随着社会进步和人们健康观念的提升,越来越多的人已经开始进行定期体检了,并且越来越多的人也更加重视体检了。医院和查体中心也与时俱进,制定了不同级别、不同侧重点的查体套餐。但是无论何种套餐设计,肺部的体检都是重中之重。
肺癌是全球癌症死亡的首位原因。由于人口老龄化和空气污染呈不断加重趋势,且吸烟率居高不下,自21世纪初期,肺癌已成为我国死亡率最高的恶性肿瘤。2015年,我国肺癌的发病和死亡例数分别达733,300人和610,200人,发病率和死亡率非常接近,其原因主要是由于临床诊断病例多已为晚期,失去了手术机会。肺癌预后极差,我国肺癌的5年生存率仅为16.1%。因此,肺癌的早期诊断和早期治疗就特别重要!
那么怎么样才能早期发现肺癌呢?我们先来看一个例子。
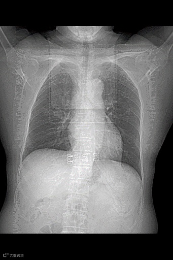
这是一位63岁女性的胸片,初诊时双肺没有发现大的病灶,表现基本正常。
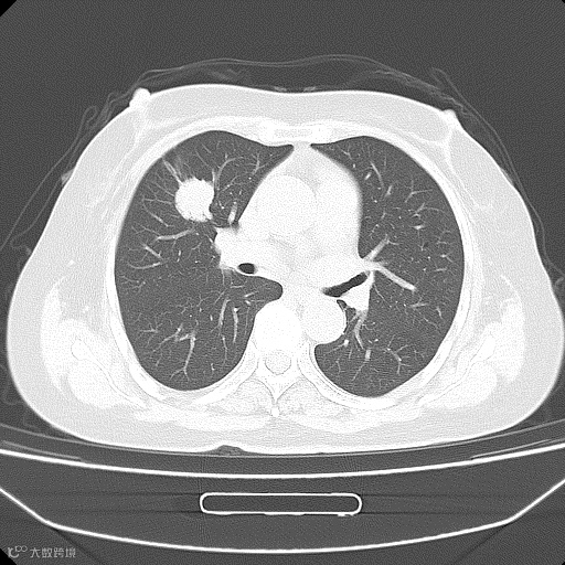
这是她的胸部CT,很明显,右肺上叶有一个结节!而这个病灶,在胸片上竟然完全看不到。后来这个病人做了CT引导下的穿刺活检,病理诊断为中分化腺癌。
这么说来,那我们是体检都要选择胸部CT吗?并不是这样的。毕竟CT检查无论是从花费,还是辐射计量来看,都是要高于胸片的,所以并不是所有人都适合胸部CT检查。胸部CT检查主要适用于高危人群。
哪些人属于高危人群呢?
1.年龄50-75岁;
2.至少合并以下一项危险因素:(1)吸烟>20包/年,其中也包括曾经吸烟,但戒烟时间不足15年者;(2)被动吸烟者;(3)有职业暴露史(石棉、铍、铀、氨等接触者);(4)有恶性肿瘤病史或肺癌家族史;(5)有COPD或弥漫性肺纤维化病史。
如果您符合高危人群的定义,那么建议您在体检时优先选择胸部CT检查。
供稿:影像科 李春辉
编辑:赵宣琳
审阅:王萍
监制:刘贵
通用环球西安西航医院
微信公众号
通用环球西安西航医院
健康平台
▇长按识别二维码关注我们吧~

