“李阿姨,上下楼梯腿又疼了?”
“张叔叔,腿又打软了?”
“王奶奶,走路又出现腿咯噔响了?”
这些都是发生在我们身边的,疼痛、肿胀、绞锁及关节功能障碍等骨性关节炎的表现。
骨性关节炎主要是因为关节老化退变所致,严重影响患者的生活质量,而且越来越多的人深受膝关节其害。
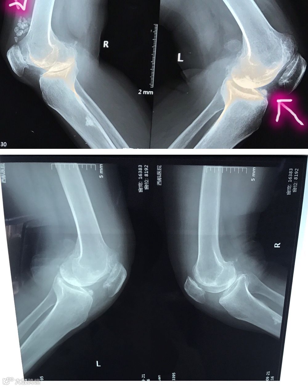
近日我院收住一名双膝骨性关节炎患者,3年前患者出现双膝关节疼痛,一直保守治疗效果不佳,影响日常生活。外二科主任倪黎明综合判定后认为患者有手术指征,在患者明确不接受关节置换情况下,向患者及家属告知可行关节镜手术治疗,此手术恢复快,创伤小,能解决患者之痛苦及顾虑。经过积极准备,在各功能科室及手麻科的紧密配合下顺利完成了这例双膝关节镜探查、清理及半月板成形术。
术前术后对比
术中紧密配合、仔细操作
哪些情况我们可以选择关节镜手术呢?
1)机械性膝关节内扰乱,包括半月板切除及修补、关节内游离体摘除、关节内异物取出、关节软骨损伤磨削术等;
2)膝关节前方疼痛,包括滑膜皱襞切开术、髌骨软化切削术、脂肪垫肥厚切除等;
3)滑膜病变,包括滑膜活检、滑膜切除、膝关节内粘连分离;
4)韧带损伤前、后交叉韧带及侧副韧带重建;
5)退行性关节炎,骨性关节炎,包括关节清理。
膝关节镜手术的优点:
1)切口小,不感染,皮肤瘢痕极小,可避免晚期因关节表面和运动部位的瘢痕而引起的刺激症状;
2)属于微创手术,痛苦小,可重复手术,不影响关节以后做其它手术;
3)术后反应较小,术后早期即可活动和使用肢体,避免长期卧床并发症;
4)一次关节镜术可同时治疗多种疾病,如膝关节手术可同时进行关节清理术、滑膜切除术等;
5)并发症相对较少;
6)基本不影响关节周围肌肉结构,术后可早期进行功能锻炼,防止关节长期固定引起的费用和并发症;
7)关节镜可施行以往开放性手术难以完成的手术,如成形术等。
爱护自己,从保护膝盖做起。关节镜手术的开展为广大患者带来了福音,微创理念的应用,会更好的服务于我们的患者。



