
来源:懋式百科全书
本文2603个字,9幅图片,5篇相关文章,建议阅读时间15分钟。
关键词:DWI, MPG, B factor, T2WI, TSE/FSE, EPI
看了这个标题,大家可能想,有人会用DWI中b=0的图代替T2WI吗?或者这个问题有讨论的必要吗!
理论上来讲,DWI中b=0的图像和常规的FSE/TSE扫描得到的T2WI,差别还是很大的。也就是从图像质量来说,b=0的图像肯定不可能代替常规T2WI。
那么本期写这个内容不光是为了回答这一个问题,而是延伸出一些知识点,包括提出这个问题的背景。
首先简单说说DWI中b=0的图到底是个啥?比如什么序列结构,什么权重。
图中所示,常规的SE-EPI ssh序列结构如下。实际上这个序列可以分解为两个。前面90°-180°是典型的自旋回波SE序列。然后信号采集(或者叫读出部分),使用EPI采集。
用EPI采集信号实际上在临床中并不少见,有时候为了做紧急情况下患者,需要快速扫描,我们会采用EPI来进行。比如T2-FLAIR序列,常规就是IR-TSE结构;为了快速成像,可以做FLAIR-EPI。
常规的DWI序列除了SE-EPI结构,在180°脉冲两侧还加了1~2对梯度。这个梯度的作用就是探测水分子扩散,所以这一对或者两对梯度又叫做运动探测梯度(motion probe gradient, MPG)。
对于DWI序列来讲,另外一个重要的参数是B值,也就是扩散敏感因子。B值(单位每平方毫米多少秒,s/mm2),是对扩散运动表现的敏感度,是对扩散运动能力检测的指标。
B值与施加的扩散敏感梯度场强、持续时间和间隔有关。B值越大,对弥散(扩散)运动越敏感,但是图像SNR越低。
那么我们常规做DWI序列,至少有一个高B值的图像,比如b=1000或者b=800。这里b值越大,检测水分子扩散能力越强,但是图像信噪比越低。
b=0的图,理论上大家可以理解为没有加MPG(扩散探测梯度)。所以,b=0的图,理论上就是一个EPI采集的T2*WI图像。
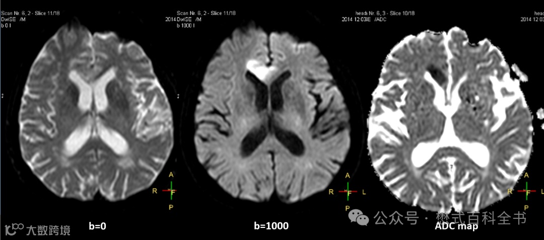
图4所示,是一个头颅常规的DWI序列,扫描两个b值,b=0和b=1000,然后计算一个ADC图。
其中,b=0的图,大家可以发现,脑脊液是高信号(亮的),灰白质对比也和常规T2WI类似。这个图像可以等效地理解为EPI采集的T2*WI,它的对比度或者权重就是T2或者T2*。
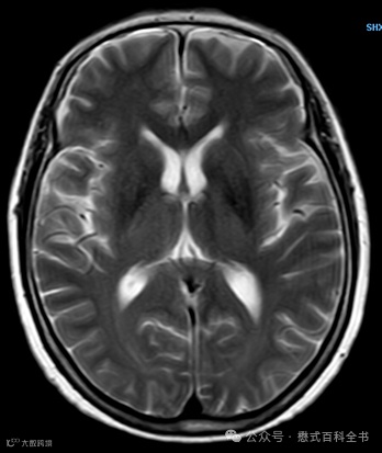
我们放一个常规的TSE T2WI图像看看(这个常规T2WI,扫描非常快,也是24s做完,故意没有放太好的T2WI图,这样好比较)。
在头颅里,我们可以比较一下,b=0的图和常规的TSE T2WI有什么区别。
1.空间分辨率不同:常规的T2WI空间分辨率更高,而b=0的图则相对空间分辨率低一点;
2.脂肪抑制:常规的头颅TSE T2WI一般很少做脂肪抑制(当然你也可以加);而DWI b=0的图,一般是加了脂肪抑制;
3.形变:常规的头颅TSE T2WI很少形变;而DWI b=0的图像,在磁敏感区域会有形变distortion;
4.对静磁场均匀性敏感度:常规TSE T2WI对静磁场均匀性不敏感;而DWI b=0的图则非常敏感。
这几点不同实际上都是序列结构导致的:常规的TSE T2WI是FSE/TSE序列采集的;而DWI中b=0的图像是EPI采集的。
图7是DWI图像的对比度权重。如果b值越大,则DWI的权重越大。如果b值越小,比如极端情况下,b=0,那么这个b=0的DWI理论上权重就不含Diffusion,只含T2或T2*权重。从权重这一点来说,DWI中b=0的权重和常规T2WI权重都是T2(或T2*)。
回到前面的问题,DWI中b=0的图能否代替T2WI。
从单个图像效果,成像时间,性价比考虑,肯定是不行的,没有那个必要。目前的MRI技术,扫描一个TSE T2WI,扫描时间快的也就40s~1分钟,得到的T2WI质量远远高于b=0图。
但是,如果从整个检出部位来看,比如头颅扫描,这个患者做了增强。那么有些医院就会省略T2WI。
因为从序列诊断效能来讲,都做了增强扫描,肯定是增强扫描序列的诊断效能最高。这是其一。
其二,扫描头颅,有很多序列,包括:T1WI-IR、T2-FLAIR、DWI(两个b值和ADC图)、T1WI+C。这些序列都有了,而且也有T2-FLAIR。那么我省略一个T2WI,理论上对诊断没有啥影响。
这种情况下,没有T2WI序列,有些医生就会看DWI中b=0的图像。
前面说的T2WI对整体诊断结构影响不大,是建立在这个头颅扫描中,其他序列很全面了。
对于头颅来讲,常规的DWI一般扫描两个b值,b=0和b=1000。而对于腹部或者前列腺来讲则不同。
肝脏扫描,常规脂肪抑制的T2WI序列诊断效能还是挺高的,一般来讲不会去省略它。即使这个肝脏扫描序列有全套,包括动态增强扫描。也很少有医院省略一个T2WI。
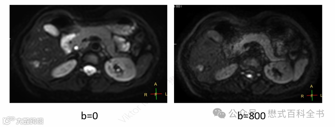
图8:肝脏扫描DWI:b=0和b=800(屏气扫描,19s)
不仅不会省略T2WI,有时候还会增加一个低b值的DWI图像。这个低b值不是b=0,而是b=20或50。
图9:T2WI-fs(左)和b=8的低b值DWI图像(右)
上图可以发现,常规的肝脏T2WI-fs,虽然图像信噪比高,空间分辨率也不错,但是肝脏的脉管系统是高信号。而采用了低b值的DWI,抑制了肝脏内脉管信号,对于一些小病变的检出就更敏感了。
对于前列腺来讲,其bp-MRI中主要推荐的扫描序列就是高分辨率的T2WI和DWI。所以,不可能用DWI中的b=0去代替常规的T2WI。
前文链接:前列腺DWI如何选择b值?
最后是讨论的结论:
1.对于头颅扫描来讲,如果检出序列全(包括T2-FLAIR,DWI,增强扫描),省略T2WI,用DWI中b=0的图像来代替,对于诊断基本上影响不大;
2.对于肝脏和前列腺等,则其TSE T2WI序列的诊断效能更高,其作用不可替代。

精彩推荐:
↓↓ 欢迎进入鼎湖学堂