世界肾脏日
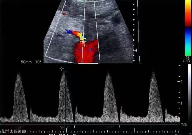
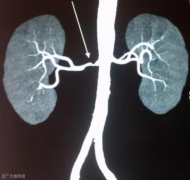
2023年3月14日,是第19个世界肾脏日,主题为“人人享有肾脏健康——促进医疗平等,优化用药实践”为主题”。肾脏在人体中的重要性不言而喻,被称为"第二心脏",具有调节血压、维持电解质和代谢等功能。人体为肾脏输血的血管被称为肾动脉,其通畅程度直接影响肾脏健康,不容忽视。一些发生在中青年人群中不明原因的高血压,往往是肾动脉狭窄所致。
很多患者在检查中会发出“我就是血压高,为啥医生还要我查肾动脉彩超呢?”的问题。那么,今天我们就聊一聊关于肾动脉的那些事。
高血压分为原发性高血压和继发性高血压,而肾血管性高血压属于继发性高血压的一种,是由于肾动脉狭窄导致的,肾动脉狭窄造成肾脏缺血,肾脏分泌一种叫“肾素”的物质,“肾素”会引起血管使劲收缩,从而导致血压升高。
其实肾动脉狭窄是一种可治愈的疾病,手术缓解了狭窄后,肾脏血流动力学改善,不仅能纠正高血压,而且能保护受损的肾功能。因此,早期诊断与治疗就显得尤为重要。
综上,高血压患者检查肾动脉是十分必要的,超声作为首选筛查的检查方法具有明显的优势。
那么,哪些高血压患者需要做肾动脉检查呢?
一、严重高血压的年轻患者;
二、在恰当的治疗方案下,高血压仍难以控制的患者;
三、高血压伴有进行性肾功能不全的患者;
四、临床怀疑由于肾动脉狭窄导致肾功能不全及双肾大小差异的患者;
五、颈动脉及下肢动脉存在严重狭窄者。
西航医院超声科
西航医院超声科专业技术扎实,是一支朝气蓬勃的团队,如果您有超声方面的疑惑,欢迎来电咨询,我们将热情为您解答。
咨询电话:(029)86152743
供稿:超声科 张蕊花
编辑:徐瑾晖
审阅:王萍
监制:刘贵

通用环球西安西航医院
微信公众号
通用环球西安西航医院
健康平台
▇长按识别二维码关注我们吧~

