我们知道,CT成像速度快;对肺、骨皮质的显示具有先天优势;但其电离辐射不可避免。而MRI无电离辐射;软组织分辨力高;但成像速度慢,且对肺、骨皮质的显示是恰是其技术短板。
随着MRI软硬件的不断发展和技术的成熟,MRI存在的短板正在被逐一攻克。其中,以零回波时间成像技术(ZTE)为代表的“MRI类CT”成像技术异军突起,正深刻改变着临床成像格局。
ZTE序列通过其独特的成像原理,改变了骨皮质在传统MRI序列上总是“沉默的黑色”的现状,能像CT一样清晰显示其骨质细节,实现了对传统MRI序列“盲区”——超短T2(横向弛豫时间)组织的直接成像,被广泛用于骨骼、血管,肺实质等结构的成像。
ZTE改变了骨皮质在传统MRI序列上总是“沉默的黑色”的现状,能像CT一样清晰显示其骨皮质细节。
ZTE成为目前临床实践中应用最广泛、也最受瞩目的“类CT”成像解决方案。目前我们所说的“类CT”成像往往指的就是ZTE成像。
ZTE序列与传统序列的本质区别:
ZTE成像是超短回波(ultra-short echo time,UTE)技术家族的扩展,用梯度的缓慢攀升来代替其两极切换,并采用激发后立即从K空间中心开始径向采样的模式,能有效提高组织信号的采集效率,可对具有超短横向弛豫时间的组织进行各向同性采集,是一种3D径向K空间填充成像技术(各厂家解决方案可能存在一定的差异)。
时序颠覆:在射频脉冲激发质子前,用于空间编码的三维径向梯度场已经开启并处于稳定状态。
超短采集:随后,使用超短硬脉冲进行激发后,系统能在微秒级别内(受限于软硬件切换极限)立即开始采集信号,其有效回波时间无限接近于零,可捕捉到那些“转瞬即逝”的信号。
对比度特性:由于TE极短,图像基本消除了T2权重,初始对比度以质子密度加权和T1加权为主。通过对原始图像进行后处理(将获得原始图像灰度反转后的“负图”),可以使骨皮质等致密组织呈现类似CT的高信号,实现“类CT”成像效果。
其原始对比度主要反映组织的质子密度和T1弛豫特性。上图△,FA=1°,体素0.8*0.8*0.8mm。
经过从黑到白的灰度反转后,能产生与X线片或CT极为相似的对比度,从而实现直观的“类CT”视觉效果。
从ZTE序列的原理我们可以看到它的核心优势:
1.静音。ZTE采用非常小的翻转角(1-5°),仅小幅度的梯度变化,其极大的减少了噪音。
2.对运动伪影相对不敏感。ZTE采用3D spiral的径向K空间的特殊填充方式,中心位置被反复重复填充,降低对运动的敏感性。如对眼球成像、血管迂曲处成像更具优势。
3.对磁场均匀性不敏感。ZTE由于其信号采集时间只需要几微秒,所以相位变化及错误累积少。如在有金属植入物方面更具优势。
4.实现短T2/超短T2组织的成像。ZTE能实现几乎0 TE(无法完全为0),能够捕获骨皮质、肌腱、肺实质等短T2/超短T2组织在常规序列中无法采集到的信号;
上图△,肺部成像。成像FA =2°,体素1.0*1.0*1.0mm。
ZTE技术主要的临床应用:
|
|
|
|
|---|---|---|
| 1. 静音扫描 |
|
|
| 2. 对运动与磁场不均匀性不敏感 |
|
|
| 3. 实现超短T2组织直接成像 | 接近零的TE,使其能够捕获骨皮质、肌腱、韧带、肺实质、牙齿等组织内转瞬即逝的超短T2信号。 | 骨骼肌肉系统:清晰显示骨折线、骨侵蚀等。肺部:实现无辐射的肺结节筛查与随访。口腔:高分辨显示牙釉质、牙本质、龋坏,实现“牙科MRI”。 |
| 4. 理想的衰减校正图源 |
|
|
ZTE能实现牙齿的成像,清晰区分牙釉质、牙本质和牙髓腔,甚至能检测早期龋坏,展示了在口腔医学中的应用前景。
上图△,肋骨成像。成像FA =2°,体素1.0*1.0*1.0mm。
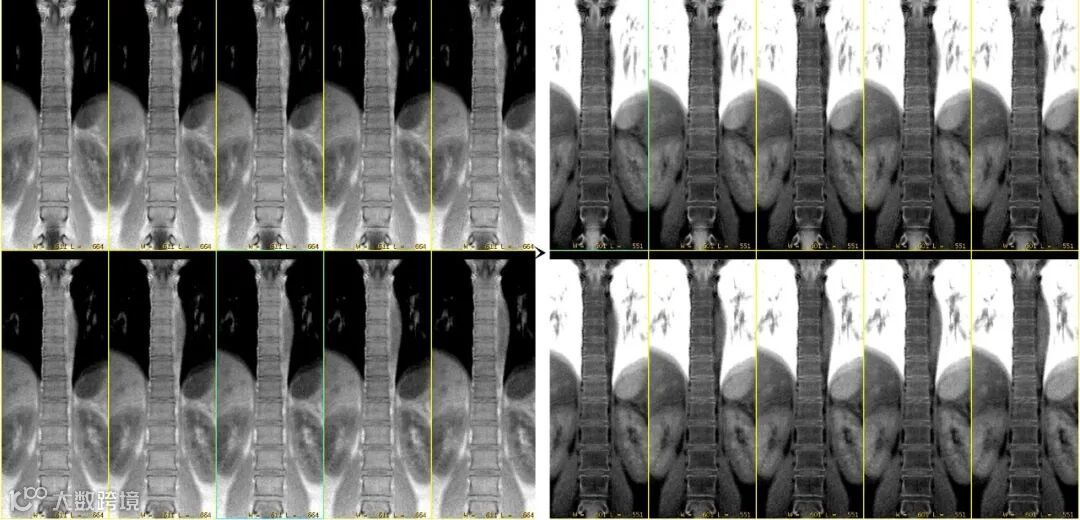
上图△,椎体成像。成像FA =2°,体素1.2*1.2*1.2mm。
在实际扫描中应注意哪些技术要点:
翻转角FA:FA越大,信噪比越高,但随着FA的增加骨质与周围软组织对比度会变差,如下图▽。
带宽:增加带宽虽然信噪比会降低,但可改善化学伪影伪影,特别是在不压脂的情况下。磁场越高,建议使用的带宽则越大。
重复(激励)次数和K空间填充密度:这两个越大,其信噪比越高,但其扫描时间越长。
分辨率:ZTE通常能实现各向同性或接近各向同性的3D,但其空间分辨率仍不及X线片和CT,实际扫描中需在分辨率、信噪比和扫描时间之间取得平衡。
参考文献:
李绍林,洪楠.MR超短/零回波时间技术在骨骼肌肉系统中的应用现状与未来展望[J].中国医学影像技术,2025,41(8):1273-1279.DOI:10.13929/j.issn.1003-3289.2025.08.015.
窦晗,王晓明.磁共振零回波成像应用进展[J].磁共振成像,2022,13(2):167-170.DOI:10.12015/issn.1674-8034.2022.02.042.
王聪,王娅,鲁毅,孙学进.磁共振零回波时间(ZTE)序列技术研究[J].放射学实践,2021,36(10):1321-1325.DOI:10.13609/j.cnki.1000-0313.2021.10.024.
·END·
精彩推荐:
力荐!医学影像专业必关注的8个公众号
全网最全的解剖图库,千万不要错过
300+神经、头颈系统超全影像文章汇总
全网最全头颅影像解剖学,不容错过(更新版)
全网最全大关节影像解剖,不容错过(更新版)
影像科急诊必备手册,必点收藏
脊柱、脊髓解剖及常见疾病汇总(41篇)
乳腺解剖及影像学检查详细汇总
心胸系统文章汇总(132篇)
全网最全全身X线高清图谱
更多精彩医学影像内容,尽在鼎湖影像
权威医学影像公众号,欢迎您的关注↓↓
↓↓ 欢迎进入鼎湖学堂





