肉眼血尿;夜间小便 6-8 次,有尿频尿急,无尿痛,无排尿困难,无畏寒发热,无腰痛腹痛等;门诊拟以“前列腺增生”收住入院
实验室检查: LDH:432U/L ↑ (参考值100-240U/L)
fPSA:1.48ng/mL ↑ (参考值0-1ng/mL)
tPSA: 8.32ng/mL ↑ (参考值0-4ng/mL)
-
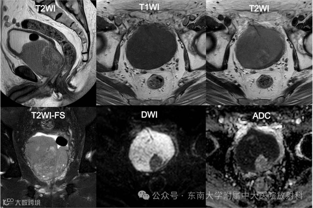
影像号:1217119452 2025-09-08 盆腔MR平扫
影像学表现
·END·
精彩推荐:
力荐!医学影像专业必关注的8个公众号
全网最全的解剖图库,千万不要错过 300+神经、头颈系统超全影像文章汇总
全网最全头颅影像解剖学,不容错过(更新版) 全网最全大关节影像解剖,不容错过(更新版) 影像科急诊必备手册,必点收藏 脊柱、脊髓解剖及常见疾病汇总(41篇) 乳腺解剖及影像学检查详细汇总 心胸系统文章汇总(132篇) 全网最全全身X线高清图谱
![]()
更多精彩医学影像内容,尽在鼎湖影像 权威医学影像公众号,欢迎您的关注↓↓
↓↓ 欢迎进入鼎湖学堂




