患者,女,55岁,长期腹泻、体重减轻和缺铁性贫血。
CT小肠造影如下
口服造影剂后CT平扫


CT增强扫描静脉期




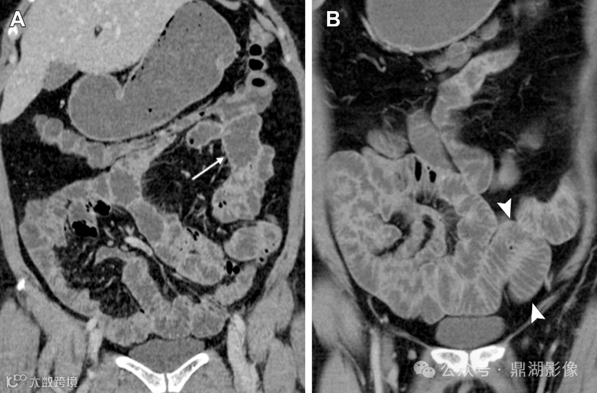
CT小肠造影显示回肠袢轻度扩张,回肠皱襞增多、空肠皱襞减少,并伴有多个肠系膜淋巴结肿大。未发现肠套叠、狭窄或肿块形成等征象。
乳糜泻
肉眼:
标本为福尔马林浸泡的十二指肠黏膜,由两块乳白色软组织组成,尺寸为:0.4*0.3*0.2cm。
十二指肠黏膜的显微镜检查显示上皮内淋巴细胞增多,绒毛明显萎缩,隐窝增生。
乳糜泻
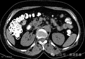
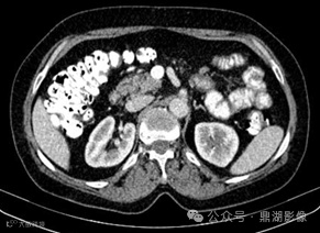
空回肠皱襞模式反转
空回肠皱襞模式反转(称为回肠空肠化,空肠皱襞减少,回肠皱襞增加)是乳糜泻最特异的征象,文献报道其敏感性和特异性(阳性预测值和阴性预测值)接近100% 。 5cm距离内回肠皱襞数量多于空肠皱襞数量时,则被认为是阳性。
乳糜泻,又称麸质敏感性肠病,是一种常见的小肠炎症性疾病,其特征是近端小肠绒毛萎缩。该病由遗传易感个体摄入麸质后引发的免疫反应介导。麸质是指小麦、大麦、黑麦及其杂交谷物中的一类蛋白质,少数情况下也包括燕麦。
临床表现为胃肠道吸收不良,出现腹泻、便秘、腹痛和腹胀等症状。
乳糜泻的诊断必须通过活检确诊。典型的组织学特征包括上皮内淋巴细胞(IELs)增多、隐窝增生和绒毛萎缩。
CT和MR小肠造影中,空回肠皱襞模式反转和肠系膜淋巴结肿大是乳糜泻的特征性表现。疾病的严重程度差异极大,从节段性受累到弥漫性小肠受累不等,但最常累及近端空肠。
在CT和MR小肠造影图像上观察到每英寸(=2.54cm)肠段的皱襞少于或等于3个,则认为空肠皱襞密度降低。在重度乳糜泻中,空肠皱襞可能完全消失。在慢性炎症的情况下,回肠皱襞密度可能代偿性增加,定义为每英寸超过5个皱襞,以增加小肠表面积。皱襞数量的增加代表回肠对空肠吸收能力下降的一种适应。
其他影像学特征包括十二指肠炎、小肠扩张和短暂性肠套叠。未经治疗的乳糜泻会导致小肠慢性炎症,增加小肠肿瘤、狭窄以及进展为难治性乳糜泻的风险。
图1.三例乳糜泻患者的CT小肠造影及组织学相关性分析。(A–C)冠状位静脉注射对比剂增强CT小肠造影图像显示十二指肠皱襞正常(A图箭头所示)、十二指肠皱襞数量减少(B图箭头所示)以及十二指肠皱襞完全消失(C图箭头所示)。(D)组织学评估的显微照片显示绒毛发育正常,上皮内淋巴细胞(IEL)计数正常。(苏木精-伊红(HE)染色;原始放大倍数×10。) (E)显微照片显示部分斑片状绒毛萎缩和IEL增多(>30%)。(HE染色;原始放大倍数×10。) (F)组织学评估的显微照片显示绒毛完全萎缩和上皮内淋巴细胞增多。(HE染色;原始放大倍数×20。)
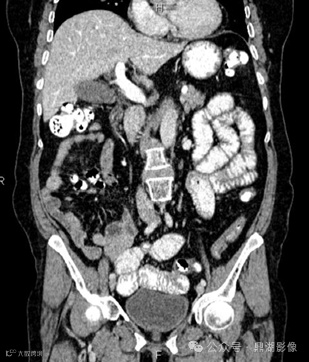
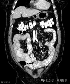
图2.患者,女,59岁,乳糜泻。静脉注射对比剂增强CT小肠造影冠状位图像显示小肠皱襞模式反转,表现为空肠皱襞数量减少(A中的箭头),这是由于绒毛萎缩所致;回肠皱襞数量增加(B中的箭头),代表回肠空肠化,这是对吸收不良的一种代偿。
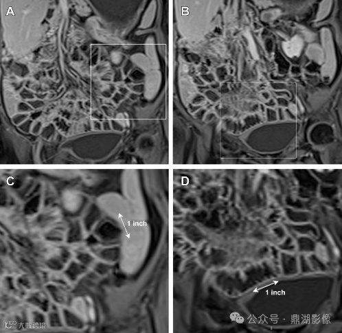
图3.磁共振小肠造影对肠皱襞模式的评估。(A, B)静脉注射对比剂增强MRI小肠造影 T1WI脂肪抑制冠状位图像显示空肠(A)肠皱襞数量减少,回肠(B)肠皱襞数量增加。(C, D)空肠(C)和回肠(D)的放大图像更清晰地显示了肠皱襞模式的反转。双箭头表示每英寸的肠皱襞数量。
与单纯回肠空肠化的患者相比,空回肠皱襞模式反转的患者腹泻和吸收不良的持续时间往往更长。采用无麸质饮食治疗后,肠黏膜皱襞模式能否恢复正常取决于治疗开始时绒毛萎缩的程度和疾病的严重程度。病情较重和/或绒毛完全萎缩的患者恢复率较低,而恢复率较高的患者并发症风险和死亡率较低。建议对这些患者进行活检以确认黏膜恢复情况,中位时间约为3.8年。
参考文献
https://pubs.rsna.org/doi/10.1148/rg.230122
https://radiopaedia.org/articles/jejunoileal-fold-pattern-reversal?lang=us
·END·
精彩推荐:
力荐!医学影像专业必关注的8个公众号
全网最全的解剖图库,千万不要错过 300+神经、头颈系统超全影像文章汇总
全网最全头颅影像解剖学,不容错过(更新版) 全网最全大关节影像解剖,不容错过(更新版) 影像科急诊必备手册,必点收藏 脊柱、脊髓解剖及常见疾病汇总(41篇) 乳腺解剖及影像学检查详细汇总 心胸系统文章汇总(132篇) 全网最全全身X线高清图谱
![]()
更多精彩医学影像内容,尽在鼎湖影像 权威医学影像公众号,欢迎您的关注↓↓
↓↓ 欢迎进入鼎湖学堂






