鼎湖影像综合整理
转载需授权
在人类医学中,影像检查的应用已经很普遍了,你可能不知道的是,动物医学中影像检查的应用也非常之多,生活中你还见过哪些小动物做检查的场景?
给动物做影像检查

马除了卧位,竟然还立位机器

大猩猩麻倒了还能插管
就...挺像人的
太长扫不完的可能得折叠一下
不知道会不会有伪影
鱼不能平放吗?
为什么要插在海绵里
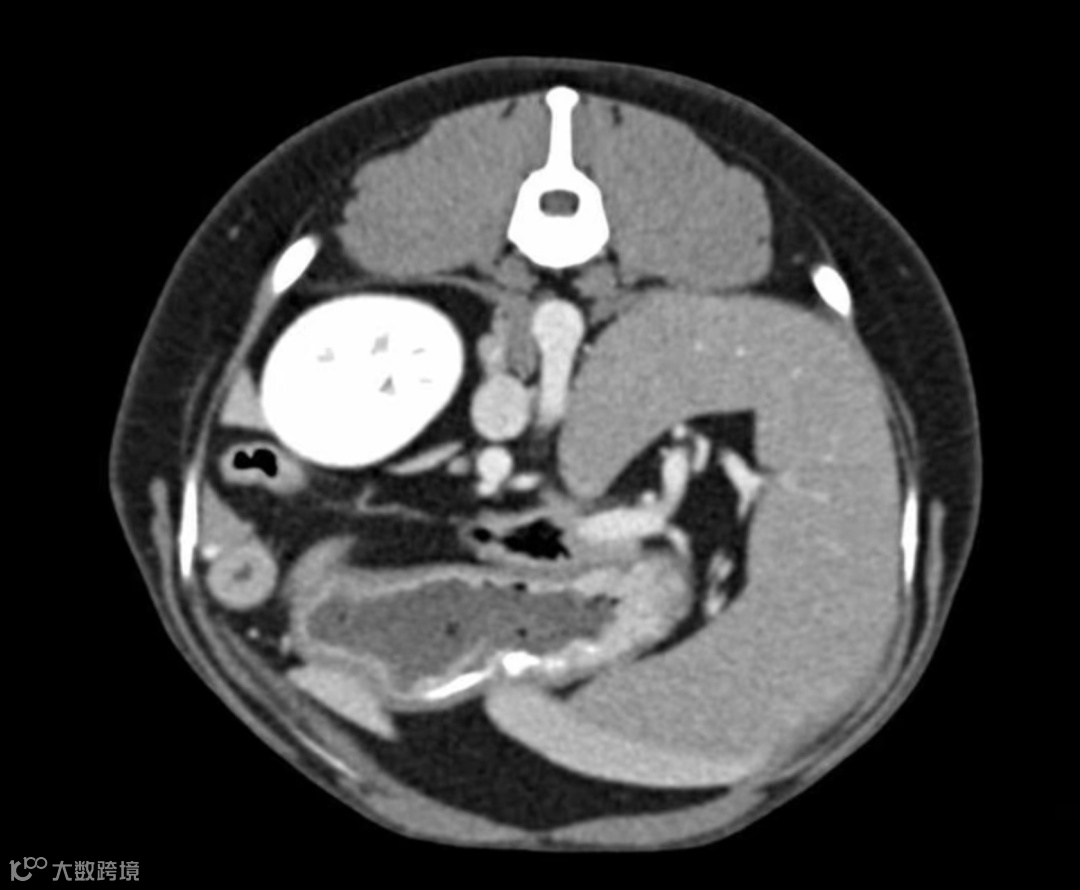
狗的轴位CT图
你认得出哪几个器官呢?
第三、四脑室双侧侧脑室形态扩张
动物疾病诊断
右侧鼻腔及额窦见软组织占位影,增强见不均匀强化,周围骨质见溶骨性改变,你的诊断?
多平面重建MPR:
三位重建显示骨盆骨折:

可以看出,小动物除了在做检查的时候比人类困难😅,诊断难度好像没有高很多?
·END·
精彩推荐:
力荐!医学影像专业必关注的8个公众号
全网最全的解剖图库,千万不要错过 300+神经、头颈系统超全影像文章汇总
全网最全头颅影像解剖学,不容错过(更新版) 全网最全大关节影像解剖,不容错过(更新版) 影像科急诊必备手册,必点收藏 脊柱、脊髓解剖及常见疾病汇总(41篇) 乳腺解剖及影像学检查详细汇总 心胸系统文章汇总(132篇) 全网最全全身X线高清图谱
![]()
更多精彩医学影像内容,尽在鼎湖影像 权威医学影像公众号,欢迎您的关注↓↓
↓↓ 欢迎进入鼎湖学堂




