中央沟:从冠状平面将大脑分成额叶和顶叶的脑沟。
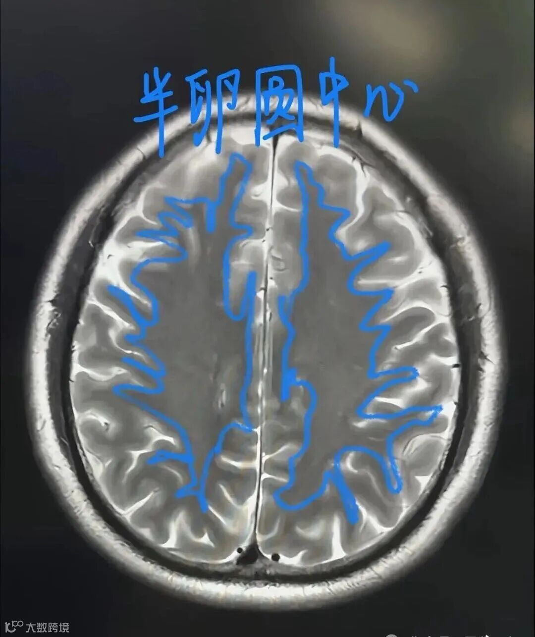
半卵圆中心:指脑室上部的脑白质区域(层面上不出现侧脑室)
放射冠:指两侧侧脑室周围的脑白质层面。
顶枕沟:枕叶与顶叶的分界,位于大脑半球内侧面的后部
·END·
精彩推荐:
力荐!医学影像专业必关注的8个公众号
全网最全的解剖图库,千万不要错过
300+神经、头颈系统超全影像文章汇总
全网最全头颅影像解剖学,不容错过(更新版)
全网最全大关节影像解剖,不容错过(更新版)
影像科急诊必备手册,必点收藏
脊柱、脊髓解剖及常见疾病汇总(41篇)
乳腺解剖及影像学检查详细汇总
心胸系统文章汇总(132篇)
全网最全全身X线高清图谱
更多精彩医学影像内容,尽在鼎湖影像
权威医学影像公众号,欢迎您的关注↓↓
↓↓ 欢迎进入鼎湖学堂





