血管也会“发烧”?
提到主动脉病变,我们脑海中首先浮现的往往是惊心动魄的主动脉夹层,或者是随时可能引爆的主动脉瘤。
但在影像科医生的“灰度世界”里,还有一种更为隐秘的杀手。它不撕裂血管,也不撑大管径,而是像藤蔓一样悄悄爬满血管壁,让原本光滑菲薄的血管壁变得厚重不堪。
这种病变会让患者感到莫名的胸闷、腹痛,常规检查往往一无所获。
63岁,男性。主诉:胸闷、心悸、腹痛 3 个月。
初诊线索:查体仅有上腹部压痛,但炎症指标高得吓人(ESR 104 mm/h, CRP 85 mg/L)。
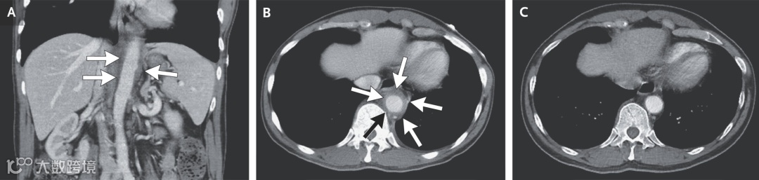
管壁改变:降胸主动脉和腹主动脉的管壁呈现出环形增厚,且明显强化。
周围环境:注意看血管周围,出现了脂肪条索影 (Fat Stranding),这是急性炎症波及周围组织的典型信号。这不是血管硬化,这是血管炎。
面对 CT 上显示的“主动脉壁环形增厚 + 强化 + 周围渗出”,结合患者的高炎症指标,我们需要迅速鉴别诊断。
正确答案:F
选项 A (感染性):最凶险。通常有细菌入血证据(如沙门氏菌),影像上管壁破坏严重,容易形成假瘤和破裂。
选项 B (壁内血肿):最易混淆。IMH 是血,不强化;血管炎是炎性肉芽肿,会强化。这是鉴别金标准。
选项 C (PAU):动脉硬化背景,钙化多,炎症反应轻。
选项 D (IgG4):“富贵病”,管壁增厚非常显著,像穿了厚棉袄,激素治疗极敏感。
选项 E (GCA):大血管炎的另一种形式,与多发性大动脉炎(Takayasu)相比,GCA 患者更老,且虽然可累及主动脉,但颞动脉受累是特征。本例排除了感染和自身免疫病,结合部位和影像,符合非特异性大血管炎表现。
确诊只是开始,治疗才是挑战。初始的传统方案(硫唑嘌呤+激素)在 6 周后宣告失败,炎症指标依然居高不下。、
医生果断调整方案,祭出了生物制剂——托珠单抗 (Tocilizumab),一种白介素-6 (IL-6) 受体拮抗剂。
影像见证奇迹(图C): 5 个月后复查 CT
那个曾经肿胀、增厚、周围模糊的主动脉壁,变得光滑、纤薄、界限清晰。
周围的脂肪条索影完全消失。如果不看之前的片子,你甚至不敢相信这段血管曾经经历过一场剧烈的“火灾”。
从激素无效到生物制剂逆转病情,影像学检查不仅抓住了“真凶”,更成为了监测治疗效果的“雷达”。对于不明原因的胸腹痛 + 高炎症指标,别忘了给主动脉做个增强 CT。
主动脉壁增厚不等于动脉硬化。当看到“管壁强化 + 脂肪浑浊”时,请一定要想到主动脉炎。这可能是挽救血管甚至生命的最后机会。
文章发表于2026.2.5日的新英格兰医学杂志。
这种血管炎病例,我们在临床上其实并不少见,为什么别人能发 NEJM?关键在于“Before & After”的完美对照以及“治疗决策”的转折点。
这篇文章如果不换药(用托珠单抗),可能就只是一篇普通的 Case Report。
今晚复盘:
我将拆解这篇 Image 的叙事结构——如何用两张图讲清楚一个“治疗失败再逆转”的精彩故事。
如果你手头也有类似的疑难病例,今晚 8:00 VIP 直播课会教你如何把它变成高质量的 Paper。
扫码上车,今晚见!
https://www.nejm.org/doi/full/10.1056/NEJMicm2513456?logout=true
·END·
精彩推荐:
力荐!医学影像专业必关注的8个公众号
全网最全的解剖图库,千万不要错过 300+神经、头颈系统超全影像文章汇总
全网最全头颅影像解剖学,不容错过(更新版) 全网最全大关节影像解剖,不容错过(更新版) 影像科急诊必备手册,必点收藏 脊柱、脊髓解剖及常见疾病汇总(41篇) 乳腺解剖及影像学检查详细汇总 心胸系统文章汇总(132篇) 全网最全全身X线高清图谱
![]()
更多精彩医学影像内容,尽在鼎湖影像 权威医学影像公众号,欢迎您的关注↓↓
↓↓ 欢迎进入鼎湖学堂




