作为一名影像科医师,经常会有患者或者朋友过来问,“我体检发现肺上有个小结节怎么办?我会不会得肺癌了?”那么首先让我们了解一下肺结节。
肺结节(pulmonary nodule)是指肺内直径小于或等于3cm的类圆形或不规则形病灶,影像学表现为密度增高的阴影,可单发或多发,边界清晰或不清晰的病灶;小于1cm的被称为肺小结节,而小于5mm的结节称为肺微小结节。
据统计,肺内小结节病变在传统胸部X线中发现率仅为0.2%,而在高分辨力CT中发现率达到40%-60%,文献统计,中国成年人群中肺小结节患有率至少51%,但其中只有约2%-3.6%是恶性病变,大多数为良性病变;但是不论肺小结节的患有率是多少,一个不争的事实是,肺癌是我国发病率第一、死亡率第一的恶性肿瘤,而肺癌的前期大都源自肺小结节。
根据肺内小结节的密度可以分三类:
①实性结节
②部分实性结节
③磨玻璃结节
不同密度的肺结节,其恶性率也不同,其中部分实性结节的恶性率最高,其次为磨玻璃结节和实性结节。
磨玻璃结节
实性结节
部分实性结节
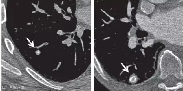
上图所示为边缘光滑、内含脂肪和钙化的实行结节,考虑错构瘤,不建议CT随访。
上图为中心钙化的实行结节,不建议CT随访。
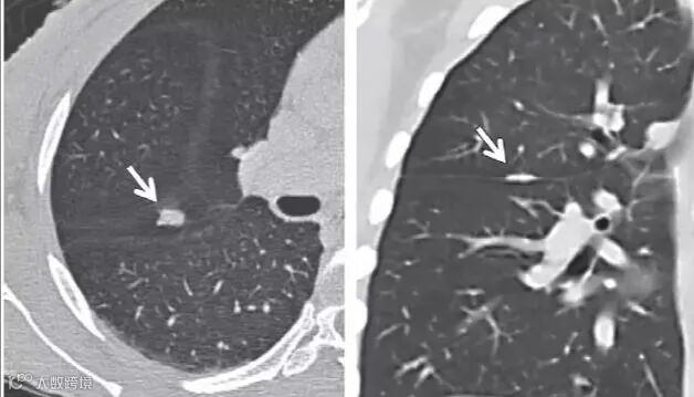
上图左为斑片状结节影,右为重建后线样瘢痕或淋巴组织,不建议CT随访。
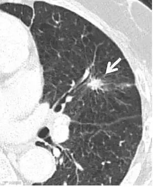
上图为可疑的实性毛刺结节,建议密切随访。
所以,当我们体检发现结节时要怎么做?
据2019版世界卫生组织肺结节专家共识:
LDCT(高分辨力CT)初筛发现实性结节≦5mm,每年复查LDCT,直至患者不再是肺癌潜在治疗对象;
6-7mm,6个月后复查;
8-14mm,3个月复查LDCT或考虑PET/CT;
≧15mm,胸部增强CT和或考虑PET/CT;低度可疑肺癌,3个月复查LDCT;高度可疑肺癌,活检或外科切除;
实性的气管内结节,一个月复查LDCT(出现剧烈咳嗽后需立即复查)。
值得注意的是,对于“肺癌高危人群”,需要每年做低剂量螺旋CT检查,肺癌高危人群即45岁以上、有肺癌家族史、吸烟≥20包/年,其中也包括曾经吸烟,但戒烟时间不足15年以及反复咳嗽3个月以上,无肺炎、慢阻肺、慢性咽炎、慢性鼻窦炎或消化道相关疾病的慢性咳嗽人群。
接下来让我们来看一下如何通过影像学特点来鉴别肺内小结节的良恶性吧。
供稿:影像科 张红强
编辑:赵宣琳
审阅:王萍
监制:刘贵
长按识别二维码关注我们吧
通用环球西安西航医院

