马蹄哒哒辞旧岁,影像循循探真知。值此新春佳节,鼎湖影像谨以专业为伴,与您共探医学奥秘。
愿新岁的每一帧影像都清晰精准,每一次诊断都笃定无误。
祝各位同道与读者马年龙马精神,策马扬鞭,在健康守护的道路上步履铿锵,意气风发,万事胜意!
马蹄肾是一种肾脏最常见的先天性融合畸形,两肾的下极(少数为上极)在脊柱前方融合,形成类似马蹄铁的形状,因此得名。马蹄肾较正常解剖结构肾脏更容易受到创伤,并且是肾结石和肾盂尿路上皮癌发生的独立危险因素。
马蹄肾解剖示意图
马蹄铁
在成年人中,马蹄肾的发病率约有1/400-500 ,男性患者多于女性(男:女 2:1)。绝大多数病例为散发性,部分病例与遗传相关。
马蹄肾本身通常无症状,因此往往是偶然发现的。然而,由于引流不畅,马蹄肾容易出现多种并发症,并可能导致临床症状。这些并发症包括:
肾积水,继发于肾盂输尿管连接处梗阻
肾结石:高达60%的患者
对创伤的易感性增加
感染和囊性肾盂输尿管炎
恶性肿瘤发病率增加
Wilms瘤
肾盂尿路上皮癌(UC)
肾类癌
肾血管性高血压
马蹄肾是由两个独立的、功能正常的肾脏沿中线融合而成,这两个肾脏分别位于中线两侧。它们之间由肾实质或纤维组织构成的峡部连接。绝大多数情况下,融合发生在肾脏的下极之间(90%)。其余情况下,融合发生在肾脏的上极,或上下极均融合。
正常情况下,肾脏会沿着腹腔上升,最终位于肾上腺下方。然而,对于马蹄肾患者来说,由于肠系膜下动脉(IMA)绕过肾峡部,限制了肾脏上升至腹腔的路径。因此,马蹄肾的位置较低。
由于这种融合,每个肾脏的下极都指向内侧,这与正常的肾轴方向相反。输尿管离开肾脏,走行于肾峡部前方,肾峡部通常位于肠系膜下动脉起始处正下方。
常伴有血管畸形;
肾动脉起源变异,可起源于腹主动脉、髂总动脉或肠系膜下动脉,并有多条肾动脉共用;
下腔静脉(IVC)变异,包括双下腔静脉和左侧下腔静脉。
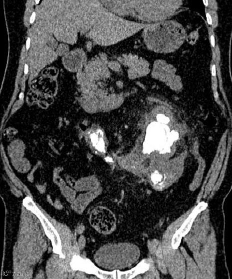
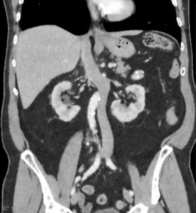
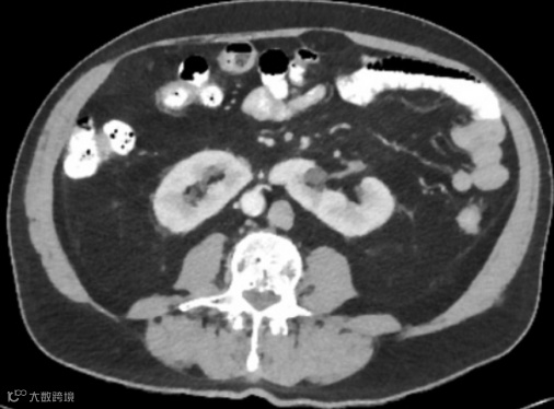
马蹄肾合并左侧下腔静脉。双肾下极融合,双侧肾盂旁多发囊肿,下腔静脉(IVC)在肠系膜上动脉(SMA)起始部走形于主动脉左侧。
位置过低:双侧肾脏位置较正常低,肾门通常位于L3-L4水平(正常约为L1-L2)。
轴向旋转不良:由于融合峡部的牵拉,双肾下极向内、靠拢,而上极向外、分开。肾盂和肾门朝向前方或前内侧(正常肾门朝向内侧稍前方),导致肾盂和输尿管从肾的前方走出。
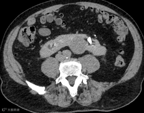
连接双肾下极的肾实质或纤维组织峡部,跨过腹主动脉和下腔静脉前方,位于肠系膜下动脉起始水平的下方(这是马蹄肾位置低且无法上升到正常位置的关键原因,因为肠系膜下动脉像“钩子”一样挡住了它的上升通路)
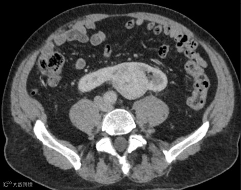
马蹄肾,双肾下极融合,峡部位于肠系膜下动脉(箭头)起始水平的下方。
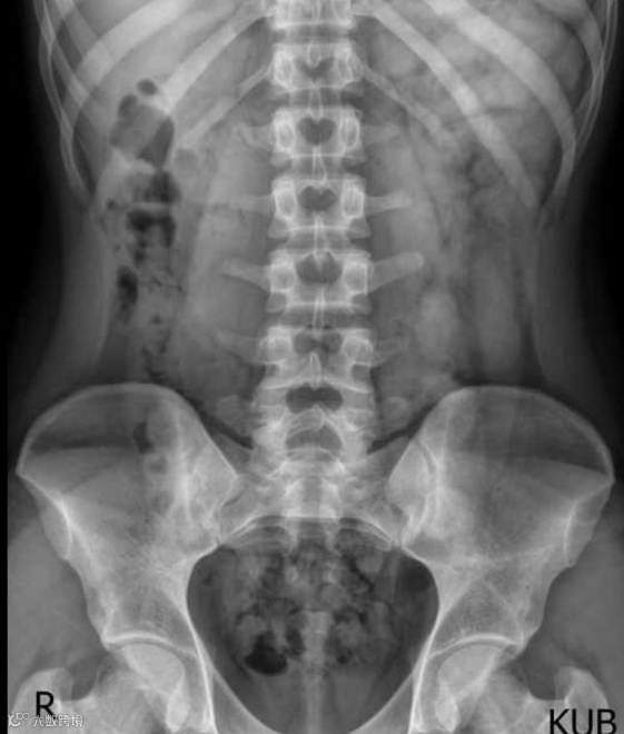
腹部平片可显示双侧肾影位置较低,且下极轮廓模糊不清,靠近脊柱。
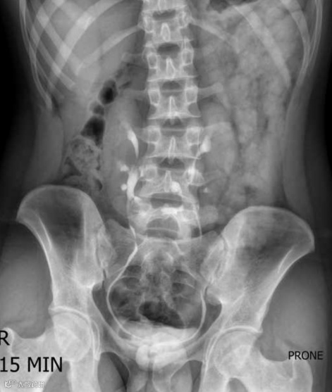
IVP/静脉尿路造影是经典的诊断方法,可清晰显示:
肾盂肾盏方向改变:肾盂向前方旋转,肾盏指向内侧或后方(正常指外侧)。下极肾盏常位于输尿管内侧,此为特征性表现。
输尿管走行异常:输尿管从肾盂前方走出,向下走行时,因需绕过向前突起的融合峡部,形成典型的“花瓶样”或“芭蕾舞演员姿势”改变。
肾脏整体轴线:呈倒置的“八”字形,两肾纵轴与脊柱所成之角度(肾脊角)向下方,而非正常向上的角度。


男,20岁,马蹄肾。KUB显示中线两侧各有一软组织肿块,中央可见峡部。注射造影剂后,肾盂肾盏系统的走向清晰可见。双肾下极最靠近中线,这与正常情况相反。双肾均呈旋转状,下极融合,在L3-L4水平形成峡部。
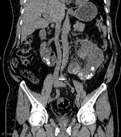
可直接、三维地清晰显示双肾下极在中线处的实质融合。
位置与融合:两肾下极(90%)或上极(10%)在中线处融合,形成峡部,峡部多位于腹主动脉前方。
旋转异常:肾门朝向前方或外侧,肾盂朝向前内侧,肾盏位于肾前方。
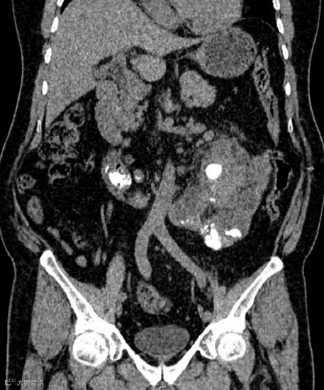
增强扫描:可清晰显示峡部血供来源,可能来自肾动脉、髂总动脉或肠系膜下动脉。
CTU能更清晰地显示旋转异常的肾盂肾盏和输尿管起始部。
MRU(磁共振尿路成像):能立体、无创地展示整个尿路系统的形态,尤其适用于IVP显影不良或肾功能不全的患者,能清晰显示肾盂输尿管的异常走行和梗阻情况。

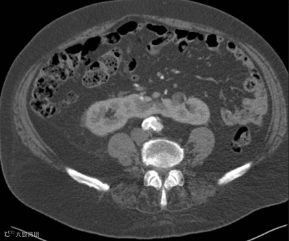
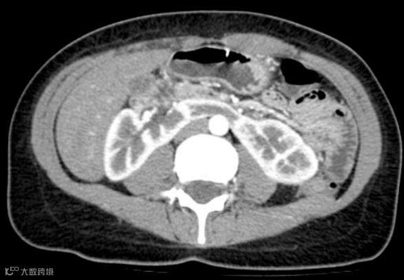
女,25岁,马蹄肾。肾脏下极相连,呈马蹄形,肾皮质厚度正常,泌尿系统未见梗阻扩张。
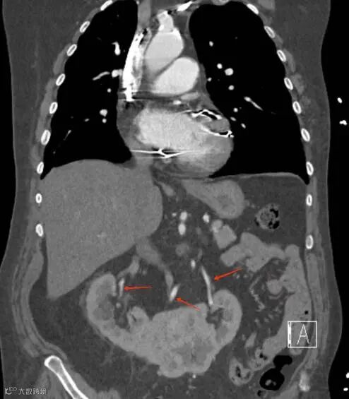
患者,男,60岁,因怀疑主动脉夹层而进行CTA检查,发现马蹄肾,肾峡部可见功能性肾实质,由三条肾动脉供血(箭头)。
CT是发现马蹄肾并发症的最佳工具:
肾积水:由于输尿管在肾盂高位出口或受异常血管压迫所致。
结石形成:尿液引流不畅易并发结石。
肿瘤:马蹄肾患者肾细胞癌和肾盂癌的发病率略高于正常人群。




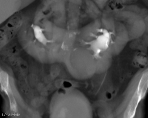
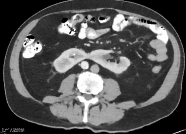
男,55岁,马蹄肾合并双肾多发结石,右肾积水(泌尿系气泡为导尿术后改变)。






男,75岁,无痛性血尿。CT增强扫描提示马蹄肾合并肾峡部后下缘、中线左侧肿块,肿块切除后组织病理学检查显示为嗜酸细胞瘤。
可用于评估分肾功能和尿路引流情况。
图像上可见双肾下极在中线区域相连,功能曲线可能提示引流延迟。
双肾均表现出良好的放射性示踪剂吸收,其下极沿中线相连,符合马蹄肾的特征。
马蹄虽奇,生命无恙。 愿你眼中有“影”,心中有“数”,守护身体的每一处“特别”。鼎湖影像将一如既往,伴您策马扬鞭,奔赴每一个春暖花开的日子!
https://radiopaedia.org/articles/horseshoe-kidney?lang=us
·END·
精彩推荐:
力荐!医学影像专业必关注的8个公众号
全网最全的解剖图库,千万不要错过 300+神经、头颈系统超全影像文章汇总
全网最全头颅影像解剖学,不容错过(更新版) 全网最全大关节影像解剖,不容错过(更新版) 影像科急诊必备手册,必点收藏 脊柱、脊髓解剖及常见疾病汇总(41篇) 乳腺解剖及影像学检查详细汇总 心胸系统文章汇总(132篇) 全网最全全身X线高清图谱
![]()
更多精彩医学影像内容,尽在鼎湖影像 权威医学影像公众号,欢迎您的关注↓↓

↓↓ 欢迎进入鼎湖学堂




