史上最困扰的问题:
耻骨下支与坐骨分界在哪里?
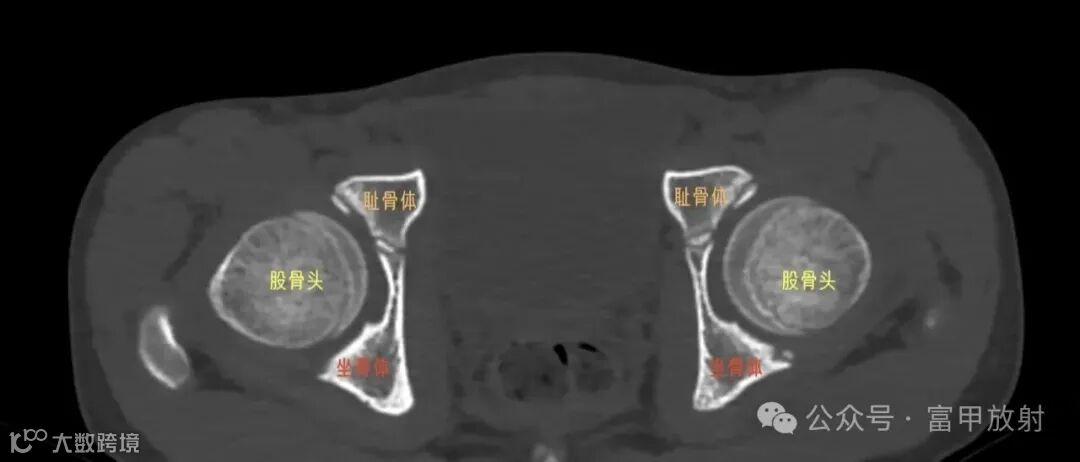
坐骨结节是坐骨支的突起,是腘绳肌等附着的地方,耻骨结节是耻骨上支内侧缘的突起,腹股沟韧带附着点,在X线上坐骨结节也许估计到,耻骨结节基本上找不到,在这基础上作测量定位置,可靠性会不理想。以下这个简单的方法也许可以帮助到你。

·END·
精彩推荐:
力荐!医学影像专业必关注的8个公众号
全网最全的解剖图库,千万不要错过 300+神经、头颈系统超全影像文章汇总
全网最全头颅影像解剖学,不容错过(更新版) 全网最全大关节影像解剖,不容错过(更新版) 影像科急诊必备手册,必点收藏 脊柱、脊髓解剖及常见疾病汇总(41篇) 乳腺解剖及影像学检查详细汇总 心胸系统文章汇总(132篇) 全网最全全身X线高清图谱
![]()
更多精彩医学影像内容,尽在鼎湖影像 权威医学影像公众号,欢迎您的关注↓↓
↓↓ 欢迎进入鼎湖学堂





