在临床诊断中,CT 凭借操作便捷、扫描快速、成像质量高的优势,成为影像科不可或缺的核心设备。
但传统螺旋 CT 受限于机械旋转的工程瓶颈,旋转速度触顶、空间分辨率提升困难、设备损耗大等问题,始终制约着其临床应用的进一步突破。
近期,Nanovision Medical Technology 的研究团队在《Journal of Applied Clinical Medical Physics》发表重磅研究,研发出一款高性能医用静态 CT 系统,摒弃了传统 CT 的机械旋转设计,以创新的多源静态架构、专属重建算法实现了超高清成像,多项性能指标达到行业前沿,为临床精准诊断带来了全新解决方案。
第三代螺旋 CT 是目前临床应用最广泛的 CT 设备,但技术短板日益凸显:
滑环系统支撑的机架旋转已达性能上限,无法进一步提升转速,高速运动造成的运动模糊成为空间分辨率的天花板,高速离心运动还会加剧部件磨损,增加维护成本和设备振动风险。
X 射线管与高压发生器分离式设计,零部件多、连接复杂,制造成本高,安装和维护难度大,还需额外的高压安全防护机制。
在精细解剖结构(如听小骨、骨小梁)、微小病理特征(如肺结节空洞)的可视化上,分辨率不足的问题尤为突出,难以满足精准诊断需求。
为解决这些痛点,研究团队研发的静态 CT 系统,从结构设计、核心部件到算法体系进行了全方位创新。
这款静态 CT 系统以双环布局的多源多探测器架构为核心,彻底摆脱了传统 CT 的机械旋转依赖,同时搭配专属的阵列式集成 X 射线源、光子流探测器和创新算法,实现了性能的质的飞跃。
系统采用外、内双环设计:
外环均匀排布 24 个集成 X 射线源,内环分布 64 个光子流探测器,形成完整的环形配置。
通过各 X 射线源的顺序曝光策略,仅需机架小角度偏移即可获取完整的投影数据,无需高速机械旋转,从根源上解决了传统 CT 的旋转瓶颈,同时减少设备磨损,提升运行稳定性。
图 1 静态计算机断层扫描(CT)系统实物图及示意图
(a)静态 CT 系统实物图;(b)静态 CT 系统示意图
阵列式集成 X 射线源:
将高频逆变器、X 射线管、冷却单元集成于单一模块,取消了传统高压电缆和连接器,大幅提升设备稳定性。
可输出 120kV 稳定电压、250mA 电流,脉冲宽度可调至 1ms,升降时间低于 10 微秒,支持 70-140kVp 能谱范围,为多能谱成像预留了发展空间。
光子流探测器:
探测器像素间距仅 0.265mm,单模块分辨率 288×160 像素,64 个模块组成连续环形探测器环,高灵敏度和高转换效率可精准捕捉低强度光子信号。
24个光源构成笛卡尔坐标系的24个初始相位,与64个探测器模组形成空间相位差和微动相移,可以用较少的投影获得高分辨率重建。
专属算法,消除伪影 + 超高清重建:
针对静态 CT 双环结构的纵向偏移特性,传统锥束重建算法易产生伪影,研究团队做出了两大算法创新:
基于加权扩展 FDK 算法,开发出双侧扩展 FDK(bixFDK)算法,并进一步升级为压缩感知迭代重建算法 ——iVision 重建算法,适配静态 CT 的独特架构,可实现稀疏视角扫描下的高保真体积重建,适用于全身各解剖部位。
采用基于软件的散射校正算法(w-fASKS),结合边缘光栅遮挡策略的经验散射测量,有效抑制静态结构下的散射伪影,保障成像质量。
此外,系统配备中央模态控制系统(MCS),实现扫描床定位、图像采集、数据重建的全流程自动化协调,还内置故障监测机制,扫描过程中出现异常会立即停机,保障临床操作安全。
多项指标达行业前沿
临床成像更清晰
研究团队通过 20cm 水模体、Catphan500 模体对静态 CT 的成像质量进行全面验证,所有指标均满足 IEC 61223-3-5 行业标准,部分性能实现突破性提升:
图像噪声仅 0.30%(标准≤0.35%),均匀性 - 2Hu(标准≤±4Hu),水和空气的 CT 值精度分别为 - 2Hu、-1005Hu,均符合规范;
空间分辨率达 25LP/cm@MTF=10%,等效于光学分辨率的50circle/mm,远超传统 CT 的高分辨率标准(>14LP/cm),在空间分辨率指标上重新改写参数上限;
密度分辨率实现 0.3% 对比度下 3mm 微小结构的清晰识别,可精准区分细微密度差异。
图 2 直径 20 cm 水模体及 Catphan500 体模成像质量检测结果图
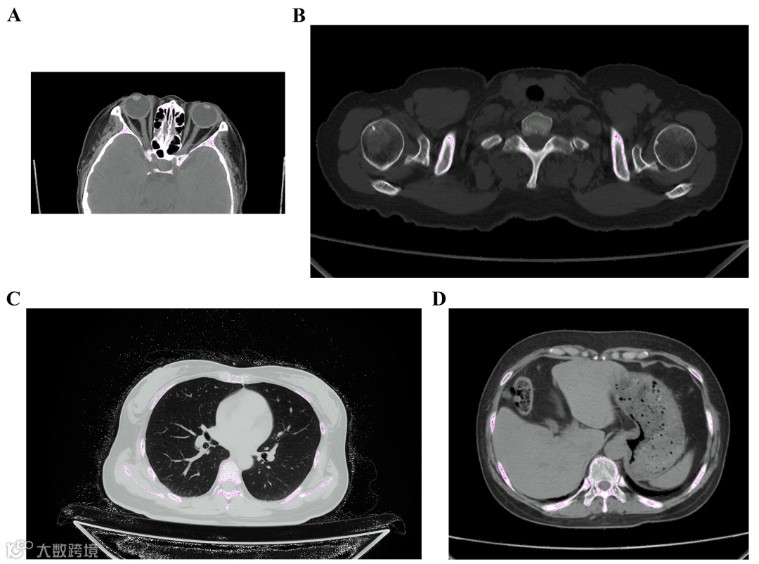
在志愿者临床扫描中,这款静态 CT 对眼部、骨关节、胸部、腹部等部位的成像表现惊艳,能清晰显示传统 CT 难以捕捉的精细结构:
眼部:清晰呈现眶环、晶状体、内外直肌及筛窦等细微结构,颞肌筋膜非常连续,与肌肉分层很好,皮肤,皮下组织,脂肪,肌肉分界清晰;
骨关节:完整显示肱骨骨皮质、骨小梁结构,无骨硬化伪影,还能清晰可视化镫骨、髂骨微结构、踝关节骨小梁;
胸部:精准显示肺叶间裂、肺纹理、胸膜下及胸膜外特征,可捕捉 5mm 以下肺结节的空洞征象;
腹部:肝、脾、胃等脏器边界清晰,周围脂肪结构辨识度高。
图 3 临床扫描成像图
静态 CT 的超高清成像能力,在多个临床学科展现出重要的应用价值,填补了传统 CT 在精细诊断中的空白:
镫骨作为中耳微小听小骨,传统 CT 常因分辨率不足难以清晰显示,需借助多平面重建(MPR),而静态 CT 可直接实现镫骨的高清可视化,无需二次扫描,为中耳疾病诊断提供更直接的影像依据。
肺结节的空洞征象是恶性诊断的重要指标,尤其是 5mm 以下的微小空洞,静态 CT 能精准捕捉这一特征,助力早期肺癌的筛查和诊断,提升肺结节良恶性鉴别效率。
人口老龄化背景下,髋部骨折的精准诊断需求激增,静态 CT 可清晰显示骨折分型和骨小梁结构,为术前规划提供详细依据。
同时支持骨小梁的三维重建和定量分析,为骨质疏松、骨肿瘤等疾病的病理机制研究和临床诊断提供新手段。
图 6 精细解剖结构临床成像图
此外,静态 CT 的集成化设计大幅简化了设备结构,降低了制造成本和设备占地面积,安装更灵活,适配不同规模的医疗机构;无高速旋转部件也减少了维护频率和成本,提升了设备的临床实用性。
总结与展望
这款多源静态 CT 系统通过结构创新和算法升级,突破了传统螺旋 CT 的工程和成像瓶颈,以 25LP/cm 的超高清空间分辨率、稳定的成像性能和丰富的临床适配性,实现了诊断级成像的高质量输出,在精细解剖结构可视化和微小病理特征检测上展现出显著优势。
当然,研究仍存在一定局限性,如未开展静态 CT 与传统 CT 的同体对比研究(受辐射伦理限制)、仅采用轴位图像进行评估等。
未来,研究团队将通过专用模体、更大样本的临床试验,结合多平面重建技术,进一步验证静态 CT 的临床价值。
作为下一代 CT 技术的重要探索,静态 CT 不仅重塑了 CT 的成像原理和设备架构,更为临床多学科的精准诊断提供了全新工具,相信随着技术的进一步优化和临床应用的拓展,将为医学影像诊断带来更多突破。
·END·
精彩推荐:
力荐!医学影像专业必关注的8个公众号
全网最全的解剖图库,千万不要错过 300+神经、头颈系统超全影像文章汇总
全网最全头颅影像解剖学,不容错过(更新版) 全网最全大关节影像解剖,不容错过(更新版) 影像科急诊必备手册,必点收藏 脊柱、脊髓解剖及常见疾病汇总(41篇) 乳腺解剖及影像学检查详细汇总 心胸系统文章汇总(132篇) 全网最全全身X线高清图谱
![]()
更多精彩医学影像内容,尽在鼎湖影像 权威医学影像公众号,欢迎您的关注↓↓
↓↓ 欢迎进入鼎湖学堂




