乳牙
人萌生的第一副牙,是儿童咀嚼器官的重要组成部分,从出生6个月左右开始萌出第一颗乳牙,到2岁半左右20颗乳牙萌出完毕。自6-7岁至12-13岁,乳牙逐渐脱落而被恒牙所替代。
恒牙
继乳牙脱落后的第二副牙列。人类六岁左右乳牙开始逐渐脱落,大部分恒牙在14岁左右出齐。
从宝宝6-7个月开始长出第一颗乳牙,到7岁左右逐渐被恒牙替换,直至12-13岁替换完毕,乳牙在宝宝的嘴里需要服务5-10年,在这段时间内,乳牙又经历了怎样的生活呢?
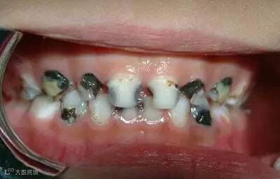
事实上,因为乳牙的形态及宝宝们的不好的刷牙习惯,乳牙比恒牙更容易发生龋,而且往往严重程度更大,但是很多大人认为乳牙早晚要替换,所以都不太重视乳牙的保护。乳牙的一生虽然很短暂,但是它却经历了很多考验,也为宝宝的成长做了很多贡献。
影响恒牙的生长发育
我们都知道,乳牙将来都会由恒牙齿替换,但是我们不知道,乳牙的健康与否直接影响了恒牙的生长。如果乳牙由于龋坏严重而不得不拔除的话,就可能使得以后恒牙萌不出来,而需要将牙龈切开才能长出来;如果乳牙龋坏严重,引起了根尖周炎,就有可能使恒牙的矿化不全,长出来的恒牙颜色和形态就是不正常的。
影响孩子的食物消化
乳牙很重要的作用就是帮助孩子进食,咀嚼食物,研磨食物,使食物充分粉碎后更容易消化和吸收,没有了牙齿,势必会影响孩子的咀嚼效能,使孩子不喜欢咀嚼东西而是狼吞虎咽,影响了消化。
影响孩子的身心发育
牙齿的咀嚼可以促进颌骨的生长,没有牙齿的刺激,骨骼发育的也会落后或者形成不良的形态。没有漂亮的牙齿,还会影响孩子与小伙伴之间的交往,有些孩子会因为这个受到嘲笑而没有朋友。
从出生开始,预防蛀牙
恒牙是在乳牙的下面发育萌出的,如果乳牙的龋齿特别严重,影响到乳牙牙根根尖部位就很有可能影响到之后恒牙的发育,导致牙齿畸形。或因为几个乳牙龋坏,使乳牙宽度减小,或者乳牙严重龋坏过早脱落,后面的牙齿前移,都会导致以后恒牙萌出的空间不足牙齿排位不齐,严重时会影响脸型美观和发音。宝宝的口腔清洁要从出生开始。没有出牙前也要每日清洁宝宝的口腔,在宝宝喝完奶之后,喂宝宝喝一点温开水,目的是起到漱口的作用。或者用质地绵软的湿纱布,轻轻擦拭宝宝的牙床。这样做既可以去除残留奶液,减少口腔的细菌,又能帮助宝宝提前适应口腔清洁这项日常工作,为将来刷牙进行铺垫。
6个月以上,就可以开始用牙膏刷牙了
在宝宝6个月之前,一般只用温开水或淡盐水帮助宝宝清洁即可,6个月到3岁之间可以使用不含氟可吞咽的牙膏,因为这个年龄段的宝宝还不具备很好的漱口能力,容易吞服牙膏,给宝宝挤牙膏时要尽量少,在宝宝刷牙之后用湿纱布将牙齿上残留的牙膏擦拭掉。满3岁以上才可以给他使用含氟的牙膏。
定期去看牙医,是“防患于未然”的重要手段
妈妈普遍都有一个错误的概念,认为牙齿长齐了才可能有蛀牙。但实际上乳牙刚长出来就面临着被侵蚀和毁掉的危险。特别是宝宝进入辅食阶段,所吃的食物品类繁多,一旦牙齿上有食物残留,这些食物残渣和细菌混合在一起就会产生一种酸,从而侵蚀牙齿,导致龋齿。应该尽早带宝宝去做牙齿检查,1岁的时候就可以开始了,并且养成定期检查牙齿的习惯,至少半年一次,检查时应选择正规医院的口腔科。
长按二维码关注我们
转发此文章分享给您的亲友

