“什么?5个月的宝宝有了胆囊结石?”
“什么?我去年检查出来的胆囊结石,这次竟然没了?”
“医生你给仔细看看!”
... ...
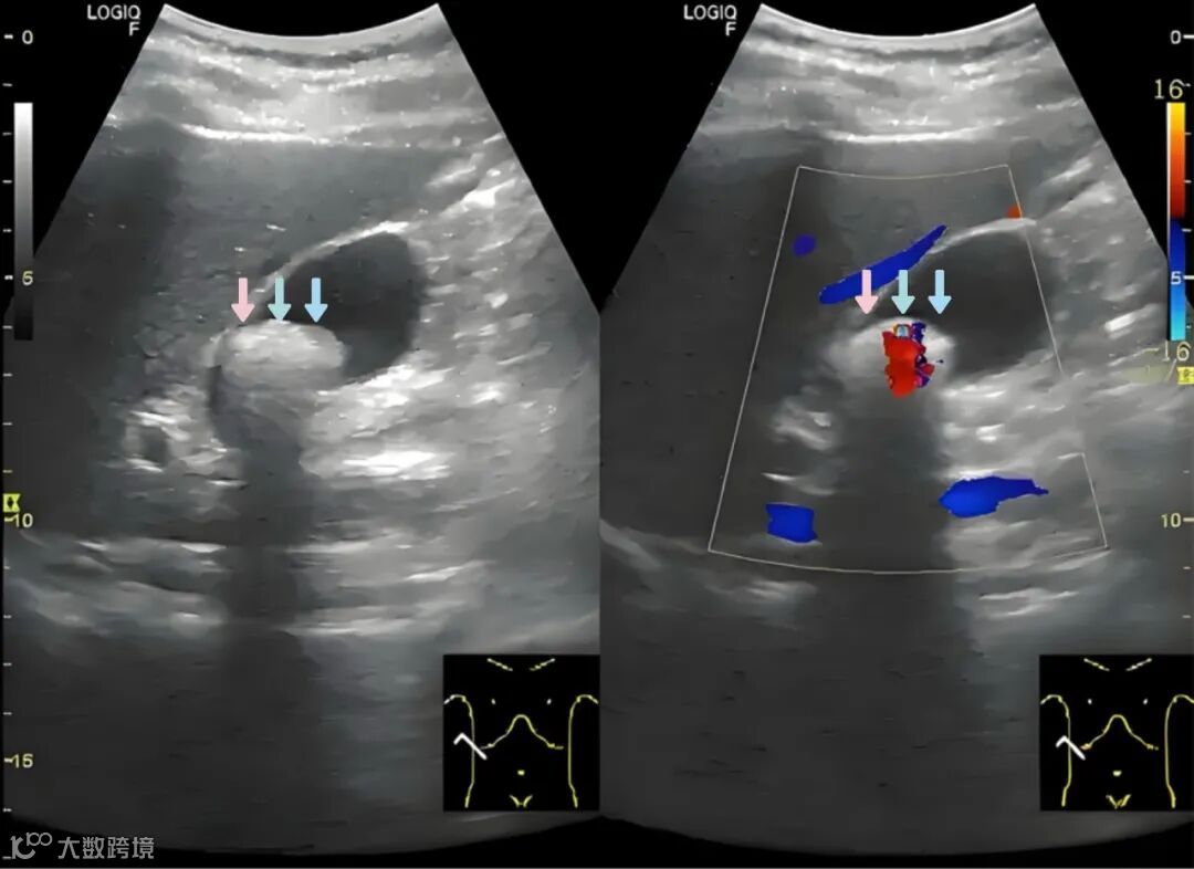
这时超声医生一定会反复再检查几遍,可是它就是结石呀,可是结石就是不见了呀!引起这些疑问和质疑的“罪魁祸手”就是药物性胆囊结石。
该药物主要是指头孢曲松钠,在体内不能被分解代谢,一部分经肾脏排出,剩下的以原型沉积于胆汁内,随胆汁一起排出。正常情况下,在饮食前,胆汁大部分储存于胆囊内,进食后随着胆囊收缩胆汁逐渐排出,但由于患者在治疗期间,饮食量减少且以清淡为主,胆汁排出减少,导致胆囊内胆汁淤积,头孢曲松钠在胆汁中的浓度逐渐增高,超过饱和度后,头孢曲松钠与胆汁中的钙盐成分结合,从而形成短暂性的胆囊结石,此时超声检查的话,即可探及胆囊腔内的强回声团。随着药物的停用,胆汁内头孢曲松钠浓度的减低,与钙盐结合的头孢曲松钠又重新溶解于胆汁内并随胆汁排出,此时胆囊腔内的强回声团也随之消失。
药物性胆囊结石有什么特点呢?
患者有头孢类等药物应用史,近期突发不伴有胆囊炎的胆结石;
声像图显示的结石状态、大小及数量变化较大,出现“三快”征象,即结石形成快、碎解快、消失快;
药物性胆囊结石出现时间:最快在用药后20小时出现;
药物性胆囊结石消失时间:最早在停药后几天,最迟在停药半年后,大部分在停药后2周内消失。
除头孢曲松外,还有非甾体类抗炎药、潘生丁(双嘧达莫)、全胃肠外营养药(TPN)都有可能引起药物性胆囊结石,所以在出现可能为药物性胆囊结石时,不用太过担心。医生会结合用药史、结石特点判断,待停用相关药物后复查一下就好了。
供稿:超声科
编辑/审阅:党群办
通用环球西安西航医院
微信公众号
通用环球西安西航医院
健康平台
▇长按识别二维码关注我们吧~

