新设备来啦!
本期小航探秘特别邀请了
影像科的小航推介官
来给大家伙介绍介绍
我院新引进的“大家伙”!

为更好满足患者的就医需求,不断提高医疗技术水平,近期我院引进了1.5T磁共振设备,经过近几个月的系统安装、调试,现正式投入使用。
新核磁具有更优质的图像质量及更快的扫描速度,是一种多方位、多参数、大视野、无辐射的检查技术,能为疾病的诊断提供良好的形态和丰富的功能信息。更好地为百姓提供医疗服务健康,助力我院医疗诊断高质量发展。
1
核磁共振的优势
1. 安全性较高:没有辐射,儿童、老人及孕妇均可进行核磁共振检查(存在个体差异性,需由专业医生判断是否可以进行检查);
2. 信息丰富:通过多序列、多方位、多参数的检查方法掌握更多信息,对中枢神经系统疾病,脑干、脊髓等病变的定性研究等更有优势;
多个序列扫描,更及时、准确发现病变
3. 图像清晰:多方位大视野成像,更加清晰地观察解剖结构及病灶的细微特点。
(左图为腰椎侧位DR图像,右图为腰椎侧位MRI图像)
怎么样
这个“大家伙
是不是有点厉害?
那么
它都能做些什么呢?
2
开展项目
1.全身各部位的常规平扫检查:多方位、多参数成像,尤其对神经系统、盆腔病变及肌腱损伤等诊断具有优势。
2.磁共振特殊功能成像
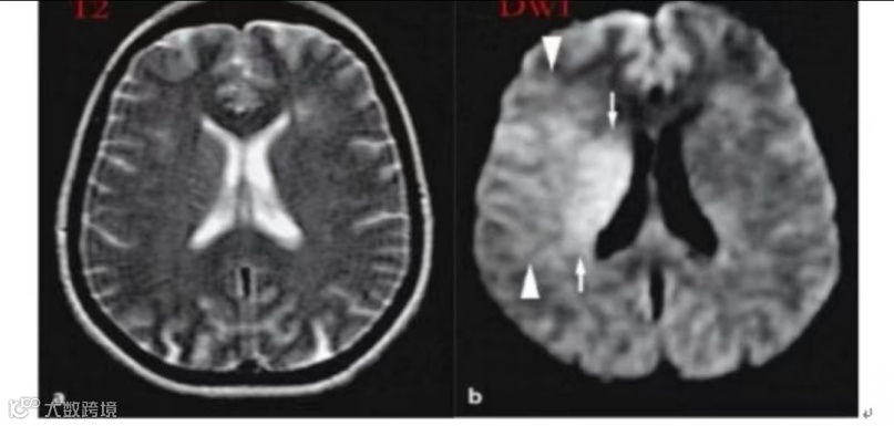
弥散加权成像DWI:可发现2小时之内的超急性脑梗死,使患者能够早发现早治疗,缩短诊断时间,为医生提供明确诊断;
磁敏感成像SWI:可发现CT不能发现的微出血灶;
Flair成像:也称为压水像,可将水分信号压低,这样在低信号黑色背景下很容易看到其它高信号的病变;
脂肪抑制:指通过应用特殊技术,使MR图像中的脂肪组织表现为低信号,如病变组织含水较多,高信号将更明显,易于识别。
3.水成像技术
头颅动脉血管成像(MRA):利用自身血液信号特征,不使用造影剂就能观察颅内动脉血管情况。
胆管水成像(MRCP):利用胆汁信号特征,不用介入手术,就能观察胆管系统情况。
尿路水成像(MRU):不注射造影剂,利用尿液信号特征就能观察尿路情况。
由此可以看出,MRI图像能更清楚的显示病变,有利于疾病的诊断,为进一步治疗提供了更准确、有效的帮助。
3
检查注意事项
1.患者体内有金属类(如装有心脏起搏器、动脉瘤夹、人工心脏瓣膜、人工关节、电子耳蜗、假牙等)、重要器脏旁有金属异物残留、怀孕三个月内的孕妇,应事先告知检查医生。
2. 检查前要向医生提供完整病史、检查资料以及既往的X线、CT和MRI等影像学资料。
3. 进入扫描室前将随身携带的金属物品如:手机、手表、发卡、小刀、磁卡、金属饰品、腰带、活动假牙、假肢、金属纽扣、助听器、珠宝、打火机、硬币、钥匙等留在候诊室。
4. 做腹部(肝、脾、肾、胰腺、胆道、输尿管等)检查时,请于检查前5小时禁食。
5. 盆腔及泌尿系统的扫描,请于检查前喝水200ml,保持膀胱中度充盈状态。
6. 幽闭恐惧症患者、急诊及危重症患者如非必要请选择合适的其他检查,以避免因核磁检查时间过长而导致的不适及危险。
影像科预约咨询电话:86152794
近期,医院新住院综合楼中的各个病区将陆续投入使用。更多的新设备、新仪器也陆续将和大家见面。设备、仪器的升级,旨在为辖区群众提供更优质的医疗服务,以品质医疗守护生命健康。
小航探秘栏目将第一时间为大家揭开这些“大家伙”、“新家伙”的神秘面纱,敬请关注哟~
供稿:影像科 李春辉
编辑:徐瑾晖
审阅:王萍
监制:刘贵
通用环球西安西航医院
微信公众号
通用环球西安西航医院
健康平台
▇长按识别二维码关注我们吧~

