放射科常见的诊断错误和偏差(三)
影像诊断中诊断错误主要分为两大类:感知错误和认知错误。感知错误可以通俗地被认为是“漏诊”,即未观察到主要或者关键的发现。认知错误可以通俗地被认为是“误诊”,也就是发现了影像异常,但是将影像异常归因于错误的疾病诊断分类,也包括虽然对影像异常的诊断分类大致正确,但是由于认知偏倚,存在解读不足或者过度解读。
本系列将通过一些实际案例来具体学习这两种误诊原因造成的影像诊断错误和偏差并提出相应的解决方案,从而为放射科医生的临床实践提供帮助。
本期主要介绍的是与临床信息提供/了解不足有关的漏诊和误诊。
1.临床信息提供不足
阅片盲区是发生感知错误的常见客观原因,这种临床提供的申请单往往是放射科医生获得病史的唯一途径。如果放射科医生没有仔细阅读申请单,或者临床医生没有在申请单上写清楚病情或者即时更新病人的临床状况,放射科医生就缺乏足够的信息来做出准确判断,往往会导致漏诊或误诊。
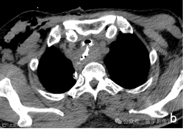
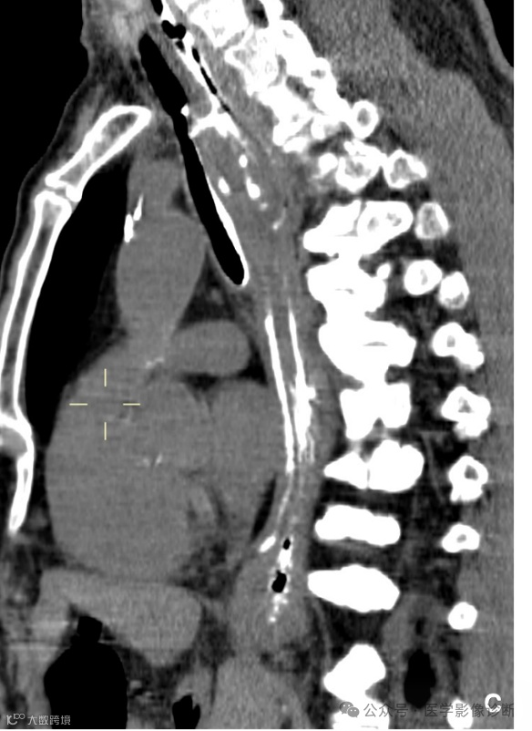
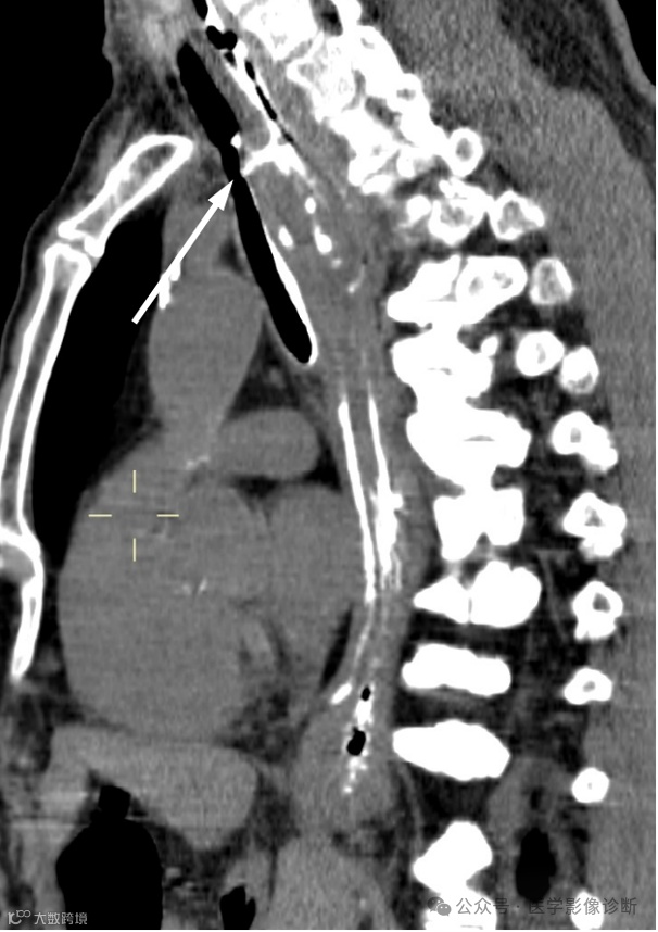
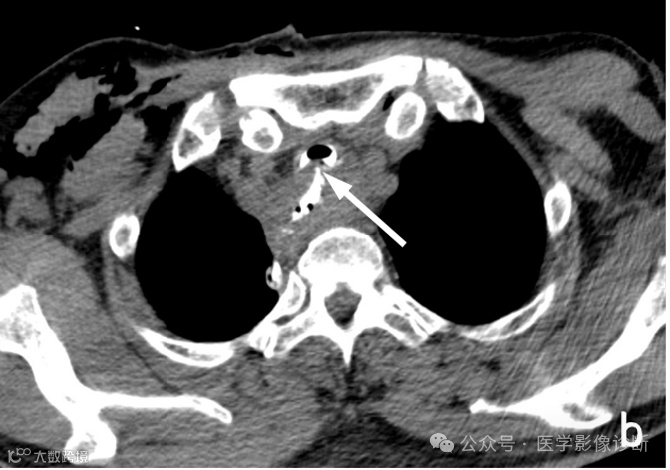
患者,男性,67岁,食管癌术后。
轴位 CT 显示食管癌术后变化(a, b)。然而,由于临床提供的申请表没有提醒,放射科医生只描述了术后变化,没有提及气管食管瘘。多平面成像(MPR)可以更好地显示瘘管。根据口服造影剂的使用情况,放射科医生应该明白医生想要观察是否发生了瘘管。
2.对术后并发症不敏感
放射科医生对术后并发症的识别和判断通常不如外科等临床医生敏感,尤其是对某些术后并发症(如坏死、感染、出血、脏器损伤等)的早期影像学表现。若临床信息未能及时反映患者术后的病情变化,放射科医生可能会忽视这些并发症,导致诊断上的疏漏。
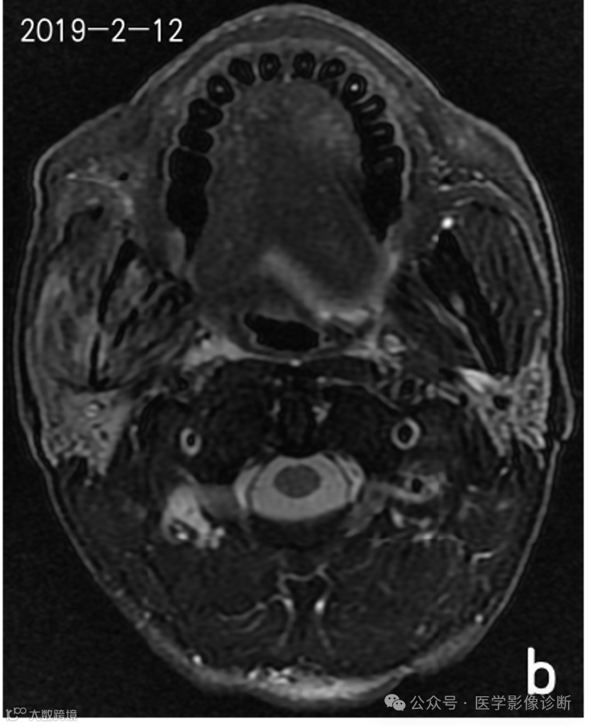
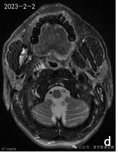
患者,男性,56岁,放疗后患有右口咽癌。
不同时期的四次核磁共振成像显示右下颌骨有异常信号。前两次报告(a、b)均未提及异常信号,说明存在感知错误(漏诊)。在第三次检查(c)中,放射科医生发现了异常信号,但误认为是骨转移,说明存在认知错误(误诊)。患者自2018年以来经常牙龈肿痛的临床查体和治疗情况被遗漏,经过抗炎治疗后,这种症状得到了很大改善。诊断应为右下颌骨骨坏死伴骨髓炎,但放射科医生因不熟悉放疗并发症而导致诊断偏差。
讨论
本期主要讨论了影像诊断中与临床信息提供/了解不足有关的漏诊问题。解决这一问题的办法包括临床医生详细书写申请单和检查目的,改进医院信息系统,确保临床和病理信息的实时更新和全面传递,尤其是对于术后患者的临床动态。其次,应加强放射科医生的专业培训,提高对术后并发症的敏感性和识别能力,减少因信息不足而导致的诊断偏差。
图文:李蒙 金岑
推荐文献:Diagnostic error and bias in the department of radiology: a pictorial essay. Insights Imaging. 2023 Oct 2;14(1):163.
·END·
精彩推荐:
力荐!医学影像专业必关注的8个公众号
全网最全的解剖图库,千万不要错过 300+神经、头颈系统超全影像文章汇总
全网最全头颅影像解剖学,不容错过(更新版) 全网最全大关节影像解剖,不容错过(更新版) 影像科急诊必备手册,必点收藏 脊柱、脊髓解剖及常见疾病汇总(41篇) 乳腺解剖及影像学检查详细汇总 心胸系统文章汇总(132篇) 全网最全全身X线高清图谱
![]()
更多精彩医学影像内容,尽在鼎湖影像 权威医学影像公众号,欢迎您的关注↓↓
↓↓ 欢迎进入鼎湖学堂






