PET/CT检查已经成为临床工作必不可少的利器,在多种疾病的诊断中具有明显优势。如今越来越多县市级、区级医院安装设备,但是学习PET/CT检查及疾病诊断的资源却甚少。基于此,武汉市中心医院周俊芬教授在鼎湖影像建立公益专栏,为大家分享自己的临床经验,欢迎大家持续关注。
鼎湖影像原创投稿
转载需授权
作者 | 周俊芬
单位 | 武汉市中心医院
主诉:男,61岁。
现病史:患者无因“食欲明显减退十余天,伴乏力,纳差,近十余天体重减轻10余斤,无发热、腹泻、咳嗽或其他不适”。
既往史:高血压,糖尿病。
体格检查:神志清楚,皮肤、巩膜无黄染,锁骨上、腋窝、腹股沟可触及淋巴结肿大,腹平软,腹部无胃形,无肠形,无腹壁静脉曲张;腹壁柔软,全腹无压痛、无反跳痛,无腹部包块,肝肋下未及,胆囊无压痛,Murphy征阴性,脾肋下未及。
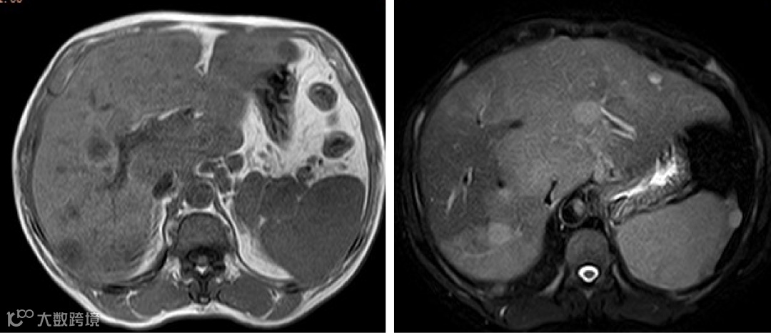
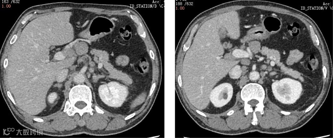
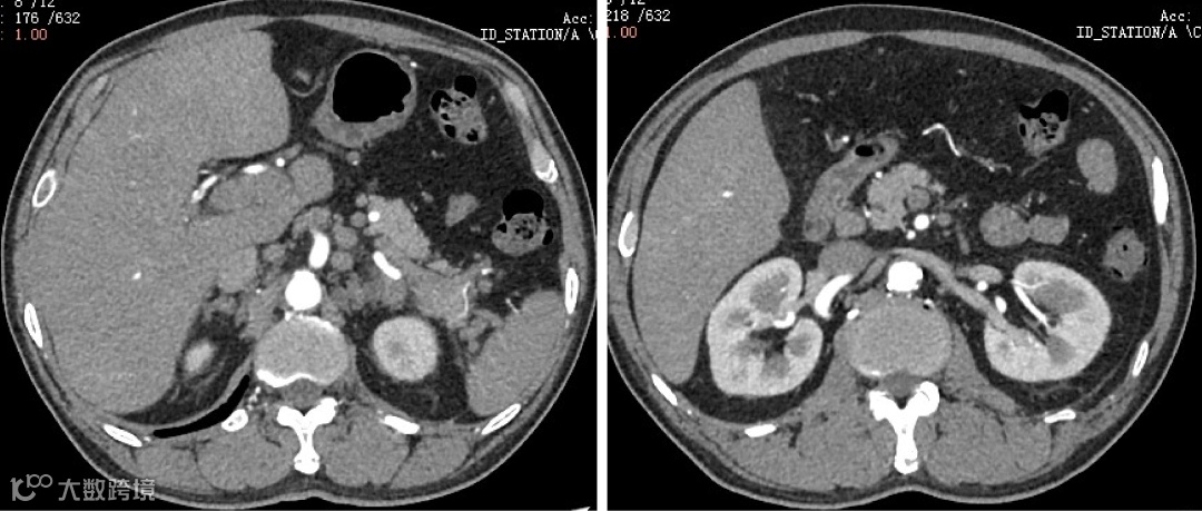
肝门区、胃小弯侧、腹膜后、腹主动脉旁多发淋巴结,部分肿大、融合,肝内多个弱强化结节,脾脏弱强化灶
肝内见多发片状、结节状长T1稍长/长T2异常信号影,DWI高信号
双侧内乳区、膈上、右侧膈肌脚区、肝门区、肝胃间隙、脾门区、腹膜后多发淋巴结,肝脾肿大,代谢增高;脊柱多个椎体及部分附件、双侧肱骨、双侧肩胛骨、双侧锁骨、双侧多根肋骨、胸骨、骨盆诸组成骨、双侧股骨上段多发代谢异常增高灶。
2025.09.09行淋巴结清扫术,病检示:(右侧颈部)淋巴结淋巴组织不典型增生,淋巴瘤不能除外。免疫组化:CD3、CD20、CD21、Ki-67、CD19、CD5、CyclinD1、SOX-11、CD23、CD10、BCL6、BCL2、CD38、κ、λ、CD43、IgD、MNDA、CD30、CD56、CD2、CD7、CD4、CD8、TIA-1、GranzymeB、PD-1、ICOS、CD79a、Pax-5、CD79b、P53、TdT示淋巴结内T淋巴细胞丰富,广泛分布,B淋巴细胞分布及表达异常。原位杂交检测:EBER(-)。2025-09-19,常规(后湖):(右侧颈部)淋巴结非霍奇金B细胞淋巴瘤,结合免疫组化,符合结内边缘区淋巴瘤。
免疫组化:CD20(+),CD19(+),CD79a(+),Pax-5(+),CD79b(+),CD21(示FDC网),CD23(-,示FDC网),BCL2(+),CD43(+),MNDA(+),IgD(-),CD10、BCL6(-,示残留生发中心+),CD38(结节内可见散在强阳性细胞),κ(-),λ(-),CyclinD1(-),SOX-11(-),CD30(-),CD56(-),CD3、CD5、CD2、CD7、CD4、CD8、TIA-1、GranzymeB、ICOS、PD-1(-,示结节内外T细胞未见明确抗原表达丢失及分布异常),P53(散在弱+),TdT(-),Ki-67约20%。
边缘区淋巴瘤(MZL)是一种起源于淋巴滤泡边缘区B细胞的惰性非霍奇金淋巴瘤(NHL),是第二大惰性淋巴瘤。多数进展缓慢,部分可长期生存。整体预后较好,边缘区是记忆性B细胞,增殖很慢,所以是惰性淋巴瘤,中位生存期可超过10年。大约20%的患者会在2年内复发或进展。
有转化可能:大约5-10%的MZL可能转化为侵袭性淋巴瘤,如弥漫大B,故在FDG-PET/CT引导下穿刺活检有助于准确分期,当病灶代谢异常增高,有向侵袭性淋巴瘤转化可能。
WHO将边缘区淋巴瘤分为五类:粘膜相关淋巴组织结外边缘区淋巴瘤(MALT或EMZL)。
脾边缘区淋巴瘤(SMZL),淋巴结边缘区淋巴瘤(NMZL)、原发皮肤边缘区淋巴瘤(PCMZL)、儿童型边缘区淋巴瘤(pNMZL)。
中老年人多见,中位年龄61岁。
MALT与慢性炎症(如幽门螺旋杆菌胃炎等)、或自体免疫性疾病相关,最常累及胃,其次眼眶、腮腺、肺、小肠。
淋巴结边缘区是淋巴结结构中重要组成部分,位于淋巴结滤泡套区外侧,为淋巴结与血液循环之间进行物质交换和信息传递的重要区域。在感染、炎症、肿瘤性病变情况下,边缘区可出现增生并扩大。
MZL 疗效评价方式应采取与疾病诊断时相同的检测方式,主要的影像学方法为增强 CT 和 MRI,如诊断时采用 PET-CT,也可通过前后 PET-CT 进行评估。
[1].中国抗癌协会血液肿瘤专业委员会,中华医学会血液学分会淋巴细胞疾病学组,中国临床肿瘤学会(CSCO)淋巴瘤专家委员会,等. 边缘区淋巴瘤诊断与治疗中国指南(2025 年版)[J]. 中华血液学杂志,2025,46(10):881-890
[2].laggio R ,Amador C ,Anagnostopoulos I ,et al. The 5th edition of the World Health Organization Classification of Haematolymphoid Tumours: Lymphoid Neoplasms[J]. Leukemia, 2022,36(7):1720-1748. .
[3].Campo E ,Jaffe ES ,Cook JR ,et al. The International Consensus Classification of Mature Lymphoid Neoplasms: a report from the Clinical Advisory Committee[J]. Blood, 2022,140(11):1229-1253.
[4].中国抗癌协会血液肿瘤专业委员会,中华医学会血液学分会淋巴细胞疾病学组,中国惰性淋巴瘤协作组. 惰性B细胞淋巴瘤诊断与鉴别诊断中国专家共识(2025 年版)[J]. 中华血液学杂志,2025,46(07):601-610.
武汉市中心医院 副主任医师
武汉市医学会核医学分会委员
湖北省抗癌协会肿瘤核医学专业委员委员
临床肿瘤学会分子影像专业委员会委员
湖北省中西医结合影像专业委员会委员
中华医学会放射学分会青委会骨关节学组青年委员
武汉市医学会放射专业委员会青年委员
擅长:肿瘤影像诊断,多模态影像诊断
武汉市中心医院呼吸与危重症医学科是是国家规范化建设三级医院优秀单位、首批国家级呼吸内镜医师培训基地之一、间质性肺疾病规范化诊疗中心优秀单位,开展肿瘤消融、冷冻肺活检、支气管瘘封堵术、单向活瓣肺减容术、困难异物取出术等四级手术;胸腔镜下胸壁活检、胸膜粘连松解术、胸腔镜下病损冷冻术等微创手术;经皮肺肿瘤射频消融术、微波消融术、氩氦刀冷冻治疗、125I粒子植入术、支气管动脉灌注及栓塞术、肺动脉栓塞术、肺动脉支架置入隔绝术、上腔静脉支架植入术、肺静脉支架植入术等。年均手术量超5000台/年,呼吸介入水平达国内领先水平。开展血流动力学监护(PICCO)、连续性血液净化(CRRT)及体外膜肺氧合(ECMO)等。国家科技部重点专项1项,国家自然科学基金项目4项,5年内发表SCI论文40余篇,单篇最高影响因子达202.73。
依托强大的呼吸科团队,医院肺部影像诊断得到持续性快速发展。

华中科技大学同济医学院附属武汉中心医院 华中科技大学同济医学院第五临床学院 江汉大学临床医学院及研究生联合培养基地 湖北中医药大学教学医院及研究生联合培养基地 湖北医药学院研究生联合培训基地
跨越三个世纪,百年名院,一院三区(南京路、后湖、杨春湖院区),在职职工4860人,编制病床3700张,首批国家住院医师规范化培训基地,医疗、教学、科研、预防、培训为一体的现代化三级甲等医院,目前长江新城院区在建中。
·END·
精彩推荐:
力荐!医学影像专业必关注的8个公众号
全网最全的解剖图库,千万不要错过 300+神经、头颈系统超全影像文章汇总
全网最全头颅影像解剖学,不容错过(更新版) 全网最全大关节影像解剖,不容错过(更新版) 影像科急诊必备手册,必点收藏 脊柱、脊髓解剖及常见疾病汇总(41篇) 乳腺解剖及影像学检查详细汇总 心胸系统文章汇总(132篇) 全网最全全身X线高清图谱
![]()
更多精彩医学影像内容,尽在鼎湖影像 权威医学影像公众号,欢迎您的关注↓↓
↓↓ 欢迎进入鼎湖学堂




